Las partes de un hueso fracturado se colocan quirúrgicamente mediante una reducción abierta y fijación interna. El hueso destrozado se mantiene unido mediante varillas, tornillos, placas, suturas u otros dispositivos.
Para estabilizar los segmentos sin arrastrar el hueso hasta la placa, se aprietan los tornillos hasta que «se bloquean» en los orificios roscados de la placa. La inserción de tornillos no puede cambiar la reducción gracias a los tornillos de bloqueo. Los sistemas de placa/tornillo no bloqueantes requieren una adaptación exacta de la placa al hueso subyacente.
Un paciente de 64 años estaba en nuestra consulta con quejas relacionadas con dolor en la muñeca. Ella estuvo involucrada en un accidente de tráfico. También tiene una lesión en la cara y en la nariz. Tiene antecedentes de extirpación radial de la cabeza hace muchos años.
Para los factores agravantes, los pacientes informan levantar pesas, girar, empujar/tirar, lanzar, apoyar peso y hacer ejercicio. En cuanto a los síntomas asociados, ella informa de debilidad, entumecimiento y hormigueo, pero no presenta hinchazón, enrojecimiento, calor, equimosis, bloqueo/atrapamiento, chasquido, pandeo, rechinación, inestabilidad, radioterapia, secreción, fiebre, escalofríos, pérdida de peso, cambios en los hábitos intestinales/vejiga y sensibilidad.
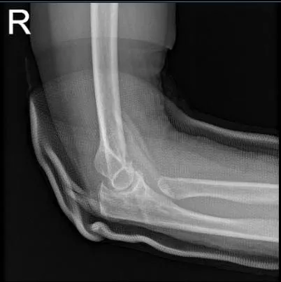
Ella trajo los resultados de radiografías del codo derecho y ha mostrado resección previa de la cabeza radial derecha. Cambios degenerativos osteoartríticos leves en el codo. En la radiografía de la muñeca derecha, mostró fractura distal conminuta del dije radial angulado.

Radiografía del codo derecho

Rayos X de la muñeca derecha 3 o más vistas
Hablamos sobre las opciones de tratamiento para el diagnóstico del paciente, que incluían vivir con la extremidad tal cual, ejercicios organizados, medicamentos, inyecciones y opciones quirúrgicas. También discutimos la naturaleza y el propósito de las opciones de tratamiento, así como los riesgos y beneficios esperados.
Informé al paciente sobre los riesgos inherentes e inevitables que incluyen, pero no se limitan a, anestesia, infecciones, daños en nervios y vasos sanguíneos, pérdida de sangre, coágulos e incluso la muerte, que se discutieron en detalle.
También hablamos sobre la posibilidad de no poder volver a actividades o empleos anteriores, la necesidad de cirugías futuras y el síndrome de dolor regional complejo. El paciente también entiende que suele seguir al procedimiento quirúrgico un largo proceso de rehabilitación.
Hablamos de la posibilidad de no poder aliviar todo el malestar. Además, expliqué que no hay garantía de que toda la función y la resistencia vuelvan a funcionar. El paciente también comprende los riesgos de una nueva rotura o de no curar. El paciente entiende que durante esta cirugía pueden utilizarse implantes.
El paciente expresó comprensión de estos riesgos y ha decidido proceder con la cirugía. Se dedicó tiempo suficiente para las preguntas, de las cuales se respondieron muchas. Hemos hablado del procedimiento quirúrgico así como de las expectativas realistas respecto a los riesgos, el resultado y el protocolo postoperatorio.
La paciente fue vista en el quirófano, donde fue colocada sobre una mesa de quirófano bien acolchada. Se indujo anestesia general. La extremidad superior derecha estaba preparada y colocada asépticamente de la manera habitual. Se aplicó torniquete. Se aplicó Esmarch. El torniquete estaba elevado.
La incisión volar a lo largo del tendón del flexor del carpo radial se realizó sobre el tercio distal del antebrazo. El tendón del flexor carpiano radial se alcanzó mediante disección roma. Se logró la hemostasia.
La vaina anterior del flexor del carpo radial fue incisa a lo largo de la línea de incisión y retraída medialmente. La vaina posterior estaba incisa en la línea de incisión. Se alcanzó el pronador cuadrado, que se cortó con la cauteridad en el borde final del radio.
La fractura y el radio distal podrían quedar expuestos. La fractura estaba sanando en una posición inaceptable. La fractura fue movilizada y limpia, se utilizó la curette. El lugar de la fractura fue completamente lavado e irrigado. La fractura fue reducida y sujetada con pinzas.
Se abrió y colocó una placa distal de radio de 8 orificios y se encontró en una posición aceptable. La placa se fijó al radio distal, proximal y distal al lugar de la fractura mediante el uso de una combinación de tornillos de bloqueo y de no bloqueo. La herida fue completamente lavada.
La herida se cerró en capas usando #0 Vicryl, #2-0 Vicryl, #3-0 y #4-0 Monocryl. El apósito se aplicó con Adaptic, 4×8, Webril. Se aplicó una férula de brazo largo. El paciente fue trasladado para recuperarse en estado estable. La paciente movía bien los dedos. El bloqueo braquial se administró en el periodo postoperatorio para controlar el dolor.
Hemos decidido continuar con fisioterapia formal así como con un programa de ejercicios en casa para la rehabilitación de la muñeca. El paciente se recuperó bien tras la cirugía y continuó la fisioterapia. El paciente se registró para una visita de seguimiento después de un mes y notó una mejora significativa en su muñeca.
Aviso legal – El nombre, edad, sexo, fechas y eventos del paciente han sido modificados o modificados para proteger su privacidad.

