El dolor de rodilla es una afección común que afecta a personas de todas las edades y puede ser causada por una lesión como la rotura de un ligamento o un desgarro de cartílago. El dolor en la rodilla también puede ser causado por condiciones médicas como artritis, gota e infecciones.
La paciente es una mujer de 43 años que presenta quejas de dolor en la rodilla derecha durante más de un mes. El paciente recuerda la lesión en ambas rodillas en un accidente de coche hace 3 años. El dolor es de intensidad moderada a intensa. El paciente describe el dolor como sordo, punzante, punzante. El dolor es constante y sí interrumpe el sueño.
El dolor está asociado a hinchazón, chasquidos al suelo. El problema ha ido empeorando desde que empezó. Caminar, estar de pie, levantar pesas, hacer ejercicio, girar, doblarse, agacharse, arrodillarse y escalar empeoran los síntomas. Descansar, el celo y tumbarse mejoran los síntomas.
Al examinar la rodilla derecha, el paciente es sensible a la palpación a lo largo de la línea articular medial y sufre un derrame. Hay dolor a lo largo de la línea de la articulación fascite plantar medial y lateral. El paciente siente molestias con las maniobras de McMurray y la rodilla está estable.
No tienen flexión completa secundaria al derrame, pero sí tienen extensión total. Tienen una fuerza de 5/5 y están neurovascularmente intactas distalmente. No hay eritema, calor ni lesiones cutáneas presentes.
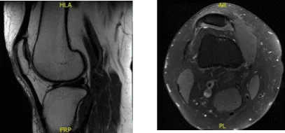
Se realizaron radiografías y resonancias magnéticas en la consulta. Se encontró desgarro vertical en el borde libre del menisco medial del cuerno posterior, con un leve deshilachamiento en la parte inferior inferior/borde libre del segmento corporal. Pérdida condral leve del compartimento femorotibial medial. Desgaste condral leve del compartimento patelofemoral, preferentemente sobre la parte medial del compartimento.
Inclinación lateral de la rótula con posición lateral leve de la rótula. Estos hallazgos pueden observarse en el contexto del trasvase de malta rotuliana. Características que pueden observarse en el contexto del síndrome de fricción de la banda iliotibial.

Vista lateral

Horizonte de Patella

Opinión AP

Hablamos sobre las opciones de tratamiento para el diagnóstico del paciente, que incluían: vivir con la extremidad tal como está, ejercicios organizados, medicamentos, inyecciones y opciones quirúrgicas. También discutimos la naturaleza y el propósito de las opciones de tratamiento, así como los riesgos y beneficios esperados. El paciente ha expresado su deseo de proceder con la cirugía.
Hablamos sobre las opciones de tratamiento y el paciente optó por el manejo quirúrgico. Hablamos sobre los riesgos y beneficios de la cirugía, incluido el sangrado. infección, rigidez de rodilla, re-desgarro, necesidad de repetir cirugía, necesidad de rehabilitación, ausencia de lesión en nervios y vasos adyacentes. El paciente comprendió bien los riesgos, beneficios y complicaciones y firmó un consentimiento informado.
Se indujo anestesia general en el paciente y se preparó la extremidad inferior derecha tras la aplicación del torniquete y Esmarch. La extremidad inferior derecha estaba colgada de forma aséptica.
Se realizó una incisión lateral en la puerta de entrada. Se introdujo el artroscopio. El endoscopio se trasladó al compartimento tibiofemoral medial, donde se realizó un portal de entrada medial utilizando una aguja espinal.
Se introdujo una sonda. Se observó la rotura del menisco medial atravesando el cuerpo y el cuerno posterior hasta la raíz. Se introdujo la afeitadora y se limpiaron los márgenes. Se usaron el mordedor ascendente y el mordedor recto para eliminar el menisco degenerado a lo largo del borde interior del menisco medial. El endoscopio se trasladó a la muesca intercondilar, donde se encontró que el LCA estaba intacto con degeneración.
El endoscopio se trasladó nuevamente a la articulación patelofemoral, donde se encontró una lesión de grado 3 a 4 de OA en el cóndilo tibiofemoral medial en la región correspondiente. Se limpiaba con un mordador y una afeitadora. Se volvió a examinar la rodilla y se desbridó aún más el menisco medial.
También se afeitó la lesión condral del cóndilo femoral medial. La rodilla estaba abundantemente irrigada. Se retiró el telescopio. Las incisiones se cerraron con nylon #3-0. Se inyectaron 20 cc de Marcaína 0,5°/4 en la rodilla.

Tras una semana de operación, se atendió a una paciente en la consulta, caminaba con poca molestia. Niega fiebre, escalofríos. Al examinar la rodilla derecha, se revela que hay un pequeño derrame. Las incisiones están cicatrizando bien, sin indicios de drenaje, eritema o calor.
El rango de movimiento es limitado como consecuencia de la incomodidad. La fuerza distal es 5/5. No hay sensibilidad en la pantorrilla ni un signo de Homan negativo. La sensibilidad se mantiene intacta al tacto ligero distalmente y hay un rápido relleno capilar.
Tras discutir las opciones de tratamiento y los riesgos de la inyección, el paciente quiso proceder con la inyección para reducir el dolor y la hinchazón.
Tras una preparación estéril, se inyectaron 3 cc de ropivacaína al 1%, 3 cc de marcaína al 0,5% y 80 mg de depo-Medrol en la rodilla derecha. El paciente toleró bien el procedimiento y no hubo complicaciones.
Se discutieron en detalle el dolor post-inyección, el aumento de la glucosa en sangre, la decoloración de la piel, la atrofia grasa y los signos de infección. El paciente volvía a la clínica cada 3-4 semanas. El paciente se recuperó bien de la cirugía y continuó su rehabilitación física.
Aviso legal – El nombre, edad, sexo, fechas y eventos del paciente han sido modificados o modificados para proteger su privacidad.

