Una mujer de 72 años se presentó en nuestra consulta con quejas de un dolor de rodilla derecha que empeoraba. Ella notó el dolor por primera vez mientras subía escaleras hace unos tres años. Negó cualquier lesión asociada o previa en la rodilla. El dolor había empeorado hasta el punto de que no podía caminar más de media manzana.
Ella afirmó que el dolor se encontraba en la parte interna de la rodilla derecha. Describió una sensación de crujido/crujido/rechinar al mover la rodilla derecha. El dolor se describía como una molestia sorda a aguda. La intensidad era variable y severa en ciertas actividades.
Ella afirmó que el dolor se agravaba con actividades como estar de pie durante mucho tiempo, caminar, agacharse, arrodillarse, agacharse, girar y girar. Usaba un bastón como dispositivo de ayuda y subía las escaleras con la charla, paso a paso.
Ella, como enfermera jubilada que anteriormente estuvo activa organizando actividades de voluntariado en un hospital. Dado que la intensidad del dolor aumentaba, describió su estilo de vida como moribo. Se sentía angustiada por no poder estar tan activa como antes.
Anteriormente probó el manejo conservador en forma de fisioterapia y almohadillas térmicas. También recibió inyecciones de viscosuplemento de su fisioterapeuta, pero sin alivio.
Ella era fumadora y consumía alcohol moderadamente socialmente. Negó cualquier alergia a medicamentos y su historial médico anterior dio positivo en hipertensión, asma y dislipidemia. Sus condiciones médicas estaban bien controladas con medicación. Hace unos años le hicieron una liberación del túnel carpiano.
En el examen físico, caminaba con una marcha antálgica y una fase de postura reducida en el lado derecho. Había una leve hinchazón en la rodilla derecha. Había sensibilidad en la línea de la articulación medial. También se notaba sensibilidad en las facetas rotulianas.
El tendón rotuliano y el tendón del cuádriceps estaban intactos y no sensibles. No hubo evidencia de inestabilidad en los planos coronal, sagital y axial. El rango de movimiento era doloroso, con abundante crepitosidad.
El examen de la rodilla izquierda, las caderas bilaterales y los tobillos fue normal. No había déficit neurológico distal. Los pulsos bilaterales en las extremidades inferiores fueron palpables y comparables. El volumen y el tono de las extremidades inferiores bilaterales fueron normales.
Los estudios de imagen revelaron osteoartritis tricompartmental severa de la rodilla derecha. Teniendo en cuenta el dolor de rodilla que limita el estilo de vida, se le recomendó a la paciente un reemplazo total de rodilla correcto. Todos los riesgos, beneficios y alternativas se discutieron en detalle con el paciente. El paciente aceptó seguir adelante con el procedimiento.

Radiografía preoperatoria de ambas rodillas en vista anteroposterior.


Radiografía preoperatoria de la rodilla derecha en vista lateral y vista del horizonte.
OPERACIÓN: Artroplastia total de rodilla derecha.
IMPLANTES UTILIZADOS: Fémur estabilizado posterior, tamaño 11, tibia tamaño F, tallo afilado y polietileno estabilizado posterior restringido de 12 mm.
DESCRIPCIÓN DEL PROCEDIMIENTO: El paciente fue llevado al quirófano tras obtener el consentimiento informado firmando en el lugar quirúrgico correcto. Los riesgos, beneficios y alternativas se discutieron extensamente con el paciente antes del procedimiento. La paciente entiende que tiene un riesgo significativamente mayor de complicaciones.
El paciente fue llevado al quirófano y el anestesista le obtuvo la anestesia. La rodilla derecha se colocó y preparó de la manera habitual estéril, con un puño sobre el muslo derecho. Luego se realizó un tiempo muerto y la extremidad fue desangrado. El torniquete fue entonces elevado.
Se utilizó una incisión recta para la artrotomía. Luego se incisionaron la piel y los tejidos subcutáneos. A continuación, se realizó la artrotomía parapatelara medial. Luego se resecó la almohadilla grasa. A continuación, se desarrolló la manga de tejido blando medial.
La guía específica del paciente femoral se colocó entonces en posición y se inmovilizó. A continuación, se realizó el corte distal, seguido de los cortes anterior, posterior y biselado. A continuación, se realizó la resección tibial. Luego se usaron separadores laminares tanto en la medial como en la lateral, y el menisco y los cruzados se desbridaron. A continuación, se realizó el corte de muesca.
Se comprobó que el espacio de extensión y flexión estaba bien equilibrado. El fémur de prueba se colocó en su posición, seguido por la tibia y el poli de prueba. Luego se resecó la rótula. y la rótula de prueba se colocó entonces en su lugar.
La rodilla se probó en un rango completo de movimiento y se comprobó que el rango era excelente. El seguimiento rotuliano resultó ser excelente. Se comprobó que la separación de flexión y extensión estaba bien equilibrada.
Luego se retiraron los componentes de la prueba. Se administró un lavado exhaustivo y se aplicó una inyección intraarticular. El fémur se cimentó en su posición, seguido de la tibia, y el poliuretano se colocó en su posición.
La rodilla se mantuvo en extensión total tras retirar el cemento. y la rótula fue colocada en su posición. y luego se retiraba el exceso de cemento. Tras endurecer el cemento, se retiró la abrazadera rotuliana.
En ese momento, se notó que la rodilla estaba equilibrada, pero el tamaño del polietileno era menor. Por tanto, el tamaño de la rótula se incrementó a 12 mm desde un polietileno de 10 mm.
Tras colocar el nuevo polietileno, la rodilla quedó estable. Se comprobó que los espacios de flexión y extensión estaban bien equilibrados. Se le dio un lavado exhaustivo. La artrostomía parapatela medial se cerró con Ethibond.
Los tejidos cutáneos se cerraron con O Vicryl. Los tejidos subcutáneos se cerraron con 2 O Vicryl. La piel se cerraba con grapas. Luego se aplicó un apósito estéril sobre la herida y el paciente fue trasladado a la unidad de cuidados postoperatorios en estado estable.


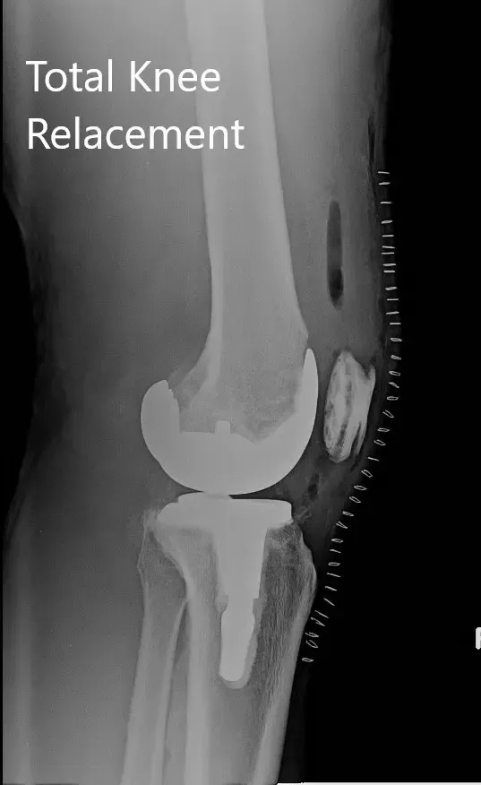
Radiografía postoperatoria de la rodilla derecha con prótesis en vistas anteroposterior y lateral.
Después de la operación, la recuperación del paciente fue buena y con constantes normales. Ella pudo caminar con apoyo el mismo día. Le administraron medicamentos orales para el dolor y aspirina para la profilaxis de trombosis venosa profunda.
Le recomendaron fisioterapia porque fue dada de alta al día siguiente. Las suturas se retiraron sin incidentes. Dos meses después de la operación mostró un rango completo de movimiento de la rodilla derecha sin dolor. Volvió a su estado habitual y expresó satisfacción con el resultado del procedimiento.
Aviso legal – El nombre, edad, sexo, fechas y eventos del paciente han sido modificados o modificados para proteger su privacidad.

