Un espolón óseo del codo es una protuberancia ósea que sobresale del hueso en la articulación del codo. Algunos espolones óseos no son evidentes y pueden no causar síntomas; Sin embargo, otros pueden irritar tus tendones, nervios y músculos. Esta inflamación en el codo puede causar dolor.
Los osteófitos deben tratarse solo si causan dolor o rigidez. Como los osteófitos están estrechamente relacionados con la artritis, los tratamientos que puede necesitar son los mismos.
El paciente es un hombre de 36 años. El paciente está aquí con quejas de dolor en el codo derecho. Afirma que su codo empezó a hincharse cuando jugaba al baloncesto. No la golpeó, no se cayó ni se lesionó, pero empezó a hincharse. Actualmente trabaja en el NYPD.
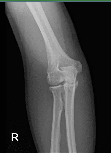
A primera vista, se sospecha que tiene una fractura de la cabeza radial. Le hicimos radiografías y descubrimos que tiene un gran osteófito del olecranon, posiblemente secundario a signos congénitos crónicos del codo.

Radiografía del codo derecho
Hablamos sobre las opciones de tratamiento y el paciente optó por el manejo quirúrgico. Hablamos de los riesgos y beneficios, incluyendo infección, sangrado, recurrencia del osteófito, lesiones en los nervios y vasos adyacentes, rigidez en los codos, entre otros. El paciente lo entendió y firmó un consentimiento informado.
El paciente fue trasladado al quirófano y se le indujo anestesia general. Se administraron antibióticos preoperatorios. Se aplicó torniquete en la extremidad superior derecha. La extremidad superior derecha estaba preparada y colocada de forma aséptica de la manera habitual. Se pidió tiempo muerto.
Se realizó una incisión curvilínea sobre el punto del codo con la curva hacia el sitio radial. Con una disección aguda, se alcanzó la bursa de olecranon. La bursa olecranon fue eliminada en sus márgenes. Se podía alcanzar al osteófito.
El periostio estaba elevado y se utilizó Bovie para identificar el osteófito y delimitar. Se utilizaba un osteótomo para extirpar el osteófito. Una vez extirpados los osteófitos, los márgenes se limpiaron a fondo. No quedaban aristas afiladas.
La bursa fue completamente retirada. Se liberó torniquete y se logró la hemostasis. El cierre se hizo en capas usando #0 Vicryl, # 2-0 Vicryl y Monocryl. Se usó Dermabond seguido de un apósito en forma de 4 x 8, Webril y Ace wrap. El paciente fue extubado y trasladado a la unidad de recuperación en estado estable.
Está aquí para su visita postoperatoria de una semana con radiografías del codo derecho. Niega fiebre, se estremece y puede volver al trabajo tras una semana de operación. La radiografía mostró que la cirugía previa está cicatrando y que hay hinchazón de tejidos blandos sobre el proceso del olecranon.

Radiografía postoperatoria del codo derecho
Aconsejamos al paciente continuar con hielo y elevar la rodilla para disminuir la hinchazón y el dolor. También seguimos utilizando la movilización temprana y la profilaxis mecánica para reducir las probabilidades de una trombosis venosa profunda.
Reduciremos poco a poco cualquier medicamento narcótico y avanzaremos a antiinflamatorios y paracetamol, siempre que no haya contraindicaciones para estos medicamentos. También hablamos sobre los riesgos, beneficios y efectos secundarios comunes de tomar estos medicamentos.
Y el paciente volverá cada tres o cuatro semanas para evaluar su progreso. Con fisioterapia continua y seguimiento, el paciente se recupera y puede volver a su rutina habitual.
Aviso legal – El nombre, edad, sexo, fechas y eventos del paciente han sido modificados o modificados para proteger su privacidad.

