Se utiliza una forma de cirugía llamada reducción abierta y fijación interna (ORIF) para estabilizar y reparar huesos destrozados. Este tratamiento podría ser necesario para tratar una fractura de peroné o tibia. El hueso más grande de la pierna se llama tibia, o espinilla.
El peroné está situado junto a ella, algo fuera de la pierna. Algunas de las dolencias de sobreuso de rodilla más frecuentes son el síndrome patelofemoral (rodilla del ciclista), la tendinitis rotuliana y cuádriceps, el síndrome de plica medial y el síndrome de fricción de la banda iliotibial.
Una paciente de 51 años visitó nuestra consulta con quejas sobre su fractura del peroné izquierdo debido a un accidente de bicicleta. El paciente informa que estar de pie, caminar, levantar pesas, girar, empujar/tirar, lanzar, apoyar peso y hacer ejercicio empeoraron el dolor y también molestaron durante la noche.
En cuanto a los síntomas asociados, informa de debilidad, hormigueo, hinchazón, sensibilidad al tacto y dolor al moverse. Ella informa que el dolor en su izquierda es agudo y frecuente. En cuanto a la gravedad, ella informa de leve.
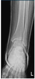
El paciente presentó un resultado de radiografía y el estado tras la aplicación externa de un yeso por fractura oblicua ligeramente desplazada de la fíbula distal.

Radiografía del tobillo izquierdo completa: 3 o más vistas
Hablamos sobre las opciones de tratamiento para el diagnóstico del paciente, que incluían opciones no quirúrgicas y quirúrgicas. También discutimos la naturaleza y el propósito de las opciones de tratamiento, así como los riesgos y beneficios esperados.
Informé al paciente sobre los riesgos inherentes e inevitables que incluyen, pero no se limitan a, anestesia, infecciones, daños en nervios y vasos sanguíneos, pérdida de sangre, coágulos e incluso la muerte, que se discutieron en detalle. También hablamos sobre la posibilidad de no poder volver a actividades o empleos anteriores, la necesidad de cirugías futuras y el síndrome de dolor regional complejo.
Hablamos de la posibilidad de no poder aliviar todo el malestar. Además, expliqué que no hay garantía de que toda la función y la resistencia vuelvan a funcionar. El paciente también comprende los riesgos de una nueva rotura o de no curar.
El paciente expresó comprensión de estos riesgos y ha decidido proceder con la cirugía. Se dedicó tiempo suficiente para las preguntas, de las cuales se respondieron muchas. Hemos hablado del procedimiento quirúrgico así como de las expectativas realistas respecto a los riesgos, el resultado y el protocolo postoperatorio.
La paciente fue llevada al quirófano, donde la colocaron sobre una mesa de operaciones bien acolchada. Se indujo anestesia general. Se aplicó un bulto de cadera en la parte trasera de la cadera. La extremidad inferior izquierda estaba preparada y colocada asépticamente de la manera habitual. Se aplicó torniquete. Me administraron antibióticos preoperatorios. El torniquete se infló a 300 mmHg.
Se planificó una incisión lateral sobre el maléolo lateral en la fíbula distal. Con una disección aguda, el hueso y la fractura quedaron expuestos. El lugar de la fractura fue abierto, limpiado e irrigado. La fractura fue reducida y sujetada con una pinza para langosta.
Se utilizaron dos tornillos interfragmentarios de 2,7 mm para comprimir la fractura. Se aplicó una placa lateral a través del malleolo lateral y la fíbula distal. La placa se fijaba al peroné usando una combinación de tornillos de bloqueo y de no bloqueo. La herida fue completamente irrigada.
La herida se cerró en capas usando #0 Vicryl, #2-0 Vicryl y #3-0 Monocryl. El aderezo se hizo usando Dermabond, 4 x 4 y Webril. Se aplicó una férula posterior y se aplicó una venda Ace. El paciente fue trasladado para recuperarse en estado estable.
El paciente fue atendido para una revisión postoperatoria. El paciente se recuperó bien tras la cirugía y continuó la fisioterapia. El paciente hizo un seguimiento después de un mes y ha notado una mejora significativa.
Aviso legal – El nombre, edad, sexo, fechas y eventos del paciente han sido modificados o modificados para proteger su privacidad.

