Un hombre de 66 años presenta dolor crónico en la rodilla izquierda que comenzó aproximadamente en 2013. El paciente se sometió a una artroscopia previa de la rodilla izquierda realizada en 1983, que proporcionó alivio durante unos 20 años.

El dolor de los pacientes volvió hace aproximadamente un año, lo que le obligó a someterse a opciones no quirúrgicas, incluyendo sesiones de fisioterapia y una serie de inyecciones de cortisona que proporcionaron alivio temporal.
El paciente inicialmente quería retrasar la somisión de una TKA, pero el dolor aumentó significativamente. El dolor en la rodilla empezó a afectar su capacidad para realizar tareas en el trabajo y en casa; el paciente declaró molestias absolutas por la noche al dormir o descansar, al bajar o subir las escaleras de la casa y problemas para entrar y salir de la cama. Le costaba cada vez más levantar la pierna.
No se observaron otras enfermedades y en general eran personas sanas. El paciente estuvo en general emocional y lloró durante la evaluación inicial y las visitas posteriores a la consulta antes de la intervención quirúrgica. A pesar de la ansiedad y las emociones del paciente, él se mantuvo muy motivado.
Era gerente de banco y su trabajo requería pasar mucho tiempo sentado, de pie y caminando. Se sintió motivado para volver al trabajo. Actualmente estaba trabajando en un HEP proporcionado por su fisioterapeuta. Pudo describir su HEP en detalle y realizó ejercicios correctamente, demostrando su cumplimiento.
Su HEP consistió en ejercicios isométricos de cuádriceps, isquiotibiales y glúteos, un estiramiento de flexión de rodilla sentado y un colgamiento de rodilla supina. Se indicó al paciente que continuara con su HEP además del nuevo programa HEP que le administraría en fisioterapia ambulatoria. Las pruebas prequirúrgicas revelaron cambios degenerativos osteoartríticos moderados.


El paciente se sometió a una artroplastia de rodilla total izquierda utilizando un implante personalizado. Durante el procedimiento, su cirujano observó que ya había osteoartritis avanzada. Se utilizó un enfoque parapatelar medial, se colocó la guía de resección tibial tras la exposición de la tibia y se realizó y revisó la resección tibial.
Luego se centró la atención en el fémur y se realizó el corte distal con un jig. Los cortes de bisellón anteroposteriores se realizaron entonces utilizando las guías de corte correspondientes. Se realizó el corte de muesca. Se usaron separadores laminares tanto en la medial como en la lateral, y el resto del menisco y el cruciado se dividieron después.
Se preparó la tibia junto con un equilibrio de huecos que se convirtió en rótula, permitiendo la resección de la rótula y se colocó la rótula de prueba. Se colocó el fémur de prueba en su posición, seguido de la prueba de tibia y poli. La rodilla fue probada mediante un rango de movimiento completo.
La estabilidad rotuliana fue excelente. A partir de entonces, se obtuvo el rango completo de la rodilla. Componentes de prueba eliminados. El fémur se cementó en su posición y luego se retiró el exceso de cemento. Poly colocado en posición. La rodilla se redujo y se mantuvo en extensión total con un bulto bajo el tobillo.
La rótula se consolidó en posición. El exceso de cemento se retiraba y se sujetaba con una pinza rotuliana. La abrazadera se retiraba después de endurecer el cemento. Se administró un lavado y una inyección exhaustiva. La artrotomía parapatela medial se cerró y el resto de la herida se cerró en capas.
Luego se aplicó un apósito estéril sobre la herida. Se bajó el torniquete y el paciente fue trasladado a la unidad de cuidados postoperatorios en estado estable. El paciente fue dado de alta de la unidad postoperatoria tras 28 horas. El paciente no tuvo complicaciones con la anestesia o recuperación.


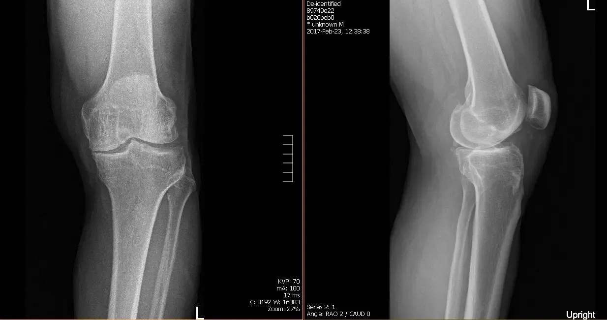
Las radiografías postoperatorias revelaron que el fémur distal, la rótula, la tibia proximal y el peroné proximal muestran márgenes corticales intactos sin fractura aguda. Su herida fue inspeccionada, sin signos claros de infección. Me quitaron las grapas.
El pronóstico del paciente fue bueno gracias a la cirugía exitosa y sencilla, cumplió con el programa postoperativo de HEP junto con los servicios estándar de fisioterapia ambulatoria.
El paciente soporta el peso según lo tolerado, con gran flexión, extensión y amplitud de movimiento (ROM). Hubo una leve rigidez de rodilla asociada a la artroscopia, pero el dolor se incrementó en 3/10 en la evaluación de seguimiento a las 6 semanas.
En la evaluación de los 3 meses, el paciente presentó rango de movimiento completo, carga total de peso y un nivel de dolor escalado en 0/10. Los servicios de fisioterapia de los pacientes se concluyeron con excelentes resultados. Los pacientes afirmaron que su calidad de vida había mejorado significativamente y ahora puede moverse mucho mejor que él incluso después de su procedimiento original.
Las tareas de los pacientes en casa y en el trabajo se realizan con facilidad. El uso de las extremidades inferiores es excelente y no requiere dispositivos de ayuda, puedo entrar y salir de la cama sin ayuda y subir y bajar escaleras sin ningún dolor. El paciente no esperaba poder volver a las actividades de la vida diaria con éxito óptimo; afirmó que hemos superado sus expectativas en cuanto a la Artroscopía de Rodilla Izquierda Total.

