Un guardia de seguridad jubilado de 68 años se presentó en nuestra oficina quejándose de un dolor empeorante en la rodilla derecha y el hombro derecho. Ella declaró que sufrió un accidente de tráfico hace 3 años cuando su coche fue embestido por detrás. Sufrió lesiones en la rodilla derecha y el hombro.
Durante los últimos 2 años, había probado opciones de tratamiento conservador. Le pusieron 3 inyecciones de gel y 2 de cortisona en la rodilla derecha con un alivio mínimo. Probó fisioterapia y un programa de ejercicio en casa, pero sin alivio prolongado. Hace un año se sometió a una reparación del manguito rotador del hombro derecho en Nueva Jersey.
Afirma que el dolor en la rodilla derecha ha empeorado hasta el punto de que no puede caminar ni levantarse de una silla sin molestias. Se había restringido a la planta baja, incapaz de subir escaleras. Además, se sentía recluida y moribunda, incapaz de reunirse con sus amigos en el supermercado y restaurante local.
El paciente no fumaba ni bebía. Tenía antecedentes médicos de asma, enfermedad del intestino irritable, apnea obstructiva del sueño e hipertensión. Sus quejas médicas estaban bien controladas con medicación. Ella se había sometido a una histerectomía en el pasado.
En su visita a la consulta se mostró visiblemente afectada y describió su dolor a diario. Ella usaba un bastón para caminar. Su andar era antiálgico pero coordinado. Estaba bien orientada hacia el tiempo, el lugar y la persona. No hubo deformidad en la rodilla durante el examen supino y de pie.
Había una leve hinchazón en la rodilla derecha sin eritema ni aumento de temperatura. La sensibilidad fue positiva en la línea articular medial y lateral. El rango de movimiento se limitaba terminalmente debido al dolor. No había signos de inestabilidad o laxitud coronal, sagital ni del plano axial.
El examen de las caderas y tobillos bilaterales fue sin nada destacable. El examen neurológico distal fue normal, con la sensación de tacto ligera intacta en todos los dermatomas. No hubo ninguna anomalía en el intestino de la vejiga. Tenía sensibilidad sobre la bursa subacromial derecha y la cabeza larga del tendón del bíceps. La abducción y la rotación interna del hombro derecho se restringieron terminalmente.
Los estudios de imagen revelaron osteoartritis tricompartmental con cambios degenerativos. Le recomendaron un reemplazo total de rodilla a medida en función de su examen y necesidades. Se debía realizar una tomografía computarizada preoperatoria unas semanas antes de la cirugía.
Las imágenes de tomografía computarizada proporcionaron datos precisos sobre la anatomía de rodilla de los pacientes. Además, se imprimieron en 3D bloques de corte desechables para adaptarse a la anatomía única del paciente. Se elaboró el plan preoperatorio que detallaba los distintos pasos quirúrgicos y cortes óseos. Se fabricaron implantes personalizados específicos para cada paciente, adaptados a la anatomía única del paciente.
Se discutieron en detalle con el paciente riesgos, beneficios y alternativas. Se le recomendó tanto métodos no quirúrgicos como quirúrgicos. El paciente realizó un reemplazo total personalizado de rodilla derecha (estabilizado posteriormente).



Radiografía preoperatoria que muestra la visión AP y lateral de la articulación de la rodilla derecha, y vista del horizonte de ambas articulaciones.
IMPLANTES UTILIZADOS: Fémur personalizado con tibia personalizada con inserto de polietileno de 10 mm y rótula de 32 mm x 6 mm.
DESCRIPCIÓN DEL PROCEDIMIENTO: El paciente fue llevado al quirófano tras obtener el consentimiento informado y firmar el lugar quirúrgico correcto. Los riesgos, beneficios y alternativas se discutieron extensamente con el paciente, así como con el lado derecho del procedimiento.
El paciente fue llevado al quirófano y el anestesiólogo le proporcionó la anestesia. El paciente fue colocado de forma definitiva y la cadera derecha fue colocada y preparada de forma estéril habitual. El miembro fue desangrado y el torniquete se elevó. 
Plan quirúrgico completo de Ortopedia específico para un reemplazo total de rodilla personalizado en una mujer de 68 años.

Plan quirúrgico completo de Orthopedics específico para un reemplazo total de rodilla personalizado en una mujer de 68 años (escaneo 2)
Se utilizó una incisión recta para la artrotomía. Se incisionó la piel y el tejido subcutáneo y se realizó una artrotomía parapatela medial. La rodilla quedó expuesta. El corte distal femoral se realizó entonces usando la guía.

Los cortes anterior, posterior y biselado se realizaron entonces utilizando la guía. La tibia se reparó entonces usando la guía. La alineación del fémur y de los cortes tibiales se comprobó con una guía de alineación. Se usaron separadores de lámina tanto en el nivel medial como lateral, y luego se desbridó el menisco.
A continuación, se extirparon los osteófitos posteriores. A continuación, se realizó el corte de muesca y el corte rotuliano, y la rótula de prueba se colocó en su posición tras hacer agujeros de perforación en la rótula.
El fémur de prueba se colocó en su posición seguido de la tibia. Luego se colocó el poliureno en su sitio. Se logró entonces una excelente estabilidad.
A continuación, se retiraron los componentes de la prueba. El fémur estaba cementado en su posición. Se retiró el exceso de cemento. La tibia estaba cementada en su posición. Se retiró el exceso de cemento. Se colocaba poliuretano en posición y luego se reducía la rodilla y se sujetaba con un bulto bajo el tobillo. La rótula se fijó entonces en su posición.
Después de que el cemento se endureció, se bajó el torniquete. Se logró una hemostasia completa. La herida se cerraba entonces en capas. A continuación, se aplicó un vendaje estéril en la herida y el paciente fue trasladado a la unidad de cuidados postoperatorios en estado estable.


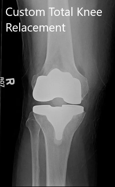
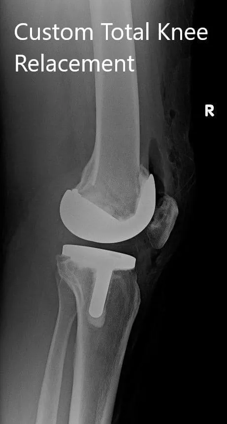
Radiografía postoperatoria que muestra imágenes AP e laterales de la rodilla derecha
Tuvo una excelente recuperación postoperatoria. Ella caminaba con apoyo el mismo día de la cirugía. El dolor se controlaba con medicación. Se inició la profilaxis para trombosis venosa profunda en forma de medias de compresión y aspirina 325mg BID.
Se inició la fisioterapia centrada en el fortalecimiento muscular y el aumento del rango de movimiento. El paciente cumplió con la fisioterapia y un programa de ejercicio en casa. En las visitas posteriores logró un rango completo de movimiento sin dolor.
Posteriormente, la aspirina fue descontinuada. Viajaba feliz a Florida para visitar a su nieto. Ahora volvió a caminar y a hacer sus actividades diarias. Expresó su satisfacción por el resultado de la operación.
Aviso legal – El nombre, edad, sexo, fechas y eventos del paciente han sido modificados o modificados para proteger su privacidad.

