Se dice que el hombro humano tiene el mayor rango de movimiento de todo el cuerpo. Nuestros músculos del hombro nos permiten rotar, flexionar, extender y abducir.
Según la investigación, las lesiones más frecuentes en el hombro humano son desgarros del manguito rotador, hombros congelados e inestabilidad. Este artículo tratará sobre las roturas del manguito rotador. Una rotura del manguito rotador si no se trata podría suponer una pérdida de movilidad de por vida.
El paciente se queja de dolor en la zona lumbar, cuello y hombro izquierdo cuando llega a nuestra consulta. El paciente recuerda haber sufrido lesiones en un accidente de tráfico. El nivel del dolor varía desde muy intenso.
Según el paciente, el dolor es punzante, punzante, agonizante y abrasador. El dolor sigue y no me quita el sueño por las noches.
La molestia va acompañada de debilidad y dolor irradiado en la pierna izquierda. Los síntomas se agravan al estar de pie, levantar peso, descansar en la cama, agacharse y sentarse. El hielo y el reposo ayudan con los síntomas.
Desde el principio, el problema solo ha empeorado sin cambios. No ha podido trabajar desde el accidente.
No hay atrofia discernible de la cintura escapular en un examen del hombro izquierdo. No hay equimosis, abrasiones, laceraciones ni hinchazón de tejidos blandos. El rango activo de movimiento del hombro está restringido. La cantidad de rango de movimiento activo es limitada.
Puedo mover el brazo de forma pasiva casi completamente en todas las direcciones. El paciente muestra un signo de Hawkins y un pinzamiento claramente positivo. En la flexión hacia adelante y la abducción lateral, la fuerza del manguito rotador se reduce en 3/5.
Además, el paciente presenta debilidad en la rotación externa. La articulación no tiene ningún crujido. La articulación CA no puede palparse para generar dolor, y la aducción transversal no causa molestias.
La fuerza de las extremidades es comparable a la del lado contralateral y es 5/5 cuando se extienden bíceps, tríceps y muñeca. Los DTR son simétricos y están intactos a +2/4.
Existe un rango total de movimiento cervical y no hay molestias al palpar la musculatura paraespinal o el límite de la escápula medial. La indicación de Spurling es negativa.
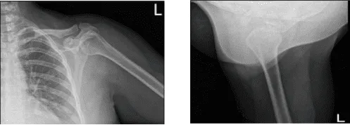
Se revisaron radiografías y se discutió que su hombro izquierdo mostraba radiografías normales. Aconsejamos al paciente que se hiciera una resonancia magnética para ver la causa y descubrimos una rotura de grosor parcial del tendón subescapular, aunque no hay desgarro de alto grado parcial o total del manguito rotador. Presencia de tendinosis supraespinosa e infraespinosa.

Radiografía del hombro izquierdo

Hablamos sobre tratamientos quirúrgicos y no quirúrgicos y el paciente acordó probar primero la inyección no quirúrgica, como la inyección de cortisona, elevación, reposo y la toma de antiinflamatorios de venta libre.
La paciente también añadió que busca un médico especializado en dolor. Pero tras unas semanas, la paciente volvió a nuestra consulta para recibir tratamiento no quirúrgico y ayudarla temporalmente.
El paciente optó por el manejo quirúrgico.
Hablamos sobre los riesgos y beneficios de la cirugía, incluyendo infecciones, no curación, necesidad de reparación, rehabilitación, posibilidad de disminución de resultados subóptimos, necesidad de repetir la cirugía, necesidad de rehabilitación y fisioterapia, necesidad de inyecciones de cortisona en el futuro, problemas sistémicos como lesiones en nervios y vasos adyacentes; problemas sistémicos que incluyen coágulos sanguíneos, complicaciones cardíacas, neurológicas, pulmonares e incluso la muerte.
El paciente lo entendió y firmó un consentimiento informado.
El paciente fue llevado al quirófano para recibir un bloqueo braquial. Se indujo anestesia durante todo el proceso. El hombro izquierdo del paciente estaba elevado mientras estaba posicionado lateralmente.
Un puff ocupaba la posición, y todas las protuberancias óseas estaban bien acolchadas. Detrás de la esquina posterolateral del acromión se realizó una incisión quirúrgica. La articulación glenohumeral fue penetrada con el endoscopio. Hubo un examen conjunto glenohumeral.
El agujero del labrum estaba presente. Las degeneraciones labrales se eliminaban afeitando. El labrum posterior presentaba degeneración, que se limpiaba afeitando. Había bursitis subacromial.
Con una afeitadora, se realizó una bursectomía exhaustiva. Se creó un portal lateral. El acromion estaba deshilachado y tenía una configuración tipo 2 (configuración curva).
Se decidió hacer acromioplastia. Tras limpiar con una varita térmica y una fresa, se realizó una acromioplastia. La articulación AC fue revisada tras una acromioplastia completa y se encontró degeneración. Se planeó la excisión de la clavícula distal. La clavícula distal se extrajo con una varita y luego una fresa.
Se le retiró el último centímetro de la clavícula distal. Se capturaron y almacenaron las imágenes finales. Se usó nylon #4-0 para el cierre. Tras ser extubado, el paciente fue trasladado a la zona de recuperación.
El procedimiento de vendaje implicaba el uso de cinta ABD Adaptic 4 x 4. Se aplicó un inmovilizador para el hombro al paciente.



Una semana después de la operación, el paciente llegó a la consulta para discutir las opciones de tratamiento. Hemos decidido continuar con fisioterapia formal así como un programa de ejercicio en casa para la rehabilitación de su hombro. Se retiraron los puntos.
La paciente continuará con el hielo y la elevación porque ayuda a su estado. El paciente seguía regularmente una visita a la consulta cada 3-4 semanas. El paciente se recuperó bien tras la cirugía y continuó la fisioterapia.
Aviso legal – El nombre, edad, sexo, fechas y eventos del paciente han sido modificados o modificados para proteger su privacidad.

