Un piloto comercial retirado se presentó para consultar sobre el empeoramiento de su dolor en la rodilla derecha. El dolor empezó cuando resbaló y se cayó hace unos 3 años. Fue al hospital donde le dijeron que tenía una fractura fina. Posteriormente se le hizo una resonancia magnética que no reveló fractura ni rotura de ligamentos.
Los pacientes continuaron con sus actividades pero notaron dolor de nuevo tras un mes. Realizó una práctica considerable de fisioterapia ambulatoria. También recibió inyecciones de gel en la rodilla. Tanto la fisioterapia como las inyecciones de gel proporcionaron un alivio mínimo al paciente.
Informó del uso posterior de un dispositivo de asistencia en forma de bastón. Recibió inyecciones de cortisona en la rodilla dos veces, con un alivio que duró aproximadamente un mes. Actualmente toma analgésicos de venta libre para el dolor de rodilla.
El dolor se describió como una molestia sorda sin radiación. El dolor era constante y también le alteraba el sueño. No podía caminar más de dos manzanas sin molestarse. El dolor era especialmente peor en actividades como subir escaleras, levantarse de una silla, girar, girar, doblarse o arrodillarse. El dolor era mejor en reposo.
Fue abstemio toda la vida y no fumador. No informó de alergias a medicamentos conocidas. Actualmente estaba tomando medicación para la hipertensión, hipotiroidismo, asma e hipertrofia benigna de próstata. Todas sus condiciones estaban bien controladas con medicación.
Su examen físico reveló una marcha antálgica con una fase de postura reducida en el lado derecho. Hubo una inflamación leve con una punción rotuliana positiva. Había sensibilidad en la línea articular medial y lateral. La prueba de molienda patelofemoral dio positivo en sensibilidad.
Había crepitación a lo largo del arco de movimiento de la rodilla derecha. El rango de movimiento oscilaba entre 10 y 100 grados. Los tendones del cuádriceps y la rótula estaban intactos y sin sensibilidad. El examen de la rodilla izquierda, las caderas bilaterales y los tobillos fue normal.
No había déficit neurológico distal. Los pulsos distales bilaterales eran palpables y comparables. El volumen y el tono de las extremidades inferiores bilaterales fueron normales. No hubo disfunción de vejiga ni de intestino.
Los pacientes vivían con su hijo y estaban bastante desanimados por su falta de actividad física debido al dolor. No podía disfrutar de su tiempo con sus amigos ni conducir durante un periodo prolongado.
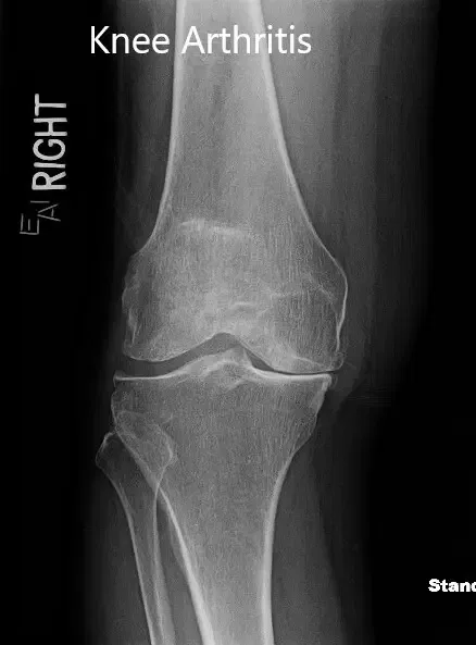
Los resultados de imagen revelaron una osteoartritis tricompartmental severa de la rodilla. Dado que su estilo de vida limita el dolor de rodilla, le recomendaron un reemplazo total de rodilla con instrumentos personalizados. Los riesgos, beneficios y alternativas se discutieron extensamente con el paciente. Él estuvo de acuerdo con el plan.
Se realizó una resonancia preoperatoria unas semanas antes del procedimiento para obtener datos sobre implantes personalizados. Los implantes personalizados aseguraron menos daño tisular y cortes óseos precisos para el procedimiento.


Radiografía preoperatoria que muestra la vista anteroposterior y lateral de la rodilla derecha.

Radiografía preoperatoria mostrando la vista comercial de ambas rodillas.
OPERACIÓN: Prótesis total de rodilla derecha.
IMPLANTES UTILIZADOS: Fémur estabilizado posterior, talla 3, con una tibia Persona de 5 grados con tallo, tallo C, con inserto de polietileno estabilizado posterior de 10 mm con extensión del tallo de 14 mm de diámetro y rótula cementada de 29 m.
DESCRIPCIÓN DEL PROCEDIMIENTO: La paciente fue llevada al quirófano tras obtener el consentimiento informado y firmar el lugar quirúrgico correcto; los riesgos, beneficios y alternativas se discutieron extensamente con la paciente y su marido antes del procedimiento. La anestesia la obtuvo el anestesiólogo.
El paciente fue entonces definitivamente colocado, y la extremidad inferior derecha fue colocada y preparada de forma habitual estéril, con el puño de torniquete sobre el muslo derecho. Antes de la cirugía, se realizó el tiempo fuera y se exsanguinó la extremidad.
Se utilizó una incisión recta para la artrotomía. Luego se incisionaron la piel y los tejidos subcutáneos. A continuación, se realizó una artrotomía parapatela medial. A continuación, se colocó la guía PSI femoral y se realizó el corte distal femoral. A continuación, se realizaron los cortes biselados anterior y posterior.
El corte tibial se realizó después usando la guía PSI y se realizó el equilibrio de espacios. A continuación, se realizó el corte en forma de muesca del fémur, se usaron los separadores laminares tanto en la medial como en la lateral, y se extirparon los osteófitos posteriores de tejido blando. La diferencia estaba equilibrada.
Se realizó una resección rotuliana. Se hicieron agujeros de perforación en la rótula. La rótula de prueba fue colocada en su lugar. Se colocó el fémur de prueba en su posición, seguido de la tibia. El poliuretero se colocó en posición y la rodilla se probó en todo el rango de movimiento. No existía la contractura de flexión que existía antes, y el seguimiento rotuliano era excelente.
Luego se retiraron los componentes de la prueba. A continuación, se realizó una inyección periarticular. Después, el hueso se secó. El fémur estaba cementado en su posición; Luego se retiraba el exceso de cemento. La tibia estaba cementada en su posición; se retiró el exceso de cemento.
Luego se colocó el poliureno en su sitio. Luego se redujo la rodilla y quedó un bulto bajo el tobillo. Después, Patella fue consolidada en su posición; se retiró el exceso de cemento.
Tras endurecer el cemento, se retiró la pinza rotuliana. Se cerró la artrotomía parapatela medial. Los tejidos cutáneos estaban cerrados, los tejidos subcutáneos cerrados y la piel cerrada mediante capas. A continuación, se aplicó un apósito estéril sobre la herida y el paciente fue trasladado a la unidad de cuidados postoperatorios en estado estable.


Radiografías postoperatorias que muestran las vistas anteroposterior y lateral de la rodilla derecha.
La recuperación fue excelente con apoyo de peso el mismo día. Podía caminar 30 metros sin molestias. Le administraron aspirina para la profilaxis de la trombosis venosa profunda. El dolor se manejó bien con medicación. La fisioterapia se inició de forma ambulatoria.
El paciente cumplió con su programa de ejercicios en casa. Dos meses después, se presentó con un rango de movimiento completo y cero dolor. Podía caminar, subir escaleras y conducir su coche sin ninguna limitación. Estaba extremadamente satisfecho con el resultado del procedimiento.
Aviso legal – El nombre, edad, sexo, fechas y eventos del paciente han sido modificados o modificados para proteger su privacidad.

