La rodilla puede mantener el cuerpo en posición vertical sin necesidad de músculos gracias a sus múltiples funcionalidades. permite que el cuerpo se suba y baje. proporciona seguridad.
El menisco lateral actúa como un absorbente de estrés significativo en la superficie lateral de la articulación de la rodilla. Esa es la principal razón por la que debemos prestar mucha atención a la salud de nuestras rodillas.
El paciente presenta dolor bilateral en la rodilla. Recordaba que el dolor empezó hace dos años. Ha hecho fisioterapia que no le ha ayudado. Luego estuvo en control del dolor y le puso una inyección de cortisona en ambas rodillas, lo que solo ayudó durante un mes.
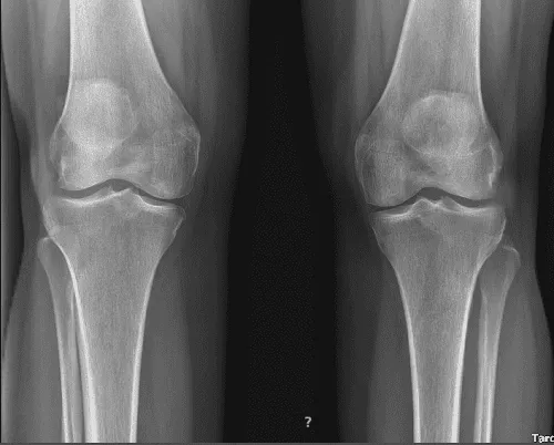
Toma paracetamol, que ayuda. El resultado de la radiografía se presentó hoy y mostró claramente que sus rodillas bilaterales presentan osteoartritis leve en el compartimento patelofemoral y un derrame articular pequeño.

Hablamos sobre opciones de tratamiento como fisioterapia, inyecciones e incluso cirugía. Por ahora, decidimos hacernos 3 resonancias Tesla para ambas rodillas. El paciente seguirá aplicando hielo/calor.
El paciente volvió a nuestra consulta una semana después de la visita inicial. Presenté radiografías bilaterales. La rodilla izquierda muestra pequeños defectos cartílagos de grosor total en la parte medial con el aspecto inferior de las facetas rotulianas laterales y edema subyacente parcheado de médula ósea subcondral.
Defectos de cartílago de pequeño espesor parcial en la cara troclear medial. Pérdida de cartílago de pequeño espesor parcial, aspecto central del cóndilo femoral medial con pequeño edema subcondral débil de médula ósea subyacente. Derrame articular pequeño y ligamentos cruzados y colaterales intactos.

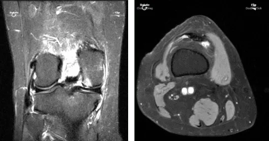
La resonancia magnética de la rodilla derecha mostró la siguiente impresión: defecto cartílago de grosor total, aspecto inferior de la faceta rotuliana lateral y pequeñas fisuras cartílagoas de grosor total de la faceta patuliana medial con edema subcondral de médula ósea.
Pequeña fisura cartílaga de grosor completo de la faceta troclear medial con pequeño edema subcondral subyacente. Defectos de cartílago de grosor pequeño y completo en el aspecto central del cóndilo femoral medial con edema subyacente subcondral de médula ósea subcondral. Derrame articular pequeño a moderado. Quiste poplíteo traza.

El paciente fue llevado al quirófano tras un consentimiento informado. Se indujo anestesia general. El muslo derecho se preparó y se colocó de forma aséptica de la manera habitual tras la aplicación del torniquete.
El torniquete se elevó a 300 mmHg tras la inyección de 2 gramos de Ancef como antibiótico preoperatorio. Se pidió un tiempo muerto. Se hizo un portal de entrada lateral y se accedió a un telescopio.
Se realizó un portal de acceso médico con el uso de una aguja espinal. El examen del compartimento tibiofemoral medial mostró deshilachamiento del margen libre lateral del menisco medial junto con desgarro de colgajo inferior del cuerpo del menisco medial.
Hubo daño osteocondral de grado 3 a 4 en la superficie portante del cóndilo femoral medial. El desbridamiento del menisco y del cartílago se realizó mediante una maquinadora.
La condroplastia por abrasión se realizó con una afeitadora, seguida de una microfractura del hueso desnudo con el uso del pico condral colocado sobre el cóndilo femoral. El examen de la muesca intercondilar mostró LCA intacto. El examen del compartimento tibiofemoral lateral mostró menisco y cartílago intactos.
El examen del compartimento patelofemoral mostró la deshilachada y el deshilachamiento del cartílago de la superficie inferior de la rótula, que se desbridó con el uso de afeitadora. La condroplastia por abrasión se realizaba con el uso de una maquinadora.
El artroscopio se insertó a través del portal de entrada medial y el afeitador se introdujo por el portal de entrada lateral, realizándose un nuevo desbridamiento del menisco y el cartílago. Se guardaron las fotos finales. La rodilla fue completamente irrigada y drenada. Se podía ver sangre saliendo de las zonas de microfractura. El cierre se hizo con el uso de nylon 3-0.
Luego, se inyectaron 30 mL de marcaína al 0,5% mezclados con 40 mg de Depo-Medrol en la rodilla. El aderezo se realizó con el uso de Adaptic, 4×4, ABD, Webril y Ace wrap. Se retiró el torniquete. El paciente fue extubado y trasladado a recuperación en estado estable.
Tras una semana, el paciente fue atendido para un chequeo postoperatorio. Ella niega fiebre y escalofríos. El dolor está bien controlado. Examen postoperatorio: Aspecto general: hinchazón y sensibilidad, herida limpia y seca, sin calor, rango de movimiento adecuado y neurovascular intacta.
Hablamos sobre opciones de tratamiento para una recuperación rápida, incluyendo el manejo conservador como la terapia RICE (reposo, hielo, compresión y elevación), inyección y fisioterapia.
Para entonces, el paciente decidió adoptar una actitud conservadora. Con visitas constantes cada cuatro semanas, la paciente experimentó una recuperación significativa de la cirugía y pudo volver a su rutina habitual.
Aviso legal – El nombre, edad, sexo, fechas y eventos del paciente han sido modificados o modificados para proteger su privacidad.

