Una mujer de 67 años acudió a nuestra consulta con quejas de dolor bilateral en la rodilla, que era mayor en el lado izquierdo. La paciente trabajaba como guardia de seguridad y declaró que resbaló y se cayó caminando sobre cemento mojado hace cuatro años, lesionándose ambas rodillas, hombros y zona lumbar. Fue atendida en un hospital y posteriormente dada de alta. Dijo que, mientras sus otras lesiones se resolvían, el dolor en la rodilla izquierda empeoró con el tiempo.
Consultó a un cirujano ortopédico por el dolor en la rodilla izquierda y fue sometida a desbridamiento artroscópico de las inyecciones articulares y de rodilla. Al principio, dijo que había sentido alivio, pero el dolor volvió. También dijo haber probado fisioterapia, almohadillas térmicas, medicación para el dolor y aparatos ortopédicos, pero con solo un alivio momentáneo.
La paciente afirmó que desde el último año el dolor en la rodilla izquierda ha restringido sus actividades diarias como caminar, subir escaleras, arrodillarse y levantarse de la silla. No podía pasear a su perro, una rutina que disfrutaba antes. Estaba visiblemente bajo un enorme sufrimiento emocional debido al dolor y recientemente había aprendido sobre la cirugía de reemplazo de rodilla por uno de sus compañeros.
En sus visitas a la consulta afirmó ser una exfumadora, que había dejado hace 20 años y que tenía antecedentes médicos de hiperlipidemia e hipertensión, ambos bien controlados con medicación. Su examen físico reveló una leve hinchazón en la rodilla izquierda. Al palpar, hubo sensibilidad en la línea articular medial y en la faceta de la rótula medial.
El paciente había tenido un ensayo previo de manejo conservador, pero presentaba dolor en la rodilla izquierda que limitaba el estilo de vida. Se determinó que era candidata para un reemplazo total de rodilla izquierda tras discutir detalladamente todas las opciones de manejo. Estaba muy motivada y esperaba con ilusión la operación. A la paciente se le ofreció la opción de un reemplazo de rodilla personalizado y ella aceptó el plan.


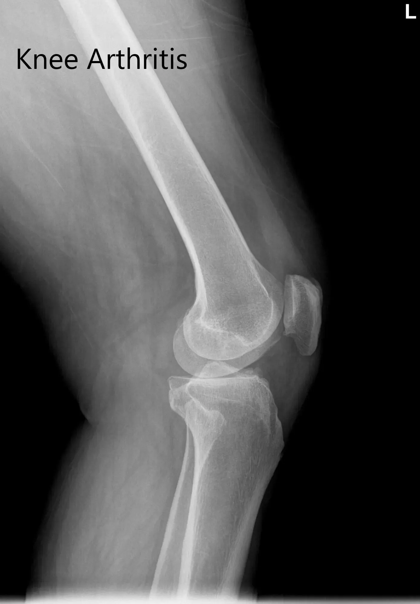
Radiografía preoperatoria de la rodilla izquierda que mostró visión AP y lateral
Los estudios de imagen demostraron el estrechamiento del espacio articular medial con cambios degenerativos. Se realizó una tomografía computarizada de la rodilla izquierda del paciente con cadera y tobillo unas semanas antes de la cirugía, demostrando osteoartritis tricompartimental. Los datos de la tomografía computarizada se utilizaron para crear un modelo 3D de la anatomía del paciente. Los datos se usaron después para crear implantes e instrumentos personalizados.
Los implantes y instrumentos personalizados permiten a los cirujanos lograr una alineación y recreación perfectas de la línea articular antes de que la enfermedad se desarrolle con preservación ósea. Se proporcionó un plan personalizado específico para cada paciente que detallaba el tamaño y los cortes del procedimiento para una alineación precisa. Se debían utilizar plantillas impresas en 3D desechables diseñadas exclusivamente para el paciente para realizar una resección ósea. Los detalles se detallaron en un plan preoperatorio.

Plan quirúrgico completo de ortopedia específico para paciente para un reemplazo personalizado de rodilla izquierda en una mujer de 67 años.

Plan quirúrgico completo de Ortopedia específico para un reemplazo personalizado de rodilla izquierda en una mujer de 67 años (escaneo 2)
Notas operativas:
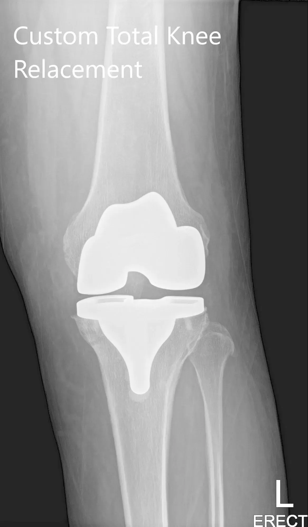
El paciente se sometió a una artroplastia total de rodilla izquierda utilizando el componente femoral personalizado con un componente tibial personalizado con una rótula de 32 mm y un inserto de polietileno de 8 mm.
Antes del procedimiento, el paciente fue llevado al quirófano y el anestesista le proporcionó anestesia. La rodilla izquierda quedó entonces definitivamente posicionada y colocada de la forma habitual y estéril. Se utilizó una incisión recta para la artrotomía tras la exsanguinación del miembro y elevar el torniquete.
Se incisionaron la piel y el tejido subcutáneo. Se realizó una artrotomía parapatelara medial. Luego se colocó la guía de corte femoral y se hicieron los cortes del fémur.
La guía de corte tibial se colocaba en su posición y se realizaban los cortes tibiales. Se usaron separadores laminares medialmente y luego lateralmente, y el resto de los meniscos y el cruciado se desbridaron. La rodilla estaba equilibrada. Los componentes de prueba se colocaron entonces en su lugar.
A continuación, se probó la rodilla a través del rango fisiológico de movimiento y se encontró que el seguimiento rotuliano era perfecto. Se sentía el rango de movimiento de la rodilla, la rodilla estaba muy bien equilibrada.

A continuación, se retiraron los componentes del ensayo y se cementó el componente femoral en su posición. Se retiró el exceso de cemento. El componente tibial se cimentó en su posición, el exceso de cemento lo quité.
El poliuretero se colocó en posición y la rodilla se redujo y se mantuvo en extensión total con un bulto debajo de la articulación de la rodilla.
La rótula se cimentó en su posición y se mantuvo dentro de una pinza rotuliana. Una vez que el cemento se endureció, se retiraba el exceso de cemento. La rodilla fue inyectada con Marcaine.
Tras endurecer el cemento, se retiró la abrazadera. Se cerró la artrotomía parapatela medial. Los tejidos cutáneos estaban cerrados, los tejidos subcutáneos cerrados, la piel cerrada con grapas.
Luego se aplicaban apósitos estériles sobre la herida y el paciente era trasladado a la unidad postoperatoria en estado estable.
La paciente pudo caminar con apoyo ese mismo día y su dolor estaba bien controlado. Le empezaron a tomar Aspirina 325mg de difusión intravenosa para la profilaxis de trombosis venosa profunda (TVP). En sus visitas posteriores, la herida resultó limpia, seca e intacta. Posteriormente se retiraron las grapas de la piel y ella provocó un excelente rango de movimiento en la rodilla izquierda.


Imágenes de radiografías postoperatorias que muestran la visión AP y lateral de la rodilla izquierda.
El paciente mostró una excelente adherencia a la fisioterapia y ejercicios de rango de movilidad. No reportó molestias en sus actividades diarias y estaba contenta de poder sacar a pasear a su perro. Había empezado un nuevo trabajo como trabajadora social y podía llevar a cabo sus actividades sin dolor ni molestias. Ella reportó una disminución del dolor en la rodilla derecha debido al reparto igual de la carga en ambas rodillas. Ella hace seguimiento regularmente cuando es necesario.

