Un profesor jubilado de 73 años presentaba quejas de dolor en la rodilla derecha que empeoraba durante los últimos 5 años. Notó el dolor por primera vez en sus paseos nocturnos hace cinco años. Afirmó que fue reduciendo gradualmente la distancia de caminar y utilizó un bastón como dispositivo de ayuda. Recientemente, durante los últimos meses, el dolor era constante y le perturbaba el sueño.
El paciente negó cualquier historial de caídas o traumatismos previos al inicio del dolor. El dolor se describió como una molestia sorda situada en la parte interna de la rodilla derecha. La intensidad fue moderada, alrededor de 6/10. El dolor se agravaba con actividades como estar de pie, caminar, sentarse, levantarse de una silla, subir escaleras, agacharse, girar y girar.
El paciente estaba angustiado por la limitación de su estilo de vida debido al dolor. No podía salir a pasear por la tarde, una actividad que disfrutaba. Además, no pudo conducir su coche durante largos periodos. La interrupción del sueño le daba sueño durante el día y se sentía triste por la disminución de sus interacciones sociales.
Anteriormente había probado con almohadillas de calor y hielo, fisioterapia, inyecciones de cortisona en la rodilla y inyecciones de ácido hialurónico con un alivio mínimo. El dolor se alivió solo durante un par de semanas y volvió con la misma intensidad. Sentía que había agotado todas sus opciones de tratamiento conservador.
Era un exfumador y dejó de fumar el año pasado. Negó cualquier alergia conocida a los medicamentos. Actualmente tomaba Lopressor 25 mg de difusión por segunda mitad para la taquicardia y Flomax para la hipertrofia benigna de la próstata. Negó cualquier consumo ilícito de drogas.
En el examen físico, su andar era firme. Había una leve deformidad del genu varum. Había sensibilidad a lo largo de la línea articular medial y las facetas rotulianas. Hay una leve hinchazón en la rodilla izquierda. La piel que cubre la rodilla izquierda era normal, sin indicios de cicatrices ni de sinusitos.
El rango de movimiento estaba terminalmente restringido secundariamente al dolor (de 5 a 110 grados). No hubo evidencia de inestabilidad o laxitud en los planos coronal, sagital y axial. El examen neurológico distal salió normal. El volumen y el tono muscular eran normales.
El examen de la cadera bilateral y el tobillo y la rodilla izquierda resultaron normales. Los reflejos bilaterales de los tendinos superficiales y profundos de la extremidad inferior permanecieron intactos. Los pulsos de las extremidades inferiores eran palpables y de buen volumen bilateralmente.
Los estudios de imagen revelaron osteoartritis tricompartmental severa de la rodilla derecha. Teniendo en cuenta el estilo de vida del paciente que limita el dolor de rodilla, se le recomendó un reemplazo total personalizado. Se discutieron riesgos, beneficios y alternativas con el paciente. Aceptó seguir adelante con la cirugía.
Como parte de la evaluación y planificación, se realizó una tomografía computarizada preoperatoria de las extremidades inferiores unas semanas antes de la cirugía. Se obtuvieron imágenes detalladas para una evaluación precisa de la anatomía y biomecánica del paciente. Se utilizaron datos completos para construir implantes e instrumentos personalizados y únicos para cada paciente.


Radiografía preoperatoria de la rodilla derecha que muestra visión AP y lateral.
OPERACIÓN: Artroplastia total de rodilla derecha.
IMPLANTES UTILIZADOS: Implante femoral personalizado con inserto de polietileno de 6 mm con una bandeja tibial personalizada y rótula de 32 mm.
DESCRIPCIÓN DEL PROCEDIMIENTO: El paciente fue llevado al quirófano tras obtener el consentimiento informado y firmar el lugar quirúrgico correcto. Los riesgos, beneficios y alternativas se discutieron extensamente con el paciente antes del procedimiento. El paciente fue entonces colocado de forma definitiva y la cadera derecha se colocó y preparó de la manera habitual y estéril.
Se utilizó un torniquete para exsangvar la extremidad y luego se aplicó una incisión recta para la artromía. Se incisionaron la piel y los tejidos subcutáneos. A continuación, se realizó una artrotomía parapatela medial.

Plan quirúrgico específico para cada paciente de Complete Orthopedics para un reemplazo total personalizado de la rodilla derecha en un hombre de 73 años con artritis.

Plan quirúrgico completo de Orthopedics específico para un reemplazo total de rodilla derecha personalizado en un hombre de 73 años con artritis (ecografía 2)
La tibia quedó expuesta. La guía de corte tibial se utilizaba para realizar el corte tibial. Luego se preparó la tibia. Entonces la atención se centró en el fémur. El fémur se preparó después utilizando una guía de corte biselada distal y una guía de corte de muesca.

Se usaron separadores de lámina tanto en la medial como en la lateral, y el resto del cruciato y menisco fue desbridado.
Se realizó un balance de brechas y se comprobó que era perfecto. Entonces se preparó la rótula. Se hicieron agujeros de perforación en la rótula.
La rótula de prueba fue colocada en su lugar. Entonces la atención se centró en el fémur. El fémur de prueba fue colocado en su posición. La tibia de prueba se colocó en su lugar.
Luego se colocó Poly en posición. Luego se probó la rodilla en todo el rango de movimiento y la estabilidad fue excelente. El seguimiento de la rótula fue excelente.
A continuación, se retiraron los componentes de la prueba. Se le administró la inyección. El fémur estaba cementado en su posición. Se retiró el exceso de cemento. La tibia estaba cementada en su posición.
Se retiró el exceso de cemento. El poliuretano se colocaba sobre la tibia y la rodilla se reducía y se mantenía en extensión completa con un bulto bajo el tobillo. La rótula fue instrumentada para colocarla en posición y mantenida en posición con una pinza rotuliana. Se retiró el exceso de cemento.
Tras endurecerse el cemento, la artrotomía parapatela medial se cerró con Vicryl y Stratafix. Los tejidos cutáneos, subcutáneos y piel estaban cerrados en capas. El torniquete estaba hecho. A continuación, se aplicó un apósito estéril sobre la herida y el paciente fue trasladado a la unidad de cuidados postoperatorios en estado estable.


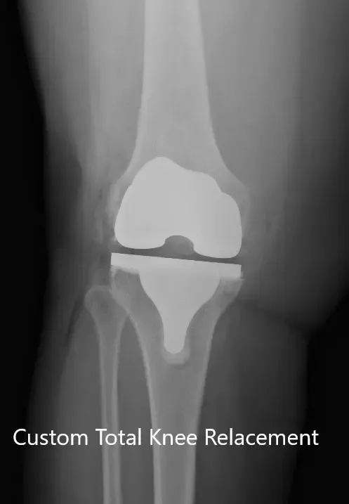
Radiografía postoperatoria de la rodilla derecha que muestra visión AP y lateral.
Tras la operación , los signos vitales del paciente se mantuvieron estables y el estado neurológico distal intacto. Él pudo caminar apoyando peso el mismo día de la cirugía. Se recetó aspirina para prevenir la trombosis venosa profunda. Se inició fisioterapia para aumentar el rango de movimiento y prevenir la rigidez.
Tras ocho semanas de postoperatorio, el paciente pudo caminar sin soporte y no reportó ningún dolor. El rango de movimiento de la rodilla derecha era completo y el paciente reportó una disminución del dolor en la rodilla izquierda. Volvió felizmente a sus paseos vespertinos y disfrutó de su rutina sin el dolor de rodilla.
Aviso legal – El nombre, edad, sexo, fechas y eventos del paciente han sido modificados o modificados para proteger su privacidad.

