Un banquero jubilado se presentó a nuestra oficina con un dolor de rodilla derecha que empeoraba. El dolor se notó por primera vez hace 6 meses, cuando paseaba a su perro. El dolor empeoró y le alteró el sueño. Hace unos 5 años otro médico le hizo un reemplazo parcial de rodilla por osteoartritis del compartimento medial de la rodilla.
El dolor se describió como una molestia sorda que no se irradiaba. La intensidad del dolor se describió como intensa en las actividades y moderada en reposo. El dolor era especialmente peor en actividades como caminar, levantarse de una silla, subir escaleras, agacharse, arrodillarse, girar y girar. Negó cualquier caída o trauma asociado.
Actualmente estaba tomando medicamentos para el dolor de venta libre. Negó cualquier historial reciente de fiebre o enrojecimiento en la rodilla. Se quejaba de rigidez excesiva durante periodos prolongados de descanso. Actualmente, el dolor limitaba severamente sus actividades diarias. Actualmente vivía con su hija, que le acompañaba en la visita al médico.
Él era un exfumador que dejó hace 10 años. Negó cualquier alergia conocida a los medicamentos. Actualmente estaba tomando medicación para el hipotiroidismo, el asma y la hipertensión. Todos sus problemas médicos estaban bien controlados con medicación. Además de la prótesis unicondílar de rodilla, se sometió a una reparación laparoscópica de una hernia hace 2 años y a una cirugía artroscópica de hombro hace un año.
En el examen físico, hubo una leve hinchazón en la rodilla derecha. No hubo aumento de la temperatura local. La incisión cutánea de la cirugía anterior estaba bien curada. La marcha del paciente era antálgica con una fase de postura reducida en el lado derecho. Había sensibilidad en las líneas articulares medial y lateral.
Había ternura en las facetas rotulianas. La prueba de esfuerzo de valgo y varo a 0 grados, 30 grados y 60 grados fue negativa. El dibujón anterior, posterior y la prueba de Lachman también dieron negativo. Todo el arco de movimiento era doloroso. El rango oscilaba entre 10 y 110 grados.
El examen de la rodilla izquierda, las caderas bilaterales y los tobillos fue normal. No había déficit neurológico distal. Los pulsos bilaterales en las extremidades inferiores fueron palpables y comparables. No había disfunción intestinal ni de vejiga. Los reflejos tendinosos profundos de la extremidad inferior estaban presentes y eran comparables.
Le recomendaron una aspiración de rodilla para la tinción de Gram, sensibilidad al cultivo y bioquímica. También se le recomendaron análisis de sangre en forma de HB, TLC, DLC, ESR y CRP (cualitativa y cuantitativa).
Las pruebas de aspiración de rodilla dieron negativo para infección. Los análisis de sangre descartaron cualquier infección activa. Los estudios de imagen revelaron el fracaso de la prótesis de rodilla unicóndila. Se le recomendó realizar una cirugía de revisión en forma de reemplazo total de rodilla. Se discutieron extensamente con el paciente los riesgos, beneficios y alternativas. El paciente estuvo de acuerdo con el plan.


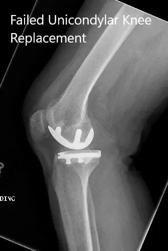
Radiografía preoperatoria de la rodilla derecha en vistas anteroposterior y lateral
DIAGNÓSTICO PREOPERATORIO: Reemplazo unilateral medial de rodilla fallido.
IMPLANTE UTILIZADO: Componente tibial tamaño 2 con extensión del tallo de 13 mm x 100 mm de longitud y talla 2. Aumento medial de 5 mm con polietileno flexible de 17 mm con rótula de 32 mm, espesor B,5 mm, con componente femoral flexible tamaño C.
PROCEDIMIENTO: El paciente fue llevado al quirófano tras obtener el consentimiento informado y firmar el lugar quirúrgico correcto. Los riesgos. beneficios. y las alternativas se discutieron extensamente con el paciente antes del procedimiento. El paciente comprende el mayor riesgo de revisión quirúrgica de la rodilla.
El paciente fue colocado de forma definitiva y la extremidad inferior derecha fue colocada y preparada de forma estéril habitual. El torniquete se colocó sobre el muslo derecho. Se realizó un tiempo fuera. Se administraron antibióticos, se usó el Esmarch y luego se elevó el torniquete.
La incisión anterior se utilizó para la artrotomía. Se extendió proximal y distalmente. Se incisionaron la piel y los tejidos subcutáneos. A continuación, se realizó una artrotomía parapatela medial. Se eliminó el tejido cicatricial.
Luego se reparó la tibia. El componente estaba suelto y fue retirado. Se perforó la tibia y luego se realizó la resección en la tibia hasta el hueso fresco.
Entonces se dimensionó la tibia y se decidió colocar un aumento de 5 mm en el lado medial. Luego se preparó la tibia. La atención se centró entonces en el fémur. A continuación, se eliminó el componente de la unidad femoral. Los cortes distales y de muestra se realizaron en el fémur.
Luego se preparó el corte de muesca. Se utilizaron separadores laminares medial y lateral, y luego se desbridaron las partes cruzadas y menisco mediales y laterales. La distancia estaba equilibrada en flexión y extensión.
Después, la atención se centró en la rótula tras la extracción del tejido cicatricial. A continuación, se realizó la escisión de la rótula y se colocó la rótula de prueba en su posición. Se colocó el fémur de prueba. Se colocó la tibia de prueba y se colocó el poli de prueba. La rodilla se probó entonces en un rango completo de movimiento. El seguimiento de la rótula fue bueno. La rodilla estaba estable en todo el rango de movimiento.
Luego se retiraron los componentes de la prueba. El fémur estaba cementado en su posición. La tibia estaba cementada en su posición. Luego se colocó poliuretano en posición y la rodilla se mantuvo en extensión total con un bulto bajo el tobillo. La rótula fue cementada en posición y sujeta con una pinza rotuliana. Luego se retiró el exceso de cemento.
Después de que el cemento se endureciera. La rodilla fue nuevamente puesta a prueba y se consideró que estaba floja, tanto en flexión como en extensión. Posteriormente, se probó la rodilla con poliuretano de 17 mm y se encontró estable en flexión y extensión fisiológica. El tamaño de poli anterior era de 12 mm.
El nuevo tamaño de poliuretano era de 17 mm. Se obtuvo la extensión completa y la flexión total con la rodilla. Se administró un lavado exhaustivo. La inyección se aplicó para controlar el dolor. La artrotomía parapatelara medial se cerró con Vicryl.
Los tejidos cutáneos se cerraron con el Vicryl #0. los tejidos subcutátiles se cerraron con 2-0 Vicryl y la piel se cerró con Monocryl. Luego se aplicó un apósito estéril sobre la herida. El paciente fue trasladado entonces a la unidad de cuidados postoperatorios en estado estable.


Radiografía postoperatoria que muestra las vistas lateral y anteroposterior de la rodilla derecha.
Los signos vitales postoperatorios se mantuvieron estables y pudo caminar el mismo día de la cirugía. Su dolor se controló con medicación y le recetaron aspirina para la profilaxis de trombosis venosa profunda. La fisioterapia y programas de ejercicio en casa recomendó al paciente aumentar la flexibilidad y fortalecer los músculos.
Se examinaron las suturas para asegurarse de que estuvieran limpias, secas e intactas. Tres meses después de la operación mostró un rango completo de movimiento de la rodilla derecha sin dolor. Volvió a estar activo y expresó satisfacción por los resultados del procedimiento. Realizaba todas sus actividades diarias con facilidad.
Aviso legal – El nombre, edad, sexo, fechas y eventos del paciente han sido modificados o modificados para proteger su privacidad.

