La cirugía llamada condroplastia se utiliza para reemplazar y remodelar cartílago desgastado en las articulaciones. El cartílago degenerativo se suaviza durante todo el tratamiento y se recortan cualquier colgajo inestable del cartílago. Puede producirse una unión tardía o no cicatrizante de una fractura ósea si no se aborda.
El hueso no se cura en absoluto en el primer escenario; por lo tanto, seguirá fracturado. Por ello, la hinchazón, el dolor y las molestias irán a peor.
Un paciente de 34 años estaba en nuestra consulta con quejas relacionadas con dolor en el antebrazo izquierdo y la rodilla derecha debido a un accidente de tráfico. Tenía una fractura de cúbito, que había sido tratada de forma no quirúrgica.
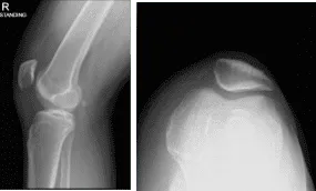
Ha estado quejándose de dolor de rodilla a pesar de un manejo conservador en forma de fisioterapia y medicamentos antiinflamatorios. El paciente presentó una radiografía de la rodilla derecha que no mostró cambios degenerativos significativos. No hay fracturas.

Radiografía de la rodilla derecha con rótula
Hablamos sobre las opciones de tratamiento para el diagnóstico del paciente, que incluían vivir con la extremidad tal cual, ejercicios organizados, medicamentos, inyecciones y opciones quirúrgicas. También hablé sobre la naturaleza y el propósito de las opciones de tratamiento, así como los riesgos y beneficios esperados.
Informé al paciente sobre los riesgos inherentes e inevitables que incluyen, pero no se limitan a, infección, rigidez, daño en nervios y vasos sanguíneos, pérdida de sangre que puede requerir transfusiones, coágulos sanguíneos, dolor persistente o empeoró, aflojamiento o fallo de implantes, inestabilidad, hormigueo o entumecimiento, anestesia y complicaciones sistémicas como cardíacas, pulmonares, neurológicas e incluso la muerte.
También hablé sobre la posibilidad de no poder volver a actividades o empleos anteriores, la necesidad de una cirugía futura y el síndrome de dolor regional complejo. El paciente también entiende que suele seguir al procedimiento quirúrgico un largo proceso de rehabilitación.
Hablé de la posibilidad de no poder aliviar todo el malestar. Además, expliqué que no hay garantía de que toda la función y la resistencia vuelvan a funcionar. Hablé sobre el tipo de implantes que podrían utilizarse durante esta cirugía. El paciente expresó comprensión de estos riesgos y ha decidido proceder con la cirugía.
Hablé sobre la medicación y alergias del paciente y la posible necesidad de autorizaciones médicas y de otro tipo si fuera necesario. He hablado sobre el procedimiento quirúrgico así como sobre las expectativas realistas respecto a los riesgos, el resultado y el protocolo postoperatorio.
El paciente fue llevado al quirófano donde se le indujo anestesia general. La rodilla derecha se preparó y se colocó de forma aséptica de la manera habitual tras la aplicación del torniquete en la parte baja del muslo y el pie en la pinza en C. El torniquete estaba elevado.
Se utilizaron unos 31 minutos de torniquete para la cirugía. Ya se administraron antibióticos preoperatorios antes de la inflación del torniquete. La incisión lateral anterior del portal se realizó a través de la región parapatelar. Se insertó un artroscopio.
La entrada médica se realizó mediante el uso de una aguja y cuchilla espinal. El examen del compartimento tibiofemoral medial mostró cartílago y menisco intactos. El examen de la muesca intercondilar mostró intacto, pero deshilachado y degenerado el LCA. Había un colgajo desgarráneo en el margen anterior del menisco lateral.
Se usaba una afeitadora para desbridar el menisco y realizar la meniscectomía. El examen del resto del compartimento tibiofemoral lateral mostró cartílago intacto del menisco. El examen del compartimento patelofemoral mostró cambios de grado 1 sobre la tróclea y la rótula.
Había una lesión osteocondral de grado 2 en la rótula, que se desbridó con el uso de una afeitadora. El resto de la rodilla estaba intacto. La rodilla fue completamente irrigada y drenada. Todas las fotos se salvaron.

Imágenes de artroscopia intraoperatoria
El cierre se hizo con el uso de nylon 3-0. Después, se inyectaron 20 mL de marcaína al 0,5% mezclados con 40 mg de Depo-Medrol en la rodilla. El apósito se utilizó con Xeroform, Adaptic, 4×4, ABD, Webril y Ace wrap. El torniquete estaba desinflado.
El paciente fue enviado a recuperación en estado estable. El paciente fue atendido para un chequeo postoperatorio. Hemos decidido realizar fisioterapia formal así como un programa de ejercicios en casa para la rehabilitación de la rodilla. Los pacientes seguían regularmente una visita a la consulta cada 3-4 semanas.
El paciente se recuperó bien tras la cirugía y continuó la fisioterapia. El paciente se registró para una visita de seguimiento después de un mes y notó una mejora significativa en la rodilla.
Aviso legal – El nombre, edad, sexo, fechas y eventos del paciente han sido modificados o modificados para proteger su privacidad.

