El hombro humano es conocido como el rango de movimiento más extenso del cuerpo humano. Nuestros músculos en los hombros nos ayudan a abducir, aducir, flexionar, extender y rotar.
Según la investigación, hay tres lesiones comunes en el hombro humano: inestabilidad, hombro congelado y la más popular es el desgarro del manguito rotador. En este artículo se abordarán las roturas del manguito rotador. Sin tratamiento, la rotura del manguito rotador puede provocar una pérdida permanente de movimiento.
El paciente está en nuestra consulta, con quejas de hombro. El dolor empezó hace más de una semana. La paciente recuerda una lesión en una caída, en la que su pie derecho quedó atrapado en el hormigón y tropezó. El paciente fue a urgencias después.
El dolor está asociado a hinchazón, hematomas, entumecimiento, hormigueo y dolor irradiado. El dolor empeora desde el día que empezó. Hemos estado tratando el hombro izquierdo de forma conservadora, pero no hemos tenido alivio.
Al examinar la columna cervical, el paciente es sensible a la palpación sobre la musculatura paraespinal. No tienen sensibilidad en los procesos espinosos y no tienen crepitación con rango. El rango de movimiento de la columna vertebral es limitado debido a las molestias. Tienen un test de Spurling negativo.
Se sientan con el escapulario prolongado y deprimido. Son sensibles a la palpación sobre el trapecio y los romboides. No son sensibles a la palpación sobre clavícula y codo. No hay hinchazón de tejidos blandos ni equimosis.
El paciente tiene todo el rango de movimiento de los hombros. Los hombros son estables en los exámenes. Tienen una fuerza de 5/5 y están neurovascularmente intactas distalmente. No hay eritema, calor ni lesiones cutáneas presentes.
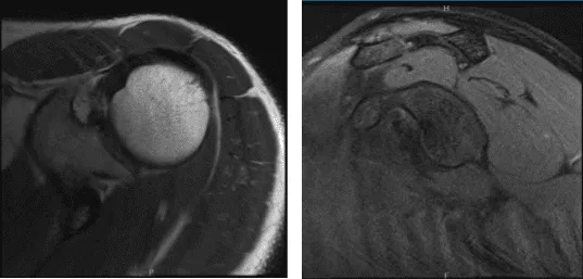
Se presentaron y discutieron radiografías del hombro izquierdo y mostraron radiografías normales del hombro izquierdo. Recomendó al paciente que se sometiera a una resonancia magnética para ver la causa del dolor. Descubrí que hay muy poca osteoartritis articular AC. No se visualiza ningún entesófito subacromial. También se notó una leve tendinosis del manguito rotador.

Radiografía del hombro izquierdo

MRI-3T Hombro Izquierdo sin contraste
El paciente optó por el manejo quirúrgico.
Hablamos sobre los riesgos y beneficios de la cirugía, incluyendo infecciones, no curación, necesidad de reparación, rehabilitación, posibilidad de disminución de resultados subóptimos, necesidad de repetir la cirugía, necesidad de rehabilitación y fisioterapia, necesidad de inyecciones de cortisona en el futuro, problemas sistémicos como lesiones en nervios y vasos adyacentes; problemas sistémicos que incluyen coágulos sanguíneos, complicaciones cardíacas, neurológicas, pulmonares e incluso la muerte.
El paciente lo entendió y firmó un consentimiento informado.
El paciente fue trasladado al quirófano donde se le aplicó un bloqueo braquial. Se indujo anestesia general. El paciente fue colocado en posición lateral con el hombro izquierdo hacia arriba. La posición estaba sostenida por un puf y todas las protuberancias óseas estaban bien acolchadas.
Se realizó una incisión quirúrgica detrás de la esquina posterolateral del acromión. El endoscopio se introdujo en la articulación glenohumeral. Se realizó un examen de la articulación glenohumeral. Había un agujero del labrum. Había degeneraciones labreales, que se afeitaban.
Hubo degeneración del labrum posterior que se limpió con afeitado. Había bursitis subacromial. La bursectomía exhaustiva se hizo con una afeitadora. Se construyó un portal lateral. El acromion se deshilachó junto con una configuración curva (tipo 2).
Se tomó la decisión de realizar una acromioplastia. La acromioplastia se realizó tras la limpieza con una varita térmica y luego la colocación de una fresa. Tras una acromioplastia exhaustiva, se examinó la articulación AC y se encontró degeneración. Se planeó la escisión distal de la clavícula. La escisión distal de la clavícula se realizó con una varita seguida de una bura.
Se extirpó aproximadamente un centímetro de clavícula distal. Se tomaron y guardaron las fotos finales. El cierre se realizó con el nylon #4-0. El paciente fue extubado y trasladado a la unidad de recuperación. El avestimiento se realizó usando cinta Adaptic, 4 x 4, ABD. El hombro del paciente fue colocado en un inmovilizador de hombro.

Una semana después de la operación, un paciente acudió a la consulta para hablar sobre las opciones de tratamiento. Hemos decidido continuar con fisioterapia formal así como con un programa de ejercicios en casa para la rehabilitación de su hombro.
Se retiraron los puntos. La paciente continuará con el hielo y la elevación porque ayuda a su estado. El paciente seguía regularmente una visita a la consulta cada 3-4 semanas. El paciente se recuperó bien tras la cirugía y continuó la fisioterapia.
Aviso legal – El nombre, edad, sexo, fechas y eventos del paciente han sido modificados o modificados para proteger su privacidad

