Una lesión en el menisco medial, un fragmento de cartílago en la parte interna (parte interna) de la rodilla, se conoce como desgarro del menisco medial. Con mayor frecuencia que las lesiones del menisco lateral, las lesiones del menisco medial pueden causar bloqueo, atrapamiento o pandeo, así como dolor, rigidez y edema.
La paciente es una mujer de 48 años con dolor en la rodilla derecha y la cadera derecha. Ha engordado últimamente. Trabaja como química en Este Lauder. Tras discutir las opciones de tratamiento y los riesgos de la inyección, el paciente quiso proceder con la inyección para reducir el dolor y la hinchazón.
Tras una preparación estéril, se inyectaron 7 cc de lidocaína al 1% y 80 mg de depo-Medrol en la bursa trocantérica de la cadera derecha. El paciente toleró bien el procedimiento y no hubo complicaciones. Se discutieron en detalle el dolor post-inyección, el aumento de la glucosa en sangre, la decoloración de la piel, la atrofia grasa y los signos de infección.
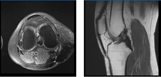
Se revisaron y debatieron las resonancias magnéticas; Ligamentos colaterales: El ligamento colateral medial está intacto. El ligamento colateral lateral, el tendón del bíceps femoral, la banda iliotibial y el tendón poplíteo están intactos.
Ligamentos cruzados: Los ligamentos cruzados anterior y posterior están intactos. Meniscos: Desgarro oblicuo periférico en el cuerpo y en el cuerno posterior del menisco medial. El menisco lateral está intacto. Cartílago: Las superficies condrales en el compartimento medial están intactas. Las superficies condrales en el compartimento lateral están intactas.
Fisura condral focal en la faceta patuliana medial. Hueso: Las estructuras óseas visualizadas muestran una intensidad normal de la médula ósea y la señal cortical, sin evidencia de fractura, lesión ósea trabecular o luxación. No se identifican lesiones óseas.
Mecanismo extensor: Los tendones del cuádriceps y la rótula están normales. Articulación: Pequeño derrame articular. Por lo demás, los tejidos blandos son normales. Las estructuras neurovasculares muestran un curso normal. Presenta una impresión: desgarro oblicuo periférico en el cuerpo y el cuerno posterior del menisco medial. Fisura condral focal en la faceta de rótula medial. Pequeño derrame articular.
Con el paciente, se revisaron muchas opciones de tratamiento, incluyendo quirúrgicas y no quirúrgicas. El paciente decidió operarse. Hablamos sobre los peligros y beneficios, incluyendo los relacionados con infecciones, sangrados, daños en los nervios y vasos sanguíneos, rigidez, la necesidad de rehabilitación, fallos quirúrgicos, cirugías adicionales, artritis y otros problemas. El paciente firmó el permiso de cirugía después de entenderlo.

Resonancia magnética de rodilla derecha sin contraste
El paciente fue llevado al quirófano y colocado sobre una mesa de operaciones bien acolchada. Le administraron anestesia general. El paciente estaba inconsciente. Con la ayuda de 15 cc de lidocaína al 2% combinada con.
Se administró un 5% de marcaína y epinefrina, un bloqueo intraarticular. La extremidad inferior derecha estaba preparada y cubierta con una cortina. Era hora de un tiempo muerto. Se administraron antibióticos antes de la cirugía.
Se utilizó un cuchillo afilado para hacer una incisión lateral en la porta. Se utilizó una aguja espinal y un cuchillo para crear un portal medial. Al examinar el compartimento medial, se observaba una ruptura vertical y casi completa en la Zona 3 que rodeaba el cuerpo del menisco.
Para realizar una meniscectomía parcial, se usaron mordedores y una afeitadora. La porción portadora del cóndilo femoral medial presentaba una lesión de grado III a grado IV, de aproximadamente 1 cm de diámetro, según un examen de cartílago.
Con la ayuda de una afeitadora, se desbridó y luego se utilizó la afeitadora para realizar una condroplastia por abrasión. El examen de muesca infrapatela reveló un LCA intacto. El menisco y el cartílago en el compartimento femoral lateral estaban en buen estado.
Cuando se extirpó la tróclea, un examen delcompartimento patelofemoral revelóalteraciones artríticas de grado I. La estructura articular de la rótula permaneció sin cambios.
Estaba irrigado en la rodilla. Se utilizó nylon 3-0 para el cierre. Se inyectaron 40 mg de Depo Medrol y 9 cc de Marcaína al 0,5% en la rodilla. El vendaje se realizó con ACE, 4 x 4, ABD y envoltura Webril. Tras el tratamiento, el paciente fue trasladado a la zona de recuperación en estado estable.

Imágenes intraoperatorias
Tras una semana, la paciente es atendida en la consulta para la consulta postoperatoria, su dolor está bien controlado, niega fiebre o escalofríos. Tras discutir las opciones de tratamiento, hemos decidido proceder con fisioterapia formal así como con un programa de ejercicio en casa para la rehabilitación de la rodilla.
Repasamos las imágenes artroscópicas y retiramos los puntos durante la visita. Continuaremos con hielo y elevación de la rodilla para reducir la hinchazón y el dolor. Seguiremos utilizando la movilización temprana y la profilaxis mecánica para reducir las probabilidades de una trombosis venosa profunda.
Reduciremos poco a poco cualquier medicamento narcótico y avanzaremos a antiinflamatorios y paracetamol, siempre que no haya contraindicaciones para estos medicamentos. También hablamos sobre los riesgos, beneficios y efectos secundarios comunes de tomar estos medicamentos. El paciente volverá en tres semanas para evaluar su progreso.
Después de un mes, la paciente está aquí hoy para su revisión de seguimiento, el dolor está bien controlado. Niega fiebre y escalofríos. Había estado haciendo fisioterapia en casa y mejorando hasta las 3 semanas postoperatorias, cuando empezó a tener dolor en la rodilla externa y en el tobillo externo derecho. El dolor en la cadera derecha también está empeorando ahora.
Ahora ha empezado fisioterapia. Ha pasado otro mes, la paciente acude a la consulta postoperatoria, el dolor de rodilla está bien controlado, ha negado la fiebre o los escalofríos, pero ahora el dolor en ambas caderas empeora. Sin embargo, ha estado trabajando con su fisioterapia y el dolor de rodilla ha mejorado.
Tras discutir las opciones de tratamiento y los riesgos de la inyección, el paciente quiso proceder con la inyección para reducir el dolor y la hinchazón. Tras una preparación estéril, se inyectaron 7 cc de lidocaína al 1% y 80 mg de depo-medrol en la bursa trocantera derecha e izquierda.
El paciente toleró bien el procedimiento y no hubo complicaciones. Se discutieron en detalle el dolor post-inyección, el aumento de la glucosa en sangre, la decoloración de la piel, la atrofia grasa y los signos de infección. Se indicó al paciente que nos contactara si había alguna pregunta o preocupación antes de la cita de seguimiento.
El paciente se portó bien tras la cirugía, y de vez en cuando va a sus visitas va mejorando poco a poco. A través de visitas regulares y fisioterapia continua, el paciente se recuperó y se recuperó.
Aviso legal – El nombre, edad, sexo, fechas y eventos del paciente han sido modificados o modificados para proteger su privacidad

