Se dice que el hombro humano tiene el mayor rango de movimiento de todo el cuerpo. Nuestros músculos en los hombros nos ayudan a abducir, aducir, flexionar, extender y rotar.
Según la investigación, las lesiones más frecuentes en el hombro humano son desgarros del manguito rotador, hombros congelados e inestabilidad. Este artículo tratará sobre las roturas del manguito rotador. Sin tratamiento, la rotura del manguito rotador puede provocar una pérdida permanente de movimiento.
La paciente está en nuestra consulta y se queja de dolor en el pie y la pierna izquierdos. El paciente recuerda haberse lesionado en un accidente de coche cuando su pie quedó atrapado entre los pedales. El paciente afirma haber sufrido también una conmoción cerebral. Desde el pie hasta la pantorrilla, hay agonía.
El paciente se queja de que le duele mover los dedos de los pies. La incomodidad es muy intensa. Dolor agudo es como lo describe el paciente. El dolor constante puede ser un impedimento para dormir. El paciente afirma que fue luchador en el pasado. Hematomas, hormigueo y dolor irradiado son síntomas del dolor.
El dolor no va acompañado de ninguno de los siguientes síntomas: hinchazón, entumecimiento, debilidad, anomalías en el intestino o la vejiga, problemas en la marcha, cesión o cojera, ni problemas en la función de las manos. Desde que empezó, el problema ha ido empeorando progresivamente. Los síntomas mejoran con hielo. El paciente no toma ningún medicamento.
Se presentaron radiografías del hombro derecho e izquierdo. En el hombro derecho no hubo fracturas agudas, aunque hay un ensanchamiento asimétrico de la articulación acromioclavicular del hombro derecho y, para una evaluación adicional, se recomienda correlacionarse con la resonancia magnética. Por otro lado, la radiografía del hombro izquierdo mostró radiografías normales.

Radiografía del hombro derecho

Radiografía del hombro izquierdo
Dos semanas después de la operación, se realizó una resonancia magnética. La resonancia magnética del hombro derecho mostró esguince articular AC y tendinitis calcifica sospechosa del tendón supraespinoso.
Se recomienda repetir la correlación con radiografías o TAC para una evaluación definitiva. Se revisó la resonancia magnética del hombro izquierdo, se encontró desgarro parcial focal de bajo grado del tendón supraespinoso anterior y bursitis subdeltoidea subacromial leve.

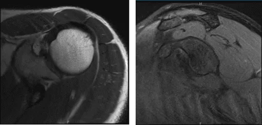
MRI-3T Hombro derecho sin contraste

MRI-3T Hombro Izquierdo sin contraste
El paciente decidió proceder con la inyección para reducir el dolor y la inflamación sin importar los riesgos. Tras una preparación estéril, se inyectaron 3 cc de ropivacaína al 1%, 3 cc de marcaína al 0,5 % y 80 mg de depo-medrol en el hombro izquierdo.
El paciente toleró bien el procedimiento y no hubo complicaciones. Se discutieron en detalle el dolor post-inyección, el aumento de la glucosa en sangre, la decoloración de la piel, la atrofia grasa y los signos de infección.
Tras tres meses, el paciente volvió a la consulta aún quejándose de dolor bilateral en el hombro. Aconsejé al paciente que se sometiera a una resonancia magnética para ver alguna mejoría respecto a la última visita. La resonancia magnética del hombro derecho seguía mostrando esguince crónico de la articulación AC.

Resonancia – 3T hombro derecho sin contraste
Hablamos sobre las opciones de tratamiento y el paciente optó por el manejo quirúrgico. Hablamos sobre riesgos y beneficios, incluyendo infecciones, hemorragias, lesiones en nervios y vasos adyacentes, posibilidad de repetir inyecciones, posibilidad de dolor en el hombro y necesidad de inyecciones de cortisona, entre otros. El paciente lo entendió y firmó un consentimiento informado.
El paciente fue llevado al quirófano, donde lo colocaron sobre una mesa de quirófano bien acolchada. Se indujo anestesia general. Estaba girado en la posición lateral derecha para que el hombro estuviera levantado. El hombro izquierdo estaba preparado y colocado asépticamente de la manera habitual.
El hombro izquierdo se puso en abducción 40 grados y 10 grados de flexión. Se administraron antibióticos perioperatorios. El portal anterior se formó hacia atrás a través de un deporte suave en el hombro. Se alcanzó la articulación glenohumeral y se realizó la entrada en la puerta anterior mediante una aguja espinal. Se examinó la articulación glenohumeral.
El tendón subescapular, supraescapular, intraescapular y del bíceps estaban intactos. No hubo cambio artrítico en la articulación glenohumeral. Había deshilachados del labrum glenoideo, que se limpiaba con una maquinadora. No hubo una rotura particular del manguito rotador lateral. El alcance se introdujo en la región subacromial. Había bursitis presente.
La afeitadora se usaba para limpiar la bursitis. Había algo de espolón subacromial que se limpiaba usando broca y haciendo acromioplastia subacromial. Se examinó el manguito rotador y se encontró intacto. Se hicieron fotos. Había artritis en la articulación del aire condicionado.
Se tomó la decisión de la extirpación distal. La escisión clavicular distal se realizó utilizando la fresa desde la puerta posterior y la puerta anterior. Se extirpó un centímetro de clavícula distal. Se tomaron y guardaron las fotos finales.
El paciente regresó tras una semana de la operación, está bien, niega fiebre y tiene escalofríos. Lleva un cabestrillo en el hombro. Tras discutir las opciones de tratamiento, hemos decidido proceder con fisioterapia formal así como con un programa de ejercicios en casa para la rehabilitación del hombro.
Revisamos las imágenes artroscópicas y quitamos los puntos durante la visita de hoy. Seguiremos con hielo y elevación del hombro para reducir la hinchazón y el dolor. Reduciremos poco a poco cualquier medicamento narcótico y avanzaremos a antiinflamatorios y paracetamol, siempre que no haya contraindicaciones para estos medicamentos.
También hablamos sobre los riesgos, beneficios y efectos secundarios comunes de tomar estos medicamentos en la visita de hoy. El paciente seguía regularmente una visita a la consulta cada 3-4 semanas. El paciente se recuperó bien tras la cirugía y continuó la fisioterapia.
Aviso legal – El nombre, edad, sexo, fechas y eventos del paciente han sido modificados o modificados para proteger su privacidad.

