La acromioplastia, también conocida como descompresión subacromial del hombro, es un tratamiento quirúrgico utilizado para tratar el impingemen T del hombro, un problema común que provoca molestias y debilidad en el hombro cuando levantas el brazo por encima de la cabeza.
Un tendón roto en el hombro puede repararse quirúrgicamente con la reparación del manguito rotador . La artroscopia de hombro, que emplea incisiones más pequeñas, o una incisión grande (abierta) puede utilizarse para la operación. Varios músculos y tendones se unen para formar un manguito alrededor del hombro, llamado manguito rotador.
El tratamiento común para la tendinopatía de la cabeza larga del bíceps braquial (LHB) es la tenodesis del bíceps. Desgarros de LHB de espesor parcial, subluxación de tendones con o sin desgarros subescapulares y tratamientos conservadores fallidos de tenosinovitis bicipital son ejemplos de indicaciones.
Si experimentas alguno de los siguientes signos de molestia en el hombro o no puedes mover el hombro con normalidad, deberías ponerte en contacto con un cirujano ortopédico. Puedes experimentar luxación de hombro. Obviamente hay algo mal en la articulación del hombro.
Un paciente de 49 años estaba en nuestra consulta con quejas sobre dolor en el hombro tras un accidente. Nos inyectamos el hombro izquierdo pero no tuvimos alivio. Hablamos sobre las opciones de tratamiento y el paciente optó por el manejo quirúrgico.
Hablamos sobre riesgos y beneficios, incluyendo infecciones, hemorragias, lesiones en nervios y vasos adyacentes, posibilidad de repetir inyecciones, posibilidad de dolor en el hombro y necesidad de inyecciones de cortisona, entre otros. El paciente lo entendió y firmó un consentimiento informado.
El paciente fue llevado al quirófano, donde lo colocaron sobre una mesa de quirófano bien acolchada. Se indujo anestesia general. Estaba girado en la posición lateral derecha para que el hombro estuviera levantado. El hombro izquierdo estaba preparado y colocado asépticamente de la manera habitual.
El hombro izquierdo se puso en abducción de 40 grados y 10 grados de flexión con el uso de llamado. Me administraron antibióticos perioperatorios. El portal anterior se formó hacia atrás a través de un deporte suave en el hombro. Se alcanzó la articulación Glenohumeral y se realizó la entrada en el portal anterior mediante una aguja espinal.
Se examinó la articulación glenohumeral. El tendón subescapular, supraescapular, intraescapular y del bíceps estaban intactos. No hubo cambio artrítico en la articulación glenohumeral. Había deshilachados del labrum glenoideo, que se limpiaba con una maquinadora. No hubo desgarro del manguito rotador lateral articular.
El alcance se introdujo en la región subacromial. Había bursitis presente. La afeitadora se usaba para limpiar la bursitis. Había algo de espolón subacromial que se limpiaba usando broca y haciendo acromioplastia subacromial. Se examinó el manguito rotador y se encontró intacto.
Había artritis en la articulación del aire condicionado. Se tomó la decisión de la extirpación distal. La escisión clavicular distal se realizó utilizando la fresa desde la puerta posterior y la puerta anterior.
Se extirpó un centímetro de clavícula distal. El vendaje se hizo usando Xeroform, 4 x 4, ABD y cintas adhesivas. El paciente fue colocado en un cabestrillo en el hombro. El paciente fue extubado y trasladado para recuperarse en estado estable.
El paciente volvió a visitar nuestra consulta con quejas de dolor en ambos hombros durante meses. Había sido sometido a una cirugía artroscópica en el hombro izquierdo hace unas semanas. No tiene dolor en el hombro izquierdo.
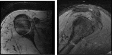
Vino a nuestra consulta con dolor recurrente en el hombro derecho que no ha mejorado. El paciente tenía debilidad en los músculos del manguito rotador. El paciente presentó un resultado de resonancia magnética que mostró que era normal, pero había una alta sospecha de desgarro del manguito rotador.

MRI-3T Hombro derecho sin contraste
Hablamos sobre las opciones de tratamiento y el paciente optó por el manejo quirúrgico. Hablamos sobre infecciones, sangrados, falta de curación, necesidad de cirugía o reparación repetida, lesiones en nervios y vasos adyacentes, complicaciones sistémicas, entre otros. El paciente entendió y firmó su consentimiento informado.
El paciente fue trasladado al quirófano, donde se le indujo anestesia general. Se aplicó un bloqueo supraclavicular en la zona de retención. El paciente fue colocado en posición lateral izquierda con el hombro derecho levantado. Se aplicó un enrollamiento axilar. Todas las prominencias óseas estaban bien acolchadas.
Le sujetaron con un puf. Me administraron antibióticos preoperatorios. La extremidad superior derecha estaba preparada y colocada asépticamente de la manera habitual. Se hizo un portal de entrada posterior a través de un punto blando. Se llegó a la unión Glenohumeral. El desbridamiento se hizo con una afeitadora.
Hubo una rotura parcial del manguito rotador en el lado articular. Se tomó la decisión de reparar el manguito rotador. Se realizó el desbridamiento de los bordes del manguito rotador. El accesorio óseo se decoricó y preparó con una muela. El recorrido del SwiveLock se revisó con una aguja espinal seguida de una incisión.
El SwiveLock se insertaba tras la inserción del punzón. Una vez colocado el ancla, se recuperaba una extremidad de la sátira usando un pico de pájaro a través del manguito rotador medial; el endoscopio se introducía en el espacio subacromial.
Se visualizaron las suturas. La sutura estaba anudada. Se logró una buena reparación. No había bursitis subacromial ni deshilachamiento. La junta del aire acondicionado tenía buena pinta. Se tomaron y guardaron las fotos finales.

Imágenes artroscópicas intraoperatorias
El hombro fue completamente irrigado y drenado. El cierre se hizo con nylon 3-0. Inmovilizador de hombro. en condición estable. El vestido estaba hecho. Al paciente le pusieron un inmovilizador de hombro. El paciente fue extubado y trasladado a recuperación.
El paciente volvió a nuestra consulta. Hace cuatro meses se sometió a una reparación del manguito rotador del hombro derecho conmigo. Empezó a tener dolor en el hombro derecho, especialmente en la parte anterior. El paciente hizo fisioterapia, pero el dolor no alivió.
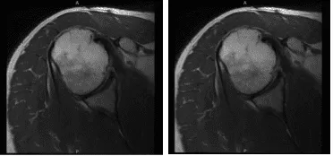
Se presentó un resultado de resonancia magnética que mostró tenodesis del bíceps y posible desgarro en el manguito rotador. Evidencia de reparación previa del manguito rotador con ancla de sutura en la tuberosidad mayor. Sin embargo, los hallazgos compatibles con una rotura recurrente del supraespinoso tienen al menos una severidad moderada.
Desgarro parcial de bajo grado del tendón subescapular. Tendinosis y tenosinovitis del bíceps sin desgarros. Hallazgos que sugieren capsulitis adhesiva. Pequeño desgarro en la base del labrum anterior. Bursitis leve.

MRI-3T Hombro derecho sin contraste
Hablamos sobre las opciones de tratamiento y el paciente optó por el manejo quirúrgico. Hablamos sobre riesgos y beneficios, incluyendo infección, sangrado, falta de cicatrización, cirugía repetida, rehabilitación y rigidez, entre otros. El paciente entiende y firma su consentimiento informado.
El paciente fue trasladado al quirófano, donde se le indujo anestesia general. La extremidad superior derecha estaba preparada y colocada de forma aséptica de la manera habitual. Me administraron antibióticos preoperatorios. Se realizó una incisión para la entrada posterior y se introdujo el artroscopio.
Había algo de deshilachado en el labrum, que estaba desbridado. No se observó ningún desgarro del manguito rotador en el lugar de la cirugía. El examen Glenohumeral también mostró inflamación del tendón del bíceps con deshilachamiento. Se realizó una tenotomía del bíceps en la articulación con un plan para realizar una tenodesis subpectoral del bíceps. El alcance se introdujo en el espacio subacromial.
El examen del espacio subacromial mostró bursitis y bursa engrosada, que fue retirada. La acromioplastia satisfactoria ya estaba allí. La articulación del aire acondicionado estaba intacta y no se observó inflamación, por lo que no se hizo ninguna intervención allí.
Hubo deshilachamiento superficial, luego se observó un desgarro del supraespinoso con un 50% de profundidad. Se decidió usar un parche de regeneten. Tear fue desbridada y Patch fue insertado a través del portal de entrada lateral y colocado sobre la zona deshilachada.
Se fijó al manguito rotador usando grapas de PLA x 5. La parte lateral del parche se fijó a la mayor tuberosidad usando grapas PEEK x 2. Se encontró en estado estable. Se tomaron y guardaron las fotos finales.

Imágenes artroscópicas intraoperatorias
Se retiró la mira y el brazo fue retirado de la tracción. Se realizó una incisión en el pliegue axilar anterior de 3 cm para la fascia subpectoral y se introdujo en la línea de la incisión de tenodesis del bíceps. La disección subpectoral llevó al tendón de la cabeza larga del bíceps. El tendón del bíceps fue expulsado.
Se realizó la sutura del tendón con fibrecinch. Desde la unión miotendina proximalmente se hizo un agujero de perforación para la inserción del botón. Se colocaron las suturas del tendón en el botón de endometriosis y el botón se introdujo a través del agujero del taladro y se apretó.
La sutura se pasó de nuevo al tendón y se ató a sí misma. No se utilizó el tornillo unicortical PEEK porque no era estable.
La herida fue lavada y cerrada a fondo en capas usando el #0 Vicryl, el #3-0 Vicryl seguido del #4-0 Monocryl. Las incisiones se cierran con nylon #3-0. La herida fue infiltrada con 0,5% de lidocaína x 10 cc.
Las heridas se vendaron con 4×8, seguido de ABD y se le realizó el vendaje. Se aplicó un apósito estéril. El paciente fue extubado y trasladado para recuperarse en estado estable.
Hemos decidido continuar con fisioterapia formal así como con un programa de ejercicio en casa para la rehabilitación del hombro. El paciente se recuperó bien tras la cirugía y continuó la fisioterapia. El paciente se registró para una revisión después de un mes y notó una mejora significativa en su hombro.
Aviso legal – El nombre, edad, sexo, fechas y eventos del paciente han sido modificados o modificados para proteger su privacidad.

