Cirugía de desbridamiento extenso del hombro hace que la articulación se agrande como resultado, proporcionando al cirujano más espacio para evaluar la lesión. El cirujano arregla la lesión utilizando equipos especializados. El cartílago suelto o enfermo se extrae durante un procedimiento conocido como desbridamiento. Se pueden extraer espuelas óseas si están presentes.
Cualquier movimiento típico, como levantar el hombro por encima de la cabeza, es imposible. Tu hombro da la impresión de estar fuera de su articulación. Se nota que algo va mal en la articulación del hombro.
Un paciente de 40 años estaba en nuestra consulta con quejas relacionadas con dolor en la cadera izquierda, hombro derecho, zona lumbar y cuello debido a un accidente de coche. No tenía dolor antes del accidente. Ha estado haciendo fisioterapia sin ningún alivio.
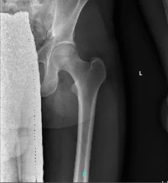
Presentó los resultados de la radiografía del hombro derecho que mostraron artropatía de la articulación acromioclavicular. En la cadera izquierda, las radiografías han mostrado una leve sobrecobertura acetabular. Para la columna cervical, reducción leve del espacio discológico.
También presentó los resultados de la resonancia magnética para su hi-húper izquierdo, que mostraron desgarro del labrum posterior superior en la posición de las 10 a las 11 en punto. Lesión de Morel Lavalee en los tejidos subcutáneos posteriores superficiales al tensor de la fascia lata.
Recomiendo consulta con el ortopedista. Pérdida de cartílago y cambio quístico en el acetábulo posterior superior. Sobrecobertura acetabular. Bursitis trocantérica mayor izquierda.

Radiografía del hombro derecho mínimo 2 vistas

Radiografía 2-3 vistas de la cadera izquierda

Radiografía: 2 o 3 vistas de la columna cervical

Resonancia magnética de cadera izquierda sin contraste
Hablé sobre las opciones de tratamiento para el diagnóstico del paciente, que incluían vivir con la extremidad tal cual, ejercicios organizados, medicamentos, inyecciones y opciones quirúrgicas.
También hablé sobre la naturaleza y el propósito de las opciones de tratamiento, así como los riesgos y beneficios esperados.
Informé al paciente sobre los riesgos inherentes e inevitables que incluyen, pero no se limitan a, infección, rigidez, daño en nervios y vasos sanguíneos, pérdida de sangre que puede requerir transfusiones, coágulos sanguíneos, dolor persistente o empeoró, aflojamiento o fallo de implantes, inestabilidad, hormigueo o entumecimiento, anestesia y complicaciones sistémicas como cardíacas, pulmonares, neurológicas e incluso la muerte.
También hablé sobre la posibilidad de no poder volver a actividades o empleos anteriores, la necesidad de una cirugía futura y el síndrome de dolor regional complejo. El paciente también entiende que suele seguir al procedimiento quirúrgico un largo proceso de rehabilitación.
Hablé de la posibilidad de no poder aliviar todo el malestar. Además, expliqué que no hay garantía de que toda la función y la resistencia vuelvan a funcionar. Hablé sobre el tipo de implantes que podrían utilizarse durante esta cirugía.
El paciente expresó comprensión de estos riesgos y ha decidido proceder con la cirugía. Hablé sobre la medicación y alergias del paciente y la posible necesidad de autorizaciones médicas y de otro tipo si fuera necesario. He hablado sobre el procedimiento quirúrgico así como sobre las expectativas realistas respecto a los riesgos, el resultado y el protocolo postoperatorio.
El paciente fue llevado al quirófano, donde lo colocaron sobre una mesa de operaciones bien acolchada. Se aplicó un bloqueo supraclavicular. Se indujo anestesia general. El paciente fue colocado en la lateral izquierda con el hombro derecho hacia arriba. La posición era con el puf.
Todas las prominencias óseas estaban bien acolchadas. Se insertó un enrollamiento axilar. El hombro derecho estaba preparado y colocado asépticamente de la manera habitual. Me administraron antibióticos preoperatorios. El portal de entrada se realizó en el punto blando posterior a la articulación glenohumeral.
El artroscopio se insertó a través del portal de entrada. El portal de entrada superoanterior anterior se realizó mediante aguja espinal y cuchillo. Se insertaba una cánula a través del portal anterosuperior. El examen de la articulación glenohumeral mostró desgarros parciales de las fibras superiores del tendón subescapular.
Había un labrum glenoide deshilachado sin una rotura franca del labrum glenoide. El desbridamiento se realizaba mediante una afeitadora. El examen del resto de la articulación glenohumeral se mantuvo intacto. El artroscopio se insertó en el espacio subescapulario.
Shaver se insertó a través del portal anterosuperior. La descompresión subacromial se realizaba mediante una afeitadora. El examen del manguito rotador del supraespinoso e infraespinoso mostró tendones intactos. Había un espolón acromial tipo 2.
Se utilizó varita de coblación seguida de bur para realizar la acromioplastia y extraer el espolón acromial. Hubo artritis AC e hipertrofia capsular, que se desbridó con el uso de la varita de coblación seguida de la remola. Se realizó la extirpación distal de la clavícula mediante la extirpación de la clavícula.
El hombro fue completamente irrigado y drenado. El cierre se hizo usando nylon #3-0. El vendaje se hizo con Xeroform, 4 x 4, ABD y cinta adhesiva. El paciente fue puesto en un inmovilizador de hombro, quedó en posición supina, extubado y trasladado a recuperación en estado estable.
El paciente fue atendido para un chequeo postoperatorio. Hemos decidido hacer fisioterapia formal así como un programa de ejercicios en casa para la rehabilitación del hombro.
Los pacientes seguían regularmente una visita a la consulta cada 3-4 semanas. El paciente se recuperó bien tras la cirugía y continuó la fisioterapia. El paciente se registró para una revisión después de un mes y notó una mejora significativa en su hombro.
Aviso legal – El nombre, edad, sexo, fechas y eventos del paciente han sido modificados o modificados para proteger su privacidad.

