La paciente es una mujer de 59 años que acudió a nuestra consulta con quejas de dolor bilateral en la rodilla (más en la izquierda que en la derecha). Ella dijo que el dolor empezó hace 4 años de forma insidiosa y que ha ido empeorando con el tiempo. Es una exatleta de atletismo y siente que sus rodillas se han deteriorado debido a su carrera deportiva.
La paciente trabaja actualmente en una consultora que requiere que esté sentada durante largas horas. Ella dice que el dolor de rodilla está empeorando y le cuesta levantarse desde su posición sentada. La paciente afirma que antes disfrutaba de pasear, algo que ahora no puede hacer, debido al dolor. Le resulta difícil doblar las rodillas o subir escaleras, lo que limita sus actividades diarias.
Hace 2 años se operó de la zona lumbar con un excelente alivio de los síntomas. La paciente también afirmó que hace 20 años se le hizo una reducción abierta y una fijación interna con un tornillo secundario a un deslizamiento y caída en la tibia superior izquierda. Tuvo un episodio de infarto de miocardio hace 5 años y actualmente está tomando medicación para la enfermedad de las arterias coronarias. Su hipertensión está bien controlada con medicación.
La paciente afirmó que le inyectaron varios geles para la rodilla, pero el alivio inicial del dolor no duró. También se sometió a un ensayo de manejo conservador en forma de férulas, medicación para el dolor y fisioterapia, pero solo con alivio temporal. Ella afirmó que ahora tiene dolor de rodilla que limita su estilo de vida.
El examen físico del paciente reveló una cicatriz horizontal sobre el tubérculo tibial izquierdo. Hubo hinchazón leve con genu varus y deformidad por flexión. El rango de movimiento de la rodilla izquierda se observó entre 10 y 95 grados. Se provocó sensibilidad en la línea articular medial y en la faceta de la rótula medial . El paciente estaba visiblemente angustiado por el dolor. Ella afirmó que quería explorar las opciones de la artroplastia de rodilla.
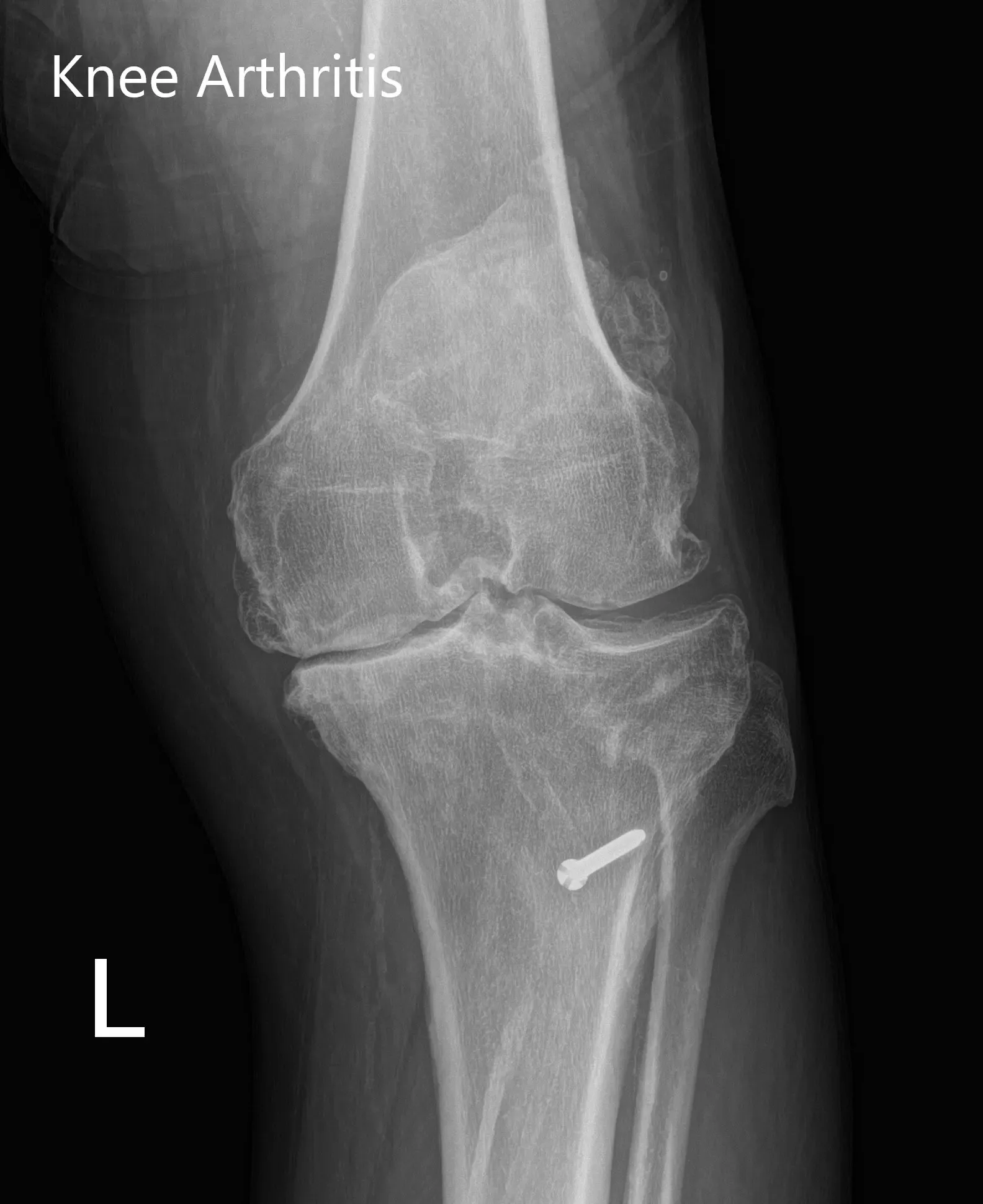
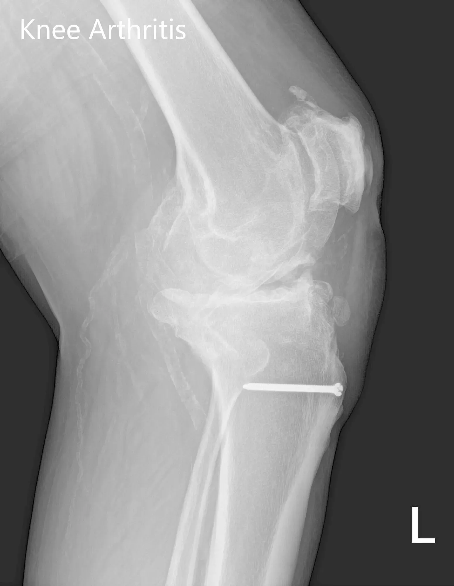
Sus estudios de imagen revelaron osteoartritis tricompartimental de la rodilla izquierda con un perno retenido (perno) en la tibia proximal izquierda. Tras evaluar sus condiciones médicas y examinarse físicamente, se consideró candidata para una prótesis de rodilla personalizada. Se le recomendó someterse solo al lado izquierdo debido a los antecedentes previos de infracciones miocárdicas y luego proceder a la rodilla derecha.
Se explicaron en detalle los riesgos y beneficios al paciente. Ella fue informada sobre opciones de tratamiento alternativas. Decidió seguir adelante con una prótesis personalizada de rodilla izquierda.


Radiografía preoperatoria de la rodilla izquierda que mostró visión AP y lateral con cambios osteoartríticos degenerativos y hardware retenido en la tibia proximal.
El paciente se sometió a una tomografía computarizada preoperatoria unas semanas antes de la cirugía. Los datos se utilizaron para crear instrumentos impresos en 3D personalizados e implantes únicos específicos para cada paciente. Los datos se utilizaron para crear un plan preoperatorio que detallaba cortes óseos y desplazamientos femorales. Los implantes personalizados aseguran que se preserve la mayor cantidad posible de hueso y que se recree la biomecánica biológica. 
Plan quirúrgico completo de Orthopedics específico para paciente para un reemplazo personalizado de rodilla izquierda en una mujer de 59 años.

Plan quirúrgico completo de Orthopedics específico para paciente para un reemplazo personalizado de rodilla izquierda en una mujer de 59 años (ecografía 2)

Plan quirúrgico completo de ortopedia específico para paciente para un reemplazo personalizado de rodilla izquierda en una mujer de 59 años (Escaneo 3)
Informe operativo:
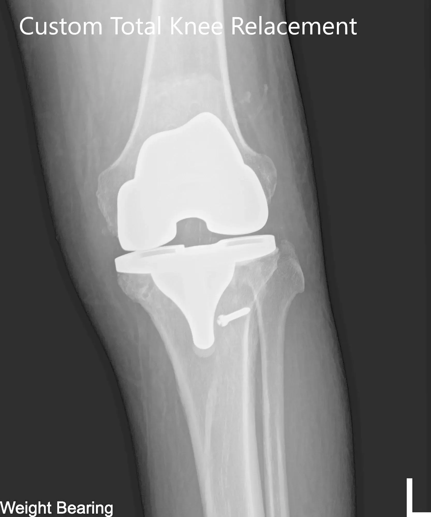
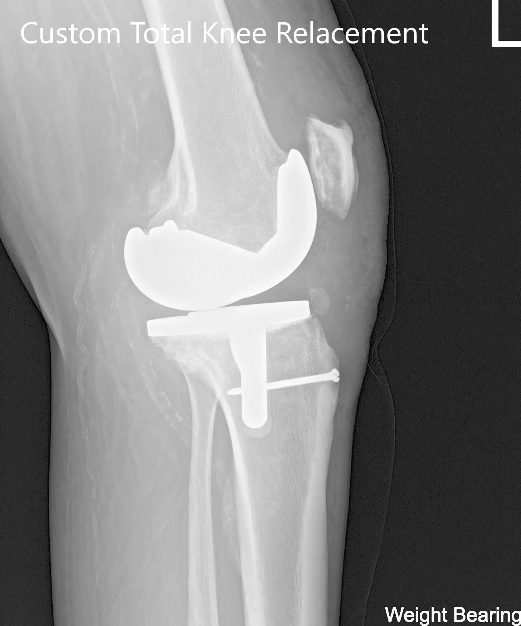
Implante – Artroplastia total de rodilla izquierda usando fémur personalizado, tibia, rótula y polietileno de 6 mm personalizados
El paciente fue llevado al quirófano tras obtener el consentimiento informado y firmar el lugar quirúrgico correcto. Los riesgos, beneficios y alternativas se discutieron extensamente con el paciente antes del procedimiento. El paciente entiende que el mayor riesgo de problemas médicos tiene en cuenta sus problemas previos a la cirugía.

El paciente fue llevado al quirófano y el anestesista le obtuvo la anestesia. El paciente estaba definitivamente posicionado y la extremidad inferior izquierda fue colocada y preparada de forma estéril habitual. Se colocó una esposa y se utilizó el Esmarch para exsanguinar el miembro.
La incisión recta se utilizó para la artrotomía. Se incisionaron la piel y los tejidos subcutáneos. La fascia se dividió entonces. Se realizó una artrotomía parapatela medial y la rodilla quedó expuesta. La tibia estaba subluxada y la tibia se preparaba usando el jig personalizado.
Entonces la atención se centró en el fémur. Utilizando la instrumentación personalizada, se realizaron cortes anterior, posterior y biselado. Se usaron separadores laminares tanto en la medial como en la lateral, con el resto medial y lateral del menisco, y luego se desbridaron los cruciados. A continuación, se extrajeron los osteófitos posteriores.
La atención se centró entonces en la rótula. Se realizó una resección rotuliana. Los agujeros de perforación se hicieron en la rótula. Se colocó la rótula de prueba en su lugar. Entonces la atención volvió a centrarse en la tibia.
La tibia estaba preparada. Se preparó la muesca femoral. Se colocó el fémur de prueba en su posición seguido del polígrafo de prueba. La rodilla estaba extendida en todo el rango de movimiento. No hubo contractura por flexión. Se logró la extensión completa.
Luego se retiraron los componentes de la prueba. Se le aplicó la inyección. Se administró un lavado exhaustivo. El fémur estaba cementado en su posición. Se retiró el exceso de cemento. La tibia estaba cementada en su posición. Se retiró el exceso de cemento. Se colocó poliuretano en posición y se redujo la rodilla y se mantuvo en extensión total con un bulto en la espalda. La rótula se cementaba en su posición y se mantenía en su posición con una pinza rotuliana. El exceso de cemento se eliminaba después de que el cemento se endurecía. Se retiró la pinza rotuliana.
Se realizó un lavado exhaustivo. La artrotomía parapatela medial se cerró con Vicryl y con V-Loc. los tejidos cutáneos se cerraron con 0 Vicryl. Los tejidos subcutáneos se cerraron con Vicryl 2-0. La piel se cerraba con grapas. Se aplicó un apósito estéril sobre la herida. El paciente fue trasladado entonces a la unidad de cuidados postoperatorios en estado estable.


Radiografía postoperatoria de la rodilla izquierda que mostró visión AP y lateral
El paciente tuvo una recuperación postoperatoria acelerada. Ella estaba apoyando peso caminando con apoyo ese mismo día. Su dolor estaba bien controlado con medicación y le empezaron a administrar aspirina 325 mg de difusión por parte de la ventosa para la profilaxis de trombosis venosa profunda. En sus visitas posteriores, le quitaron las grapas. Su herida quirúrgica estaba limpia, seca e intacta.
Comenzó con fisioterapia y un régimen de ejercicio en casa. El paciente cumplió con el régimen y mostró un rango completo de movimiento. Volvió felizmente al trabajo y disfrutó de sus visitas al supermercado paseando. Pudo continuar con sus actividades diarias y estaba entusiasmada con los resultados. Le recomendaron hacer un seguimiento para el reemplazo de la rodilla derecha.

