Un procedimiento artroscópico llamado resección de la plica consiste en extraer tejido sinovial aberrante de la articulación de la rodilla. La plica, que son pliegues orgánicos en la sinovia de la articulación de la rodilla, puede volverse frecuentemente incómoda e inflamatoria.
El hueso y el cartílago de las articulaciones pueden deteriorarse. Daño a los nervios, músculos o ligamentos. Un hueso roto puede desgarrar o dañar los tejidos blandos cercanos. Coágulos de sangre.
Un paciente de 63 años estaba en nuestra consulta con quejas sobre dolor en las rodillas, que era intenso, y sentía que algo estaba roto. Describió el dolor como agudo. Afirmó que su mano derecha y su columna lumbar son de naturaleza leve. T
El mayor problema son las rodillas, siente que le crujen y crujen. Antes del accidente tenía algo de artritis en la rodilla derecha, pero después de una inyección de esteroides estaba bien. El dolor en la rodilla derecha es más intenso, diferente al anterior.
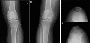
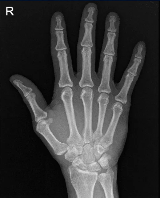
Presentó una radiografía de sus rodillas bilaterales, columna lumbar y mano derecha de Zwanger. Los resultados de sus radiografías mostraron cambios degenerativos osteoartríticos leves. No hay fracturas. Para su columna lumbar, cambios degenerativos lumbares multinivel leves. Para su mano derecha, mano derecha normal.

Radiografía de rodilla izquierda y derecha con rótula

LS Spine X-ray Flex/Ext sin oblicuos

Rayos X a la derecha 3 o más vistas completas
Hablamos sobre las opciones de tratamiento para el diagnóstico del paciente, que incluían vivir con la extremidad tal cual, ejercicios organizados, medicamentos, inyecciones y opciones quirúrgicas. También hablé sobre la naturaleza y el propósito de las opciones de tratamiento, así como los riesgos y beneficios esperados.
Informé al paciente sobre los riesgos inherentes e inevitables que incluyen, pero no se limitan a, infección, rigidez, daño en nervios y vasos sanguíneos, pérdida de sangre que puede requerir transfusiones, coágulos sanguíneos, dolor persistente o empeoró, aflojamiento o fallo de implantes, inestabilidad, hormigueo o entumecimiento, anestesia y complicaciones sistémicas como cardíacas, pulmonares, neurológicas e incluso la muerte.
También hablé sobre la posibilidad de no poder volver a actividades o empleos anteriores, la necesidad de una cirugía futura y el síndrome de dolor regional complejo. El paciente también entiende que suele seguir al procedimiento quirúrgico un largo proceso de rehabilitación.
Hablé de la posibilidad de no poder aliviar todo el malestar. Además, expliqué que no hay garantía de que toda la función y la resistencia vuelvan a funcionar. Hablé sobre el tipo de implantes que podrían utilizarse durante esta cirugía. El paciente expresó comprensión de estos riesgos y ha decidido proceder con la cirugía.
Hablé sobre la medicación y alergias del paciente y la posible necesidad de autorizaciones médicas y de otro tipo si fuera necesario. He hablado sobre el procedimiento quirúrgico así como sobre las expectativas realistas respecto a los riesgos, el resultado y el protocolo postoperatorio.
El paciente fue llevado al quirófano donde se le indujo anestesia general. La rodilla derecha estaba preparada y colocada de forma aséptica de la manera habitual. Se administró antibiótico preoperatorio. Se hizo un portal de entrada lateral. Se realizó una incisión parapatelar. Se insertó un artroscopio.
El artroscopio se trasladó al compartimento tibial femoral medial, donde se realizó un portal de entrada medial mediante el uso de una aguja espinal. El examen del compartimento tibiofemoral medial mostró desgarros radiales a lo largo del cuerpo del menisco medial con márgenes irregulares.
Hubo cambios osteoartríticos de grado 1 a grado 2 en el cóndilo femoral medial, que se limpó con una afeitadora. El desgarro no era susceptible de reparación. Por ello, se realizó una meniscectomía parcial utilizando mordedores de lado derecho, mordedores rectos y afeitadores. Se lograron márgenes equilibrados.
El examen de la muesca intercondilar mostró intacto, LCA con cierta degeneración. El examen del compartimento tibiofemoral lateral mostró cartílago intacto así como menisco. Hubo cambios osteoartríticos de grado 1 a grado 2 en el cóndilo femoral lateral en la región de la tróclea, que se limpiaron con afeitadora.
El examen del compartimento patelofemoral mostró Cartlidge intacto. Había una plica suprapatelariana inflamada que se extendía desde la pared bulbar medial hasta la lateral. Fue eliminado mediante el uso de la máquina de afeitar. Se tomaron y guardaron las fotos finales.

La rodilla fue completamente irrigada y drenada. El cierre se hizo con el uso de nylon 3-0. El aderezo se hizo con Xeroform, 4 x 4, ABD, Webril y Ace Wrap. El paciente fue extubado y trasladado a recuperación en estado estable.
El paciente fue atendido para un chequeo postoperatorio. Hemos decidido realizar fisioterapia formal así como un programa de ejercicios en casa para la rehabilitación de la rodilla. Los pacientes seguían regularmente una visita a la consulta cada 3-4 semanas.
El paciente se recuperó bien tras la cirugía y continuó la fisioterapia. El paciente se registró para una visita de seguimiento después de un mes y notó una mejora significativa en la rodilla.
Aviso legal – El nombre, edad, sexo, fechas y eventos del paciente han sido modificados o modificados para proteger su privacidad.

