El cúbito, o hueso del antebrazo, tendrá agujeros perforados en su extremo por el cirujano a través de una incisión realizada detrás del codo. Los extremos de los tendones se enhebrarán a través de las perforaciones y se coserán juntos. El tendón también puede ser fijado al hueso por el cirujano usando tornillos y botones.
Las molestias, el dolor, la rigidez y un rango de movimiento restringido, las lesiones y trastornos en los codos también pueden producir ruidos de chasquidos y crujidos al moverse. Además, puede haber calor e hinchazón cerca de la articulación. La articulación puede parecer deformada en casos de luxaciones y fracturas del codo.
Un paciente de 44 años visitó a nuestro paciente con quejas sobre el dolor en el brazo derecho debido a una caída y resbalón sobre hielo. Tiene hinchazón y dolor en la parte trasera del antebrazo. No puedo extender el codo. El paciente informó de empujar/tirar por factores agravantes.
En cuanto a la ubicación, informa bien. En cuanto a la gravedad, informa que es leve. Informó que el dolor estaba asociado a síntomas, no había debilidad, ni entumecimiento, ni hormigueo, ni hinchazón, ni enrojecimiento, ni calor, ni equimosis, ni ataduras/bloqueos, ni chasquidos ni deformaciones, ni rechinaciones, ni inestabilidad, ni radiación, ni secreción, ni fiebre, ni escalofríos, ni pérdida de peso, ni cambios en los hábitos intestinales/vesicales, ni sensibilidad.
Para la cirugía anterior, informa del procedimiento quirúrgico: hombro 2006.
El paciente presentó resultados de una resonancia magnética y mostró avulsión completa del compartimento posterior del tendón distal del tríceps con un componente anterior/profundo intacto.
Hablamos sobre las opciones de tratamiento para el diagnóstico del paciente, que incluían vivir con la extremidad tal cual, ejercicios organizados, medicamentos, inyecciones y opciones quirúrgicas. También discutimos la naturaleza y el propósito de las opciones de tratamiento, así como los riesgos y beneficios esperados.
Informé al paciente sobre los riesgos inherentes e inevitables que incluyen, pero no se limitan a, anestesia, infecciones, daños en nervios y vasos sanguíneos, pérdida de sangre, coágulos e incluso la muerte, que se discutieron en detalle.
También hablamos sobre la posibilidad de no poder volver a actividades o empleos anteriores, la necesidad de cirugías futuras y el síndrome de dolor regional complejo. El paciente también entiende que suele seguir al procedimiento quirúrgico un largo proceso de rehabilitación.
Hablamos de la posibilidad de no poder aliviar todo el malestar. Además, expliqué que no hay garantía de que toda la función y la resistencia vuelvan a funcionar. El paciente también comprende los riesgos de una nueva rotura o de no curar.
El paciente expresó comprensión de estos riesgos y ha decidido proceder con la cirugía. Hemos hablado del procedimiento quirúrgico así como de las expectativas realistas respecto a los riesgos, el resultado y el protocolo postoperatorio.
El paciente fue trasladado al quirófano, donde se le indujo anestesia general. La extremidad superior derecha estaba preparada y colocada asépticamente de la manera habitual. Me administraron antibióticos preoperatorios. Se aplicó un torniquete alto.
Se realizó una incisión curvilínea sobre el olecranon a lo largo de los 5 cm proximales del antebrazo, y alrededor del lado lateral del olecranon extendió esta incisión hasta unos 8 cm hacia el brazo distal, sobre la línea media.
La piel y los tejidos subcutáneos se cortaron en la línea de incisión. La fascia fue cortada en la línea de la incisión. La zona desnuda del olecranon quedó expuesta y rugosa con el uso de rongeur. La disección del tríceps mostró una capa superficial deshilachada y desgarrada.
Se diseccionó proximalmente para liberarla de adherencias. Se planeó la inserción de SwiveLock con la FiberTape a través del ojal en el olecranon en la línea media. Se insertó un taladro en el olecranon dirigido hacia adelante y distalmente. Se usó mini fluoro para comprobar que no había rotura en la articulación.
Se retiró el taladro y se hizo el grifo. Se insertó el SwiveLock. El FiberWire del SwiveLock se pasaba en una fila distal. Las dos FiberTapes se pasaron a la fila proximal. El tendón podía reducirse con el codo en una fracción de unos 20 grados.
Los FiberWires estaban conectados entre sí. El FiberTape también estaba atado entre sí. Una vez atados los nudos, se planificó una fila distal para la sutura. Se usaron dos SwiveLocks distales en el cúbito a ambos lados, medial y lateral.
Los tres hilos de cada nudo se dirigían al cúbito medial y lateral usando el SwiveLock. El taladro de los SwiveLocks fue revisado de nuevo para detectar cualquier rotura en la articulación. Después de insertar los SwiveLocks, se cortaron las suturas con una hoja afilada. La herida estaba completamente irrigada.
La herida se cerró entre sí usando el Vicryl #0. La herida se cerró usando #0 Vicryl, # 2-0 Vicryl, # 3-0 Monocryl. El torniquete se usó solo durante 15 minutos y se retiró debido a la interacción del músculo tríceps.
El apósito se realizó usando Xeroform, 4 x 4, Webril, férula posterior, férula de brazo largo en flexión de 60 grados y vendaje Ace. Se aplicó un cabestrillo en el hombro. El paciente fue extubado y trasladado a recuperación en estado estable.
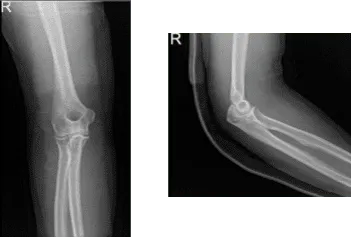
Tras la cirugía, el paciente fue atendido para una revisión de seguimiento y presentó un resultado de radiografía del codo derecho que mostró radiografías normales del codo derecho.

Radiografía del codo derecho
El paciente fue atendido para un chequeo postoperatorio. Hemos decidido hacer fisioterapia formal así como un programa de ejercicio en casa para la rehabilitación del codo.
El paciente se recuperó bien tras la cirugía y continuó la fisioterapia. El paciente se registró para una revisión tras un mes y notó una mejora significativa en el codo.
Aviso legal – El nombre, edad, sexo, fechas y eventos del paciente han sido modificados o modificados para proteger su privacidad.

