El paciente lleva más de una semana en nuestra consulta con quejas de dolor en el tobillo izquierdo. El paciente recuerda su lesión en un accidente de tráfico. El dolor es intenso. El paciente describe el dolor como agudo y punzante. El dolor es constante y me molesta el sueño. El problema no ha cambiado desde que empezó.
Andar, estar de pie, escaleras y sentarse empeoran los síntomas, mientras que el descanso, el calor, el hielo, tumbarse o inclinarse hacia delante mejoran los síntomas. El paciente trabaja actualmente para Con Edison.
El paciente presentó el resultado de su TAC y lo discutió. El resultado mostró una fractura tri malleolar en el tobillo izquierdo. Hablamos sobre las opciones de tratamiento para el diagnóstico del paciente, que incluían: vivir con la extremidad tal como está, ejercicios organizados, medicamentos, inyecciones y opciones quirúrgicas.
También discutimos la naturaleza y el propósito de las opciones de tratamiento, así como los riesgos y beneficios esperados. El paciente ha expresado su deseo de proceder con la cirugía, y creo que es una opción razonable.
Informé al paciente sobre los riesgos inherentes e inevitables que incluyen, pero no se limitan a: anestesia, infección, daño a los nervios y vasos sanguíneos, pérdida de sangre, coágulos e incluso la muerte, se discutieron en detalle.
También hablamos sobre la posibilidad de no poder volver a actividades o empleos anteriores, la necesidad de cirugías futuras y el síndrome de dolor regional complejo. El paciente también entiende que suele seguir al procedimiento quirúrgico un largo proceso de rehabilitación.
Hablamos de la posibilidad de no poder aliviar todo el malestar. Además, expliqué que no hay garantía de que toda la función y la resistencia vuelvan a funcionar. El paciente también comprende los riesgos de no curar.
El paciente entiende que durante esta cirugía pueden utilizarse implantes. El paciente expresó comprensión de estos riesgos y ha decidido proceder con la cirugía.

TAC – Tobillo izquierdo sin contraste
El paciente fue llevado al quirófano, donde lo colocaron sobre una mesa de operaciones bien acolchada. Se indujo anestesia general. Su extremidad inferior izquierda fue preparada y colocada de forma aséptica de forma habitual tras aplicar el torniquete en el muslo. Se pidió un tiempo muerto.
Se realizó una incisión lateral distal en la fibular. La herida quedó expuesta. El lugar de la fractura fue abierto. La fractura fue lavada y limpiada a fondo. La fractura se redujo y se mantuvo con una pinza de reducción lateral puntiaguda. La reducción fue muy buena. se utilizó una placa fibular distal de cuatro orificios.
Se fijó usando una combinación de tornillos de bloqueo y de no bloqueo. La fijación final del peroné distal se comprobó en el brazo en C y se comprobó que era adecuada. Ahora, se realizó una incisión medial a lo largo de la tibia distal anteromedial. La fractura no se abrió esta vez. La fractura se redujo bien mediante manipulación.
La mortaja del tobillo estaba bien formada. Se decidió fijarlo con una placa neutralizadora y tornillos de compresión. Se utilizó una placa fibular distal de cuatro orificios que estaba bien alineada sobre el malleo medial y la tibia distal.
Se pasaban dos tornillos a través del lugar de la fractura desde los orificios distales de la fibula, tornillos no bloqueantes que lograban buena compresión en el lugar de la fractura. La parte de neutralización de la placa se realizó usando dos tornillos proximales no bloqueantes y uno distal.
La fijación final se comprobó bajo el C-arm y se encontró adecuada. Se tomaron y guardaron las fotos finales. Las heridas fueron lavadas y regadas a fondo.
El cierre se hizo en capas usando 2-0 Vicryl y 4-0 Monocryl. El apósito en seco estaba hecho. Se aplicó una férula posterior. El paciente fue extubado y trasladado a recuperación en estado estable.
Para la revisión postoperatoria de una semana, está bien. Niega fiebre, escalofríos, lesiones. Está en la férula posterior. Él es sin apoyar con muletas. La apariencia general no mostró hinchazón, sensibilidad ni calor, y la herida estaba limpia y seca, el rango de movimiento adecuado y la neurovascular intacta.
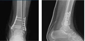
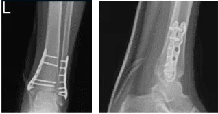
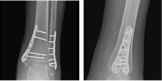
Para entonces, se aconsejó al paciente que realizara la Práctica R.I.C.E (Reposo, Hielo, Compresión y Elevación). Se revisó y monitorizó la radiografía del tobillo izquierdo durante 32 semanas postoperatoria, mostrando fracturas quirúrgicamente tratadas en el peroné distal y la maléola medial.

Radiografía del tobillo izquierdo completada 3 o más visitas 1 semana después de la operación

Radiografía del tobillo izquierdo completada 3 o más visitas-4 semanas después de la operación

Radiografía del tobillo izquierdo completada 3 o más visitas 8 semanas después de la operación

Radiografía del tobillo izquierdo completada 3 o más visitas a las 16 semanas postoperatorias

Radiografía del tobillo izquierdo completada 3 o más visitas 8 meses después de la operación
Tras 32 semanas postoperatorio, el paciente volvió a la consulta y se encuentra bien. Niega fiebre, escalofríos, lesiones. Lleva zapatos normales. Es un amigo con beneficios sin apoyo. Está teniendo molestias leves alrededor del tobillo. Está aquí para el seguimiento del tobillo izquierdo.
Para una revisión más detallada de la condición del tobillo, acordamos realizar un TAC. El resultado mostró fractura trimalleolar cicatrizada tras ORIF, con placa y tornillos en el peroné, y el maléolo medial con una deformidad leve con un paso de 1 mm en la superficie articular en el plafond tibial medial.
Deformidad leve en el margen anterior de la palma tibial. No hay nuevas fracturas. Hemos decidido realizar fisioterapia formal así como un programa de ejercicios en casa para la rehabilitación de la rodilla. Los pacientes seguían regularmente una visita a la consulta cada 3-4 semanas. El paciente se recuperó bien tras la cirugía y continuó la fisioterapia.

TAC – Tobillo izquierdo sin contraste
Aviso legal – El nombre, edad, sexo, fechas y eventos del paciente han sido modificados o modificados para proteger su privacidad.

