La paciente está en nuestra consulta, con quejas de dolor bilateral en la rodilla , pero se queja de que el dolor más fuerte izquierdo es el que más le duele. El dolor empezó hace más de una semana. La paciente recuerda una lesión en una caída, en la que su pie derecho quedó atrapado en el hormigón y tropezó.
El paciente fue a urgencias después. El dolor está asociado a hinchazón, hematomas, entumecimiento, hormigueo y dolor irradiado. El dolor empeora desde el día que empezó. El hielo y el tramadol ayudan, pero solo temporalmente.
Al examinar la rodilla derecha e izquierda, el paciente es sensible a la palpación a lo largo del cóndilo tibial medial y la línea articular. El paciente siente molestias con las maniobras de McMurray y la rodilla está estable.
No tienen flexión completa secundaria al derrame, pero sí tienen extensión total. Tienen una fuerza de 5/5 y están neurovascularmente intactas distalmente. No hay eritema, calor ni lesiones cutáneas presentes.
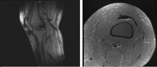
Los resultados de las radiografías presentados y revisados mostraron que no existen enfermedades degenerativas. Aconsejaron al paciente que se sometiera a una resonancia magnética y descubrí que hay edema subcutáneo tanto anterior como anteromedial.
Sospecha de desgarro en el cuerno posterior del menisco medial. Hay una señal oblicua muy tenue que parece extenderse hasta la superficie articular inferior. Se observó una ruptura parcial del LCP proximal y también se observaron condromalacia leve de rótula y bursitis infrapatelara profunda.

Radiografía de la rodilla izquierda completa con rótula

MRI-3T Rodilla Izquierda sin contraste
Hablamos sobre las opciones de tratamiento y optamos por el tratamiento de la rodilla derecha, así como bursitis anserina por pes y bursitis trocantérica del lado derecho. También ha planeado operarse del hombro izquierdo en el futuro.
Hablamos sobre las opciones de tratamiento y planeamos realizar un examen artroscópico y cirugía de la rodilla izquierda, así como una inyección de cortisona en la extremidad inferior derecha.
Hablamos sobre riesgos, complicaciones y beneficios, incluyendo infecciones, hemorragias, lesiones en nervios y vasos adyacentes, recurrencia de desgarros, necesidad de repetir cirugías, necesidad de cortisonas en el futuro, necesidad de rehabilitación, problemas sistémicos como coágulos sanguíneos, problemas neurológicos, pulmonares y cardíacos, entre otros. El paciente estuvo de acuerdo y firmó un consentimiento informado.
La paciente fue llevada al quirófano, donde la colocaron sobre una mesa de quirófano bien acolchada. La extremidad inferior izquierda estaba preparada y colocada de forma aséptica. Se pidió un tiempo muerto. Se administraron antibióticos preoperatorios. El torniquete estaba inflado.
Se realizó un portal de entrada lateral y se introdujo el telescopio. Había ____ en la rótula así como en el cóndilo femoral medial, que tras hacer un portal medial, se limpiaba artroscópicamente con una afeitadora.
El examen del menisco medial mostró una rotura del cuerno anterior del menisco medial, que estaba limpia. La muesca intercondilar mostraba un LCA intacto. El examen del compartimento tibiofemoral lateral fue normal.
Tras un riego exhaustivo, se guardaron las fotos finales y se cerró la herida. Luego, se inyectaron 40 mg de Depo-Medrol en la rodilla izquierda tras la cirugía.
Antes del inicio de la cirugía de rodilla izquierda, se inyectaron 40 mg de Depo-Medrol mezclados con 3 cc de ropivacaína en la bursa de anserina del pes derecho, la articulación de la rodilla derecha y el trocánter derecho. Se le realizó un vendaje de la rodilla izquierda, se extubó al paciente y se trasladó a la preoperatoria en condición estable.



Después de una semana atendiendo pacientes, ha ido mejorando en cuanto al dolor y la inflamación. Cojea y ha estado usando muletas para caminar. Niega fiebre, escalofríos, relesión. A las dos semanas de la operación, las incisiones cicatrizan bien, sin indicios de drenaje, eritema o calor.
Hay un rango completo de movimiento sin molestias. Hemos decidido realizar fisioterapia formal así como un programa de ejercicios en casa para la rehabilitación de la rodilla.
El paciente seguía regularmente una visita a la consulta cada 3-4 semanas. El paciente se recuperó bien tras la cirugía y continuó la fisioterapia.
Aviso legal – El nombre, edad, sexo, fechas y eventos del paciente han sido modificados o modificados para proteger su privacidad.

