Un hombre de 62 años se presentó en nuestra consulta como paciente nuevo con quejas de dolor bilateral en la rodilla (más grande en la derecha que en la izquierda) durante los últimos 5 años. El paciente trabajó como agente penitenciario para el Departamento de Corrección de Nueva York. El paciente declaró que sufrió una lesión por resbalón y caída hace 5 años, lesionándose los tobillos, hombros y rodillas bilaterales.
Anteriormente estaba siendo tratado por dolor en la rodilla derecha por otro ortopedista en forma de inyecciones de cortisona y fisioterapia, pero sin alivio. El paciente afirmó que el dolor empeoraba con el tiempo a pesar de un manejo conservador en forma de fisioterapia, almohadillas térmicas, analgésicos e inyecciones de rodilla. El dolor le interrumpía el sueño por la noche y se sentía ansioso al subir escaleras o caminar rápido.
El paciente afirmó que estaba en un conflicto emocional por no poder realizar sus actividades diarias sin dolor y por no poder jugar con sus nietos. El paciente fue evaluado en nuestra consulta con un examen físico exhaustivo. El paciente no fumaba y era obeso, con un IMC de 31 y no tenía otras condiciones médicas.
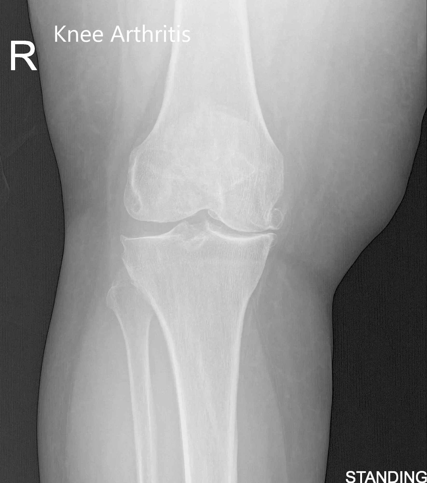
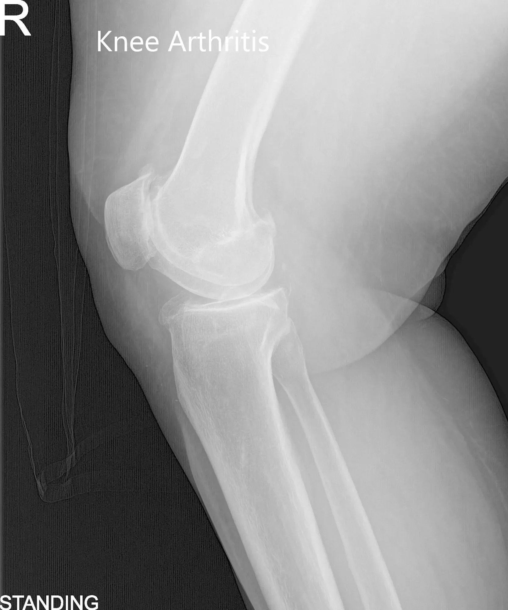
El examen físico reveló una deformidad genu-varo y una ligera inflamación en la articulación de la rodilla derecha. Hubo una crepitación articular marcada en todo el rango de movimiento con sensibilidad moderada en las líneas articulares medial y lateral y sensibilidad en las facetas rotulianas. Los estudios de imagen revelaron un estrechamiento marcado del compartimento articular medial y del compartimento articular patelofemoral con formación moderada de osteófitos.


Vistas preoperatorias de la rodilla derecha (de pie)
Tras una minuciosa consideración de las condiciones médicas y necesidades del paciente, se determinó que era candidato a una artroplastia total de rodilla derecha. Le ofrecieron un sistema personalizado de reemplazo de rodilla.
Se discutieron a fondo con el paciente los riesgos, beneficios, posibles complicaciones y alternativas. El paciente aceptó el procedimiento y se motivó a volver a su trabajo.
Un sistema de reemplazo de rodilla personalizado cuenta con los beneficios de implantes e instrumentos específicos para cada paciente.
Se realizó una tomografía computarizada preoperatoria de la rodilla del paciente, incluyendo cadera y tobillo, unas semanas antes de la cirugía. Las imágenes se utilizaron para construir un modelo 3D de la rodilla del paciente para la evaluación de la anatomía y la biomecánica. Los datos se utilizaron después para construir implantes e instrumentos específicos para cada paciente. Los implantes y herramientas personalizadas aseguran la preservación de los hueses y los tejidos blandos con una sensación más natural de la rodilla.

Plan quirúrgico completo específico para paciente de Ortopedia para una artroplastia total de rodilla derecha personalizada: hombre de 62 años.

Plan quirúrgico completo de ortopedia específico para paciente para una artroplastia total de rodilla derecha a medida: hombre de 62 años (ecografía 2)
El paciente se sometió a una artroplastia personalizada de rodilla total derecha.
Implantes utilizados: polietileno estabilizado posterior de 8 mm con placeta tibial, implante femoral de 32 mm,
Polietileno de 6 mm de espesor con un inserto de polietileno de 8 mm.
El paciente fue llevado al quirófano y colocado de forma definitiva. El anestesiólogo obtuvo anestesia. La rodilla derecha se colocó y preparó de forma estéril. Se realizó una incisión recta sobre la articulación de la rodilla tras la exsanguinación de la extremidad.
Se incisionaron la piel y los tejidos subcutáneos. Se realizó una artrotomía parapatela medial. Entonces la atención se centró en el fémur. Se colocó la guía distal de resección femoral en su posición. Se realizó la resección distal. Los cortes biselados anterior y posterior y los oblicuos se realizaron utilizando la guía de resección.
Entonces la atención se centró en la tibia. Se realizó la resección tibial. Las alineaciones se comprobaron con la rodilla extendida. La rótula fue evertida. Se realizó una resección rotuliana. Se hicieron agujeros de perforación en la rótula. Luego se colocó la rótula de prueba en su lugar.
Luego se centró la atención en el fémur tras equilibrar la rodilla y después de extirpar el LCA y el resto de los curciados. Se realizó el corte de muesca. El fémur de prueba fue colocado en su posición. Se colocó la tibia de prueba en su posición. Poly fue colocado en posición. Se logró una extensión completa de la rodilla. La rodilla tuvo flexión total intraoperatoria. El seguimiento de la rótula fue excelente.
Luego se retiraron los componentes de la prueba. Se administró una inyección para controlar el dolor postoperatorio. El fémur estaba cementado en su posición. Se retiró el exceso de cemento. La tibia estaba cementada en su posición. Se retiró el exceso de cemento. Se colocó poliuretano en posición, y luego se redujo la rodilla y se mantuvo en extensión total con el bulto bajo el ancla.
Luego Patella fue consolidada en posición. Se retiró el exceso de cemento. Tras endurecer el cemento, se retiró la pinza rotuliana. Se le dio un lavado exhaustivo. La artrotomía parapatela medial se cerró con Vicryl y Stratafix. Los tejidos cutáneos se cerraron con Vicryl, los subcutáneos se cerraron con 2-0 Vicryl y la piel se cerró con grapas.


Radiografía postoperatoria de la rodilla derecha del paciente mostrando visión AP y lateral
El paciente pudo soportar peso con apoyo el mismo día de la cirugía. En visitas posteriores, se comprobó que su herida no tenía ninguna infección y se retiraron grapas de la piel tras la cicatrización. Demostró un excelente rango de movimiento de la rodilla en visitas posteriores.
El paciente cumplió con el programa de fisioterapia y ejercicio en casa. Mostró un rango completo de movimiento, que no tuvo dolor en una revisión de 3 meses. Afirmó que podía conducir un coche, subir escaleras y jugar con sus nietos sin la ansiedad de provocar el dolor. El paciente afirmó que experimentó una mejora en la calidad del sueño y pudo retomar su trabajo como agente penitenciario. El paciente ha vuelto ahora a las actividades que disfrutaba antes del proceso de la enfermedad.

