La espinilla (tibia) está cubierta por gruesas y elásticas bandas de cartílago llamadas meniscectomía medial y lateral. Estabilizan la rodilla y actúan como amortiguadores. El tamaño y la gravedad de las roturas del meniscopueden variar significativamente.
Para estabilizar y tratar las lesiones condrales, un procedimiento conocido como condroplastia consiste en eliminar colgajos inestables del cartílago y suavizar el cartílago degenerado.
Para curar específicamente los BML crónicos rellenándolos con una sustancia de reemplazo ósea, la subcondroplastia es una cirugía mínimamente invasiva. La deficiencia ósea se repara entonces reabsorbiendo gradualmente el hueso artificial y reemplazándolo por hueso sano.
La paciente, una mujer de 43 años, vino a la consulta con quejas de dolor en la rodilla derecha. El paciente ha recibido tratamiento conservador sin beneficios.
Una resonancia magnética reveló una ruptura del menisco medial, una fractura subcondilar y una microfractura del cóndilo femoral lateral. El cóndilo femoral lateral del paciente era extremadamente doloroso. El paciente no soportaba peso y, por tanto, no recibió ningún beneficio.
Discutimos alternativas de tratamiento y el paciente decidió la intervención quirúrgica. Revisamos riesgos y beneficios como infecciones, sangrados, falta de cicatrización, la necesidad de repetir la cirugía, la artritis de rodilla, la necesidad de rehabilitación y la necesidad de una prótesis futura, entre otras cosas.
También hablamos de problemas sistémicos como coágulos sanguíneos, consecuencias cardíacas, neurológicas y pulmonares como la muerte. El paciente comprendió y firmó un formulario de consentimiento informado.

MRI-3T Rodilla derecha sin contraste
El paciente fue llevado al quirófano y colocado sobre una mesa de operaciones bien acolchada. Se administró anestesia. Se utilizó un torniquete para detener la hemorragia. Se administró un antibiótico preoperatorio. Como es habitual, la extremidad inferior derecha se preparó y colocó asépticamente.
El torniquete había sido inflado. Se encontró que la faceta medial de la rótula presentaba lesiones osteoartríticas. Se creó un portal de entrada medial tras insertar el artroscopio en el compartimento medial.
El examen de ese compartimento medial reveló una lesión osteocondral antigua y cicatrizada estable en la parte lateral del compartimento femoral medial. No hubo desgarro del menisco medial.
Se encontró que el LCA estaba intacto cuando se examinó la muesca intercondilar. El cuerno posterior del menisco lateral fue desgarrado durante un examen del compartimento tibiofemoral lateral. Se usaban mordedores y afeitadores para desbridar el cuerno posterior del menisco lateral.
Se examinó de nuevo el compartimento patelofemoral y se desbridó una lesión osteoartrítica en la faceta medial de la rótula con una afeitadora. El artroscopio se insertó a través del portal medial y los hallazgos se reconfirmaron antes de almacenar las imágenes finales. El énfasis se centró ahora en la extirpación del cóndilo femoral lateral. Se utilizó un fluoroscopio en el experimento.
Se creó un orificio de perforación de unos 2,5 cm proximal y anterior a las superficies articulares inferior y posterior del cóndilo femoral bajo la guía de fluoroscopia. También se insertó unos 15 mm.
Se creó otro orificio de perforación en el cóndilo femoral lateral con una cánula similar de unos 0,5 cm proximal y anterior a la cánula anterior. Se obtuvieron imágenes en la vista AP y lateral y se consideraron buenas.
Se preparó cemento óseo de fosfato tricálcico, que se inyectó alrededor de 2,5 mililitros en cada cánula. Las imágenes de C-arm revelaron que el cemento solo estaba en el hueso.
El cóndilo femoral y la muesca intercondilar fueron examinados con un artroscopio y no se encontró cemento óseo extravasante. Se retiró la endoscopia de la rodilla y drenaron completamente la rodilla. Se dejó secar el cemento.
La cánula fue retirada cuando el cemento óseo llevaba más de 12 minutos en la colocación. La imagen final fue capturada con el fluoroscopio y conservada. La herida fue limpiada y la rodilla completamente drenada.
El cierre se hizo con nylon #3-0, y se inyectaron 9 cc de Depo-Medrol (40 mg) en la rodilla. Los materiales para el aderezo incluían 4 x 4, ABD, Webril y envoltorio ACE. Tras el procedimiento, el paciente debía utilizar muletas. El paciente fue extubado y trasladado a la sala de recuperación en estado estable.
Después de una semana, la paciente está aquí hoy para su visita postoperatoria. Se ha revisado la radiografía de la rodilla derecha. Toma vitamina D y calcio; Está trabajando con fisioterapia pero no le está ayudando. Su dolor no ha mejorado.
Optamos por continuar con la fisioterapia oficial así como con un régimen de entrenamiento en casa para la rehabilitación de rodillas tras analizar las opciones de tratamiento. Durante la visita, revisamos las imágenes de la artroscopia y retiramos los puntos. Seguiremos usando hielo y elevando la rodilla para reducir la hinchazón y el dolor.
Para limitar el riesgo de trombosis venosa profunda, seguiremos utilizando movilización temprana y profilaxis mecánica. Poco a poco los iremos retirando de cualquier medicamento narcótico y pasándolos a antiinflamatorios y paracetamol, siempre que no haya contraindicaciones.
También abordamos los riesgos y beneficios de tomar estos medicamentos, así como los efectos secundarios más frecuentes. El paciente regresará en tres semanas para evaluar su progreso.

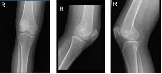
Rayos X de rodilla derecha, vistas AP laterales y oblicuas 3
Tras un mes, la paciente fue atendida para su visita postoperatoria. Toma vitamina D y calcio, ahora está trabajando con su fisioterapeuta. Ella es sin derechos y también usa muletas. Hablamos de opciones de tratamiento como fisioterapia, resonancia magnética, inyección y cirugía. Hemos acordado optar por una gestión conservadora por ahora.
Ha pasado otro mes desde que la paciente fue a la consulta postoperatoria. Ha mejorado mucho pero tiene una zona sensible en la rodilla.
El paciente decidió proceder con la inyección para reducir molestias y edemas tras conocer las opciones de tratamiento disponibles y los peligros. Se administraron 40 mg de depo-medrol y 2 inyecciones de lidocaína al 0,5% tras una preparación estéril en el punto gatillo de la rodilla derecha.
No hubo problemas y el paciente toleró bien el procedimiento. Las molestias post-inyección, el aumento de azúcar en sangre, la pigmentación de la piel, la atrofia grasa y los síntomas de infección estuvieron completamente tratados. Si se tolera, medicamentos antiinflamatorios de venta libre para las molestias.
La paciente que fue atendida en la consulta tras tres meses para su revisión de seguimiento, sigue tomando sus medicamentos como vitamina D y calcio y también está trabajando con su fisioterapeuta. Es FWB sin ayuda y le pusieron una inyección de cortisona durante un mes y mejoró su dolor.
Con revisiones regulares continuadas y fisioterapia, la paciente mejora gradualmente, con su visita de seguimiento mensual.
Aviso legal – El nombre, edad, sexo, fechas y eventos del paciente han sido modificados o modificados para proteger su privacidad.

