El paciente era un hombre de 68 años, banquero jubilado, que acudía a nuestra consulta con quejas de dolor bilateral de rodilla (más largo que izquierdo) durante los últimos 4 años. El dolor era sordo, de carácter agudo a agudo, asociado a la crepitación articular. El dolor era especialmente peor al levantarme de una silla tras estar sentado mucho tiempo.
El paciente afirmó que el dolor limitaba sus actividades diarias como caminar, subir escaleras y levantarse. Ya no disfrutaba de sus aficiones de jardinería y golf. El paciente declaró que estaba preocupado por provocar el dolor de rodilla con actividades.
Recientemente dijo que el dolor le dificultaba el sueño, lo que reducía su productividad durante el día. El paciente había probado previamente el manejo conservador en forma de fisioterapia, medicación para el dolor, inyecciones en la rodilla y almohadillas térmicas, pero sin alivio.
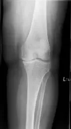
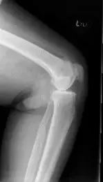
Su examen físico reveló sensibilidad articular con crepitación. Había sensibilidad en la línea articular medial y en la faceta de la rótula medial. Los estudios de imagen revelaron osteoartritis bicompartmental de la rodilla con obliteración del espacio articular del compartimento medial y del compartimento patelofemoral.


Radiografía preoperatoria de la rodilla izquierda que muestra la visión AP y lateral
El paciente no fumaba con comorbilidades de hipertensión e hiperlipidemia controladas con medicación. Tras evaluar sus condiciones médicas y requisitos, se determinó que era candidato a intervención quirúrgica en forma de reemplazo total de rodilla con implantes e instrumentos personalizados.
Se explicaron al paciente en detalle los riesgos, beneficios y posibles complicaciones, así como se discutieron con él alternativas a la cirugía. El paciente aceptó seguir adelante con la cirugía.
Unas semanas antes de la cirugía se realizaron tomografías computarizadas de la rodilla del paciente, incluyendo la cadera y la rodilla, para evaluar su anatomía de rodilla y la correcta biomecánica. Las imágenes se utilizaron después para construir implantes e instrumentos específicos para cada paciente.

Plan quirúrgico completo de ortopedia específico para paciente para una artroplastia total de rodilla a medida izquierda en un hombre de 68 años.

Plan quirúrgico completo de ortopedia específico para paciente para una artroplastia total de rodilla izquierda personalizada en un hombre de 68 años (ecografía 2)
Informe operativo:
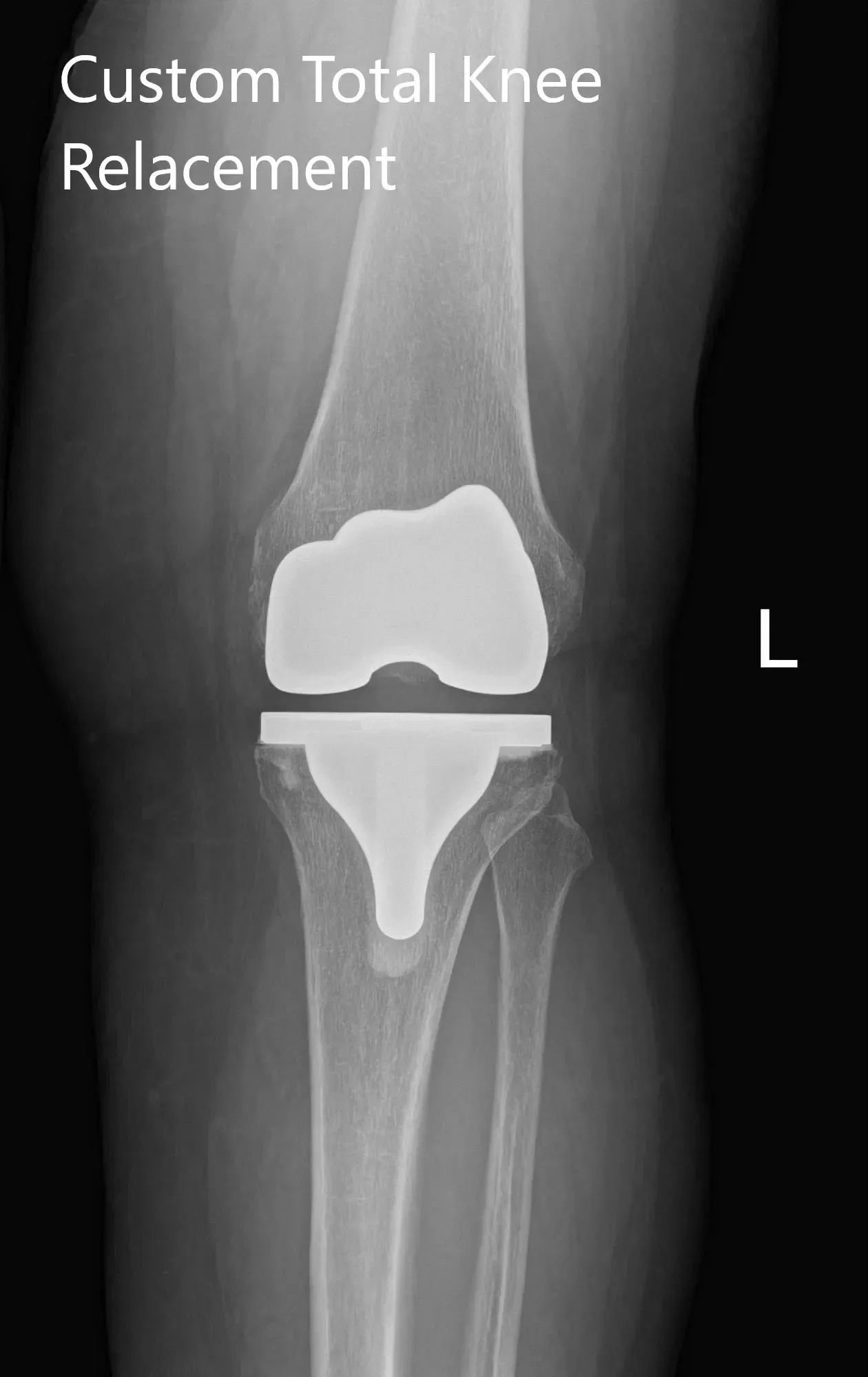
El paciente se sometió a un reemplazo total personalizado de rodilla izquierda.
Implantes utilizados: polietileno estabilizado posteriormente de 8 mm con bandeja tibial, implante femoral de 32 mm, polietileno de 6 mm de espesor con inserto de polietileno de 8 mm.
El anestesiólogo obtuvo anestesia. La extremidad inferior izquierda fue luego drapeada y preparada de la manera habitual y estéril. Se realizó una incisión recta sobre la articulación de la rodilla. Se incisionaron la piel y los tejidos subcutáneos y se realizó una artromía parapatelara medial.
El sitio medial de la tibia quedó expuesto y se resecó la almohadilla grasa. Se colocó la guía femoral en su posición y se realizó el corte distal. Luego se realizaron cortes biselados utilizando guías de corte chaflado. Entonces la atención se centró en la tibia. El corte tibial se realizaba entonces usando la guía de corte tibial. Se le extrajeron huesos.
Se usaron separadores de lámina tanto en la medial como en la lateral, y el resto del menisco fue desbridado. Se realizó el equilibrio. A continuación, se realizó el corte de muesca. La atención se centró entonces en la rótula. A continuación, se realizó la resección rotuliana y se hicieron agujeros en la rótula.

Luego se colocó la rótula de prueba en su lugar. Se colocó el fémur de prueba en su lugar. Se colocó la tibia de prueba en su posición. El poliuretano se colocó sobre la tibia y luego se redujo la rodilla.
La rodilla fue probada en todo el rango de movimiento y la rodilla estaba estable. El seguimiento de la rótula fue excelente. A continuación, se retiraron los componentes de la prueba. Se le aplicó la inyección.
El fémur fue cementado en su posición, seguido por la tibia. Luego se colocó el poliuretano sobre la tibia. La rodilla se redujo y se mantuvo en extensión total con un bulto bajo el tobillo. Luego Patella fue consolidada en posición. Se retiró el exceso de cemento. La rótula se mantenía en su lugar con la rótula sujeta. Tras endurecer el cemento, se retiró la abrazadera.
Se administró un lavado exhaustivo. La artrotomía parapatelariana medial se cerró con estrafix. Los tejidos cutáneos se cerraron con Vicryl. Los tejidos subcutáneos se cerraron con Vicryl. La piel se cerraba con grapas.
A continuación, se aplicó un apósito estéril sobre la herida y el paciente fue trasladado a la unidad de cuidados postoperatorios en estado estable.
El paciente fue dado de alta de la atención postoperatoria tras 28 horas y pudo caminar con el peso de apoyo. El paciente no informó complicaciones y recibió aspirina para la profilaxis de la TVP. No hubo signos de infección en la herida quirúrgica en las visitas posteriores y se retiraron las grapas de la piel.


Radiografía postoperatoria de la rodilla izquierda que muestra visión AP y lateral
En visitas posteriores tras 3 meses, el paciente mostró un excelente rango de movimiento sin dolor de la rodilla izquierda. Afirmó que había cumplido con su programa de ejercicio en casa y con la fisioterapia. Desde entonces, el paciente ha vuelto a jugar al golf y no siente molestias al doblar la rodilla mientras hace jardinería.
Está satisfecho con el resultado de la cirugía y afirma que siente menos dolor en la rodilla derecha debido a la descarga de carga. El paciente informa de una sensación natural de rodilla en el lado operado. Él responde cuando es necesario.

