Un hombre de 40 años se presentó en nuestra consulta con quejas de dolor en la rodilla izquierda durante los últimos 5 años. El paciente declaró que sufrió una lesión en la rodilla izquierda jugando al fútbol hace 11 años, por la cual fue gestionado de forma conservadora. Posteriormente recibió múltiples inyecciones en la rodilla y se sometió a fisioterapia, pero solo con alivio temporal.
El paciente trabaja como soldador en una empresa de construcción. Su trabajo implica doblarse, arrodillarse y girar con frecuencia. Recientemente, desde hace un año, el dolor había limitado su producción laboral. Experimentaba dolor moderado a intenso al caminar, estar mucho tiempo de pie y hacer actividades que le obligaban a doblarse o arrodillarse.
Además, no podía jugar con niños ni sacar a pasear a su perro desde hace unos meses. El paciente no fumaba y tenía antecedentes médicos de hipertensión y depresión, ambos bien controlados con medicación. Su historial quirúrgico anterior incluía una apendicectomía y una colecistectomía laparoscópica. Actualmente estaba tomando hidroclorotiazida 12,5 mg y sertralina. Tenía alergias a medicamentos a sulfametoxazol y trimetoprima.
En su examen médico, se encontró que su marcha era antálgica con una fase de postura reducida en el lado afectado. La punción rotuliar dio positivo al exprimir la bolsa suprapatelar, lo que sugiere un leve derrame de rodilla. La sensibilidad de la línea articular medial y de la faceta patuliana medial fue positiva. El cajón anterior, el posterior del cajón, la prueba de Lachman, el valgo y el varo fueron negativos.
Sus estudios de imagen revelaron cambios osteoartríticos en la rodilla izquierda. Tras considerar cuidadosamente el dolor de rodilla que limitaba el estilo de vida y su condición médica, se le recomendó un reemplazo total personalizado de la rodilla izquierda. Se discutieron extensamente con él riesgos, beneficios y alternativas. Estaba motivado para volver a su rutina diaria sin dolor de rodilla.


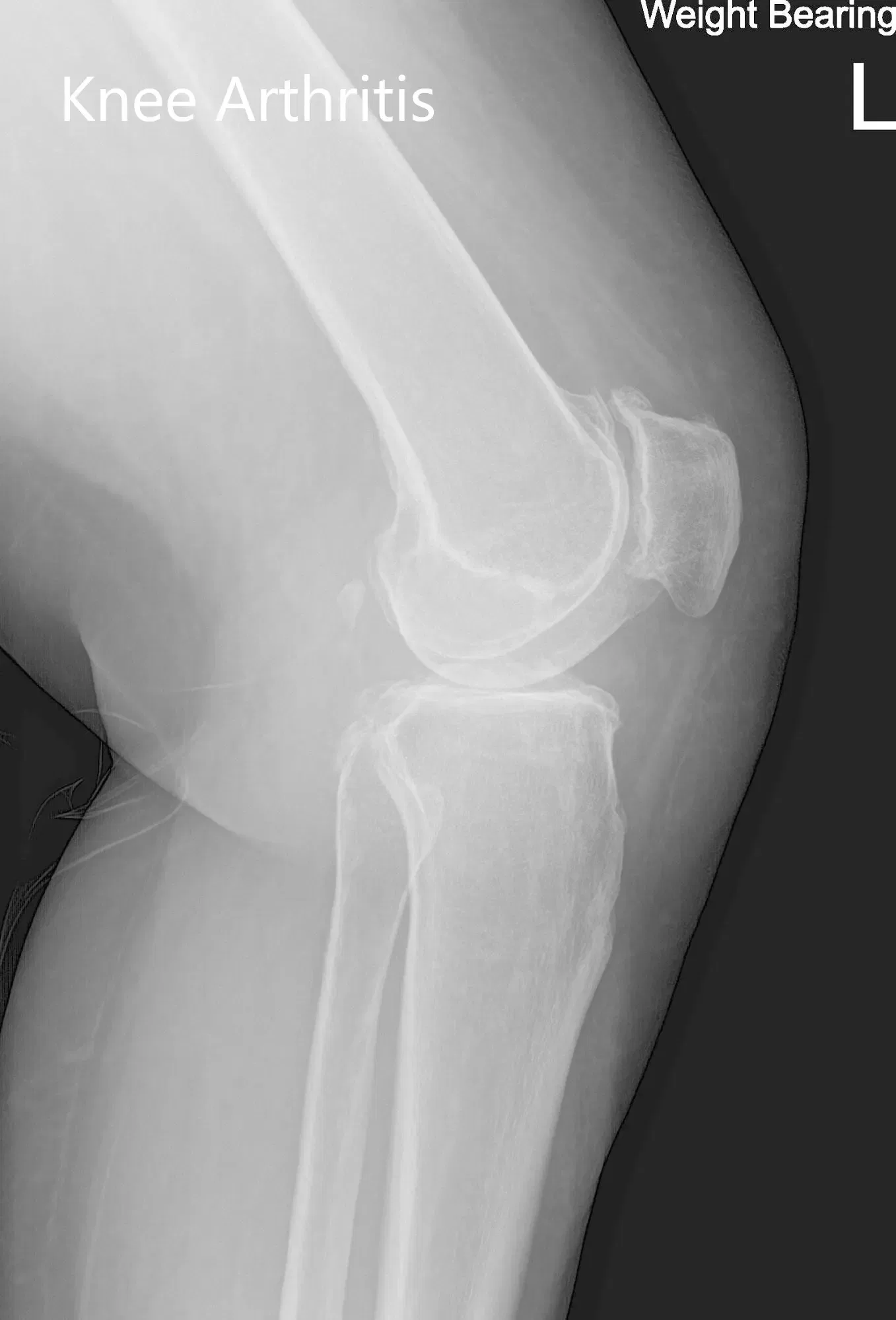
Radiografía preoperatoria de la rodilla izquierda que mostró vistas AP y laterales
Varias semanas antes de la cirugía, se realizó una tomografía computarizada de la rodilla izquierda. Se obtuvo una reconstrucción 3D única a partir de los datos. Estos datos se utilizaron para crear un implante único y específico para cada paciente. Además, se construyeron instrumentos desechables personalizados y únicos para la rodilla del paciente. Los implantes y los instrumentos personalizados aseguraron el mejor resultado del procedimiento. Se elaboró un plan preoperatorio específico para la rodilla del paciente para preplanificar los cortes y desplazamientos óseos. 
Plan quirúrgico completo de Orthopedics específico para pacientes para un reemplazo personalizado de rodilla izquierda en un hombre de 40 años.

Plan quirúrgico completo de ortopedia específico para paciente para un reemplazo personalizado de rodilla izquierda en un hombre de 40 años (ecografía 2)
Plan quirúrgico preoperatorio que detalla los cortes y desplazamientos óseos
El paciente se sometió a una artroplastia personalizada de la rodilla izquierda
Implante utilizado: Fémur personalizado con tibia y rótula personalizadas (38 mm x 8,5 mm) con inserto de polietileno de 10 mm.
El paciente fue llevado al quirófano tras obtener el consentimiento informado y firmar el lugar quirúrgico correcto. Los riesgos, beneficios y alternativas se discutieron extensamente con el paciente antes del procedimiento. La anestesia la obtuvo el anestesiólogo. Se colocó un torniquete sobre el muslo izquierdo y se preparó y colocó la extremidad inferior izquierda de la manera habitual y estéril.
Se utilizó una incisión recta para la artrotomía. Se incisionaron la piel y los tejidos subcutáneos. A continuación, se realizó una artrotomía parapatela medial. La guía para la resección tibial se colocó en posición tras la exposición de la tibia, y se realizó la resección tibial y se revisó. La atención se dirigía entonces al fémur y el corte distal se realizaba mediante una plantilla.
Los cortes biselados anteroposteriores se realizaron entonces utilizando las guías de corte correspondientes. A continuación, se realizó el corte de muesca. Los separadores laminares se usaron media y lateralmente, y el resto del menisco y el cruciado se dividieron después. Luego se preparó la tibia. Se realizó un balanceo de brechas que resultó perfecto.

Entonces la atención se centró en la rótula. Luego se resecó la rótula y se hicieron agujeros en la rótula. Luego se colocó la rótula de prueba en su lugar. Luego se colocó el fémur de prueba en su posición seguido de la tibia de prueba.
Poly fue colocado en posición. La rodilla se probó entonces en un rango completo de movimiento. La estabilidad rotuliana era excelente. A continuación, se obtuvo el rango completo de la rodilla.
A continuación, se retiraron los componentes de la prueba. El fémur estaba cementado en su posición. Luego se retiró el exceso de cemento. La tibia estaba cementada en su posición. Luego se retiró el exceso de cemento. Poly fue colocado en posición. La rodilla se redujo y se mantuvo en extensión total con un bulto bajo el tobillo.
La rótula se fijó entonces en su posición. El exceso de cemento se retiraba y se sujetaba con una pinza rotuliana. La abrazadera se retiraba después de endurecer el cemento. Se administró un lavado exhaustivo.
Se le administró la inyección. La artrotomía parapatela medial se cerró y el resto de la herida se cerró en capas. Se aplicó un apósito estéril sobre la herida. El torniquete fue desinflado y el paciente fue trasladado a la unidad de cuidados postoperatorios en condición estable.


Tres meses de radiografía postoperatoria de la rodilla izquierda que mostró AP e imágenes laterales.
El paciente pudo caminar el mismo día de la cirugía con apoyo. El dolor estaba bien controlado con medicación. Las grapas se retiraron sin incidentes. Siguió un régimen que consistía en un programa de ejercicio en casa y fisioterapia. Le recetaron aspirina 325 mg de difusión durante tres meses para la profilaxis de trombosis venosa profunda.
Tras tres meses, el paciente había completado con éxito su fisioterapia y suspendido la aspirina. Había vuelto felizmente a sus actividades normales. Pudo jugar con sus hijos y sacar a pasear a su perro sin ninguna molestia. Una semana después, semanas después, pudo volver a su trabajo y no reportó ninguna molestia. El paciente afirmó que los resultados de la cirugía superaron todas sus expectativas.

