Una mujer de 71 años se presentó en nuestra consulta con quejas de dolor bilateral en la rodilla (más grande en la derecha que en la izquierda) durante los últimos cuatro años. El paciente afirmó que el dolor empeoraba con el tiempo a pesar de un manejo conservador en forma de fisioterapia, inyecciones de rodilla y medicación para el dolor. El dolor afectaba gravemente a sus actividades diarias, como caminar y subir escaleras.
El paciente fue evaluado en la consulta para el manejo quirúrgico de la artritis de rodilla y se consideró un candidato adecuado para la artroplastia total de rodilla derecha. Al paciente se le ofreció un sistema personalizado de reemplazo de rodilla. Se discutieron a fondo los riesgos, beneficios y alternativas, y el paciente se sometió al procedimiento. El sistema personalizado de reemplazo de rodilla incluye implantes específicos para cada paciente con instrumentación personalizada.


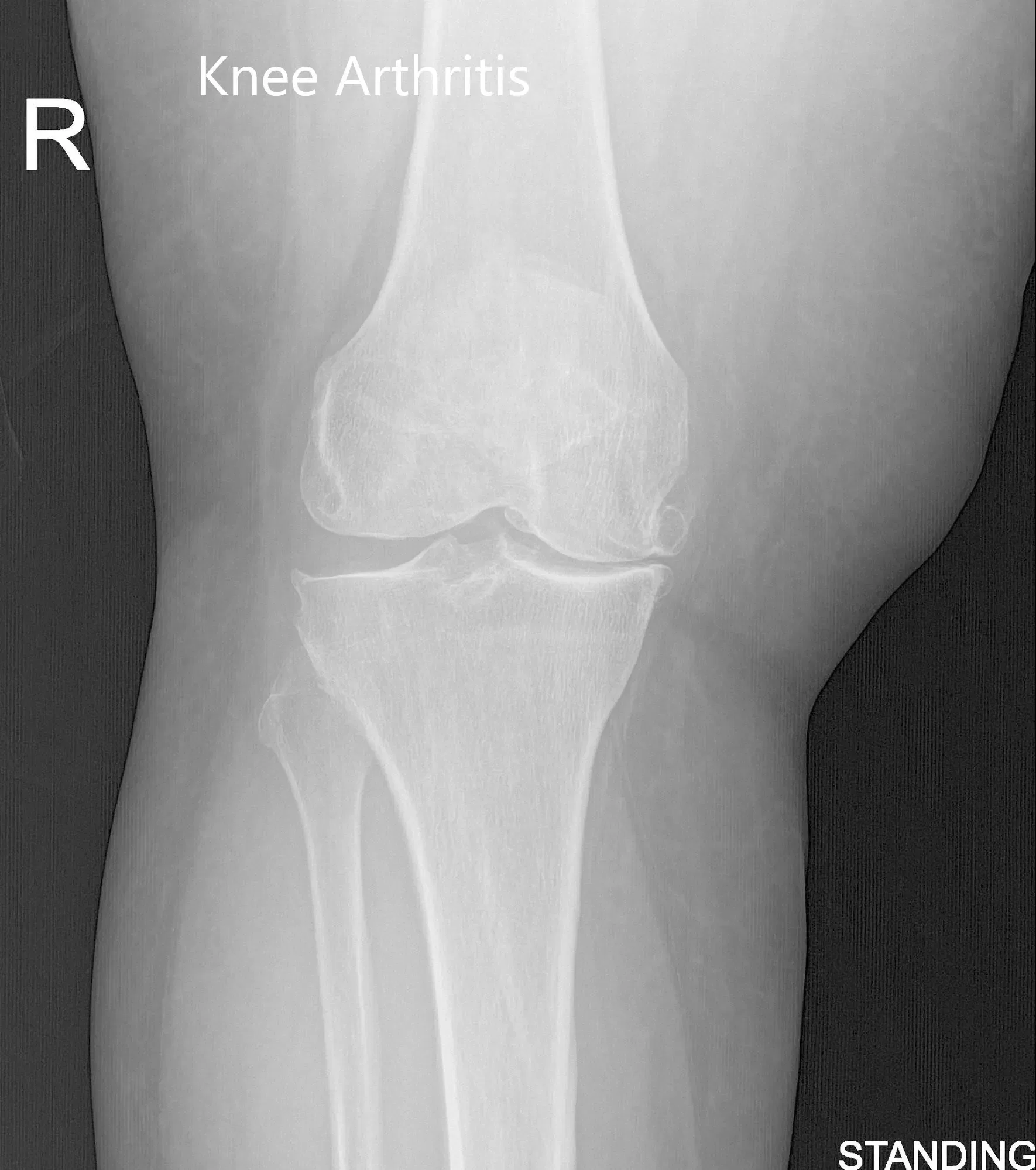
Vistas preoperatorias de la rodilla derecha con AP y radiografía lateral
Se realizó una tomografía computarizada preoperatoria de la rodilla derecha, incluyendo cadera y tobillo, unas semanas antes de la cirugía. Las imágenes de la tomografía computarizada se utilizan para construir un modelo 3D de la anatomía del paciente. La información de la tomografía computarizada se utilizó para crear un implante y un instrumento único y específico para cada paciente.
Los instrumentos específicos para el paciente ayudaron a reducir la cantidad de hueso cortado durante la cirugía. El implante específico para cada paciente, del tamaño adecuado, funciona en sincronía con los tejidos blandos de la rodilla, lo que da lugar a una sensación de rodilla más natural. La rodilla personalizada reduce la necesidad de comprometer tejidos blandos para trabajar con un implante, como ocurre con los implantes comerciales. 
Plan quirúrgico completo específico para paciente de Orthopedics para un reemplazo unilateral de rodilla personalizado en una mujer de 74 años.

Plan quirúrgico completo de Orthopedics específico para paciente para un reemplazo unilateral de rodilla personalizado en una mujer de 74 años (escáner 2)
Informes operativos:
El paciente se sometió a una artroplastia de rodilla total derecha utilizando rodilla totalmente estabilizada por posterioría personalizada con implante de polietileno estabilizado posterior de 14 mm, con bandeja tibial personalizada y componente rotuliano.

El paciente fue llevado al quirófano y el anestesista le obtuvo la anestesia. El paciente estaba en una posición diferente y la rodilla derecha fue colocada y preparada de forma estéril habitual. El brazalete se colocó sobre el muslo derecho. Se realizó un tiempo muerto. Se administraron antibióticos. El torniquete se elevó tras la exsanguinación de la extremidad.
Se incisionaron la piel y el tejido subcutáneo. Se realizó una artrotomía parapatela medial. Se expuso la superficie tibial y se colocaron las plantillas sobre la superficie tibial y se realizó la resección tibial. Se comprobó el ángulo de resección.
La tibia fue perforada y brochada. Entonces la atención se centró en el fémur. El corte distal se realizó utilizando la instrumentación personalizada. Los cortes anterior, posterior y biselado se realizaban utilizando instrumentación personalizada. El corte de muesca se realizaba entonces utilizando instrumentación personalizada.
Los separadores laminares se usaron tanto en la medial como en la lateral, y luego se desbridó el menisco y las cruzadas. A continuación, se extirparon los osteófitos posteriores. La atención se centró entonces en la rótula. Se realizó la resección rotuliana. Se hicieron agujeros de perforación en la rótula y luego se colocó la rótula de prueba en su lugar.
Entonces la atención se centró en el fémur. El fémur de prueba se colocó en su posición, seguido de la tibia de prueba, y el polímur de prueba se colocó en su posición. La rodilla estaba a distancia en todo el rango de movimiento. El seguimiento de la rótula era excelente, la estabilidad excelente. El equilibrio de espacios fue excelente.
A continuación, se retiraron los componentes de la prueba. El fémur fue cementado en su posición. Se retiró el exceso de cemento. La tibia se fijó entonces en su posición. Se retiró el exceso de cemento. El poliuretano se colocaba sobre la tibia y la rodilla se reducía y se mantenía en extensión completa con un bulto bajo el tobillo. Luego Patella fue consolidada en posición. Se retiró el exceso de cemento.
Tras endurecer el cemento, se retiró la pinza rotuliana. La artrotomía parapatela medial se cerró con el número 1 de Vicryl y con sutura de púas Variax.
Los tejidos cutáneos se cerraron con 0 Vicryl. El tejido subcutáneo se cerró con Vicryl 2-0. La piel se cerraba con grapas. Luego se aplicó un apósito estéril sobre la herida. El paciente fue trasladado entonces a la unidad de cuidados postoperatorios en estado estable.


Radiografía postoperatoria de la rodilla derecha del paciente mostrando PA y vistas laterales
El paciente pudo caminar el mismo día después de la cirugía y reportó un excelente rango de movimiento de la rodilla en las visitas posteriores. Ella pudo conducir y continuar con sus actividades diarias, como caminar y subir escaleras sin dolor, tras un periodo de fisioterapia. En las siguientes visitas postoperatorias, no presentó rigidez en la rodilla derecha y un excelente rango de movimiento. El paciente tuvo una excelente recuperación del dolor de artritis en la rodilla izquierda debido a la descarga de peso tras una artroplastia total de rodilla derecha exitosa.

