Una mujer de 58 años se presentó en nuestra consulta quejándose de un dolor cada vez mayor en la rodilla derecha. Ella notó el dolor por primera vez hace 10 años tras una lesión por torsión durante una excursión. Ella afirmó que le diagnosticaron un menisco desgarrado. Se sometió a una reparación meniscal y una cirugía artroscópica con un médico externo.
Ella informó que el dolor mejoró inicialmente tras la operación, pero volvió gradualmente unos meses después de la operación. Describe el dolor como un dolor sordo, mayor en la parte interna de la rodilla. El dolor era especialmente peor después de actividades como subir escaleras o doblar las rodillas.
Recientemente, el dolor había ido a peor durante el último año, limitando sus actividades diarias. Le resulta cada vez más difícil caminar más de 2 manzanas y realizar actividades que implican agacharse, arrodillarse o sentarse durante mucho tiempo. Es profesora jubilada y actualmente hace voluntariado en un hospital.
El paciente era fumador activo (10 paquetes de años) con antecedentes médicos de enfermedad coronaria (CAD), dislipidemia y varices. Su historial quirúrgico incluyó una arteria coronaria con stent y una ablación láser endovenosa de las venas safenas mayores y menores izquierdas.
Anteriormente había recibido inyecciones de rodilla en forma de ácido hialurónico y cortisona. Describió un breve alivio de síntomas que no duró más de 5 semanas. También probó otros tratamientos conservadores como fisioterapia y almohadillas térmicas, pero sin alivio.
La paciente estaba visiblemente ansiosa y angustiada por el dolor que afectaba a su estilo de vida. Describió que se ponía nerviosa al realizar sus actividades diarias como consecuencia del dolor. Ella dijo que no estar activa la hacía emocionalmente vulnerable.
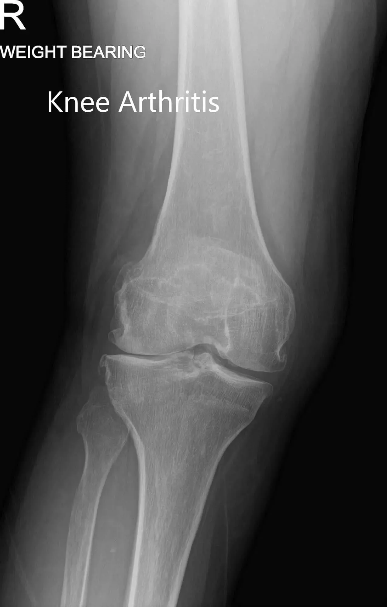
Su examen físico reveló una leve hinchazón en la rodilla derecha sin eritema ni aumento de temperatura. Había una línea articular medial y sensibilidad en la faceta rotuliana. El rango de movimiento era completo y sin deformidades. No había déficit neurológico distal. El examen de sus tobillos y rodillas bilaterales no fue nada destacable. Sus estudios de imagen revelaron una osteoartritis tricompartimental severa de la rodilla derecha.
A la paciente se le dio una educación para dejar de fumar, en la que se le motivó a dejar de fumar. Sus medicamentos actuales incluían Vasotec, simvastatina y aspirina. Tras considerar cuidadosamente su estilo de vida limitando el dolor de rodilla y las comorbilidades, le recomendaron una prótesis total personalizada.
Los riesgos, beneficios y posibles complicaciones, especialmente siendo un paciente de alto riesgo debido a la enfermedad coronal y al tabaquismo, se discutieron en profundidad con el paciente. Ella aceptó seguir adelante con el procedimiento.
Se realizó una tomografía computarizada preoperatoria de la rodilla derecha junto con la cadera y el tobillo varias semanas antes del procedimiento. Esto ayudó a comprender mejor la anatomía y biomecánica de la rodilla del paciente. Los datos se utilizaron para construir un implante específico para cada paciente. Se construyeron bloques de corte desechables para crear resección ósea según lo descrito en un plan quirúrgico preoperatorio.


Radiografía preoperatoria con soporte de peso que muestra la visión AP y lateral de la rodilla derecha
Plan quirúrgico completo de Orthopedics específico para un reemplazo total de rodilla personalizado en una mujer de 58 años con artritis.

Plan quirúrgico completo de Orthopedics específico para paciente para un reemplazo total de rodilla personalizado en una mujer de 58 años con artritis (escaneo 2)
Un plan quirúrgico preoperatorio que detalla los cortes óseos y las compensaciones femorales
Informe operativo:
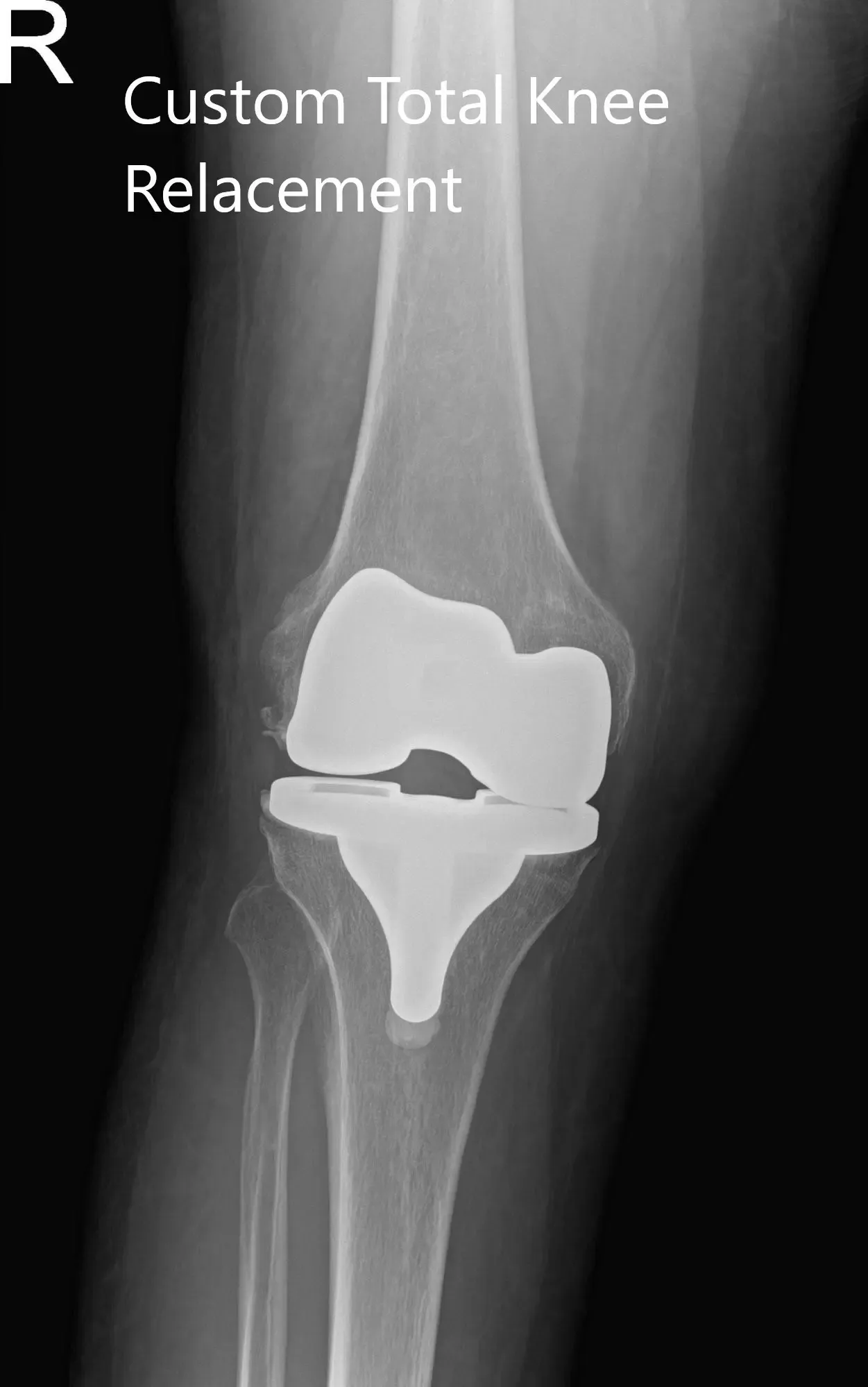
El implante utilizado: Implante femoral personalizado con una bandeja tibial personalizada con inserto de polietileno de 6 mm y rótula de 32 mm x 8,5 mm.
Descripción del procedimiento: El paciente fue llevado al quirófano tras obtener el consentimiento informado y firmar el lugar quirúrgico correcto. Los riesgos, beneficios y alternativas se discutieron extensamente con el paciente antes del procedimiento.

El anestesiólogo obtuvo anestesia. A continuación, el paciente fue colocado de forma definitiva y se utilizó el torniquete para exsanguinar las extremidades. Se utilizó una incisión recta para la artrotomía. Se incisionaron la piel y los tejidos subcutáneos. A continuación, se realizó una artrotomía parapatela medial. La guía de corte tibial se utilizaba para realizar el corte tibial y luego se preparaba la tibia.
Entonces la atención se centró en el fémur. Las guías de corte femoral se usaron para preparar el fémur y luego se emplearon separadores laminares y el resto de las cruciatas y el menisco se desbridó. Se realizó un balanceo de espacios que resultó ser perfecto.
La rótula fue resecada. Se hicieron agujeros de perforación en la rótula. Se colocó la rótula de prueba en su posición, seguida de una prueba del fémur, la tibia de prueba y luego se colocó polietileno sobre la tibia.
Se redujo la rodilla y se probó mediante un rango fisiológico completo de movimiento y se observó una excelente estabilidad y un excelente seguimiento de la rótula. Luego se retiraron los componentes de la prueba.
Se le administró la inyección. Se le dio un lavado exhaustivo. El fémur estaba cementado en su posición. Se retiró el exceso de cemento. La tibia estaba cementada en su posición. Se retiró el exceso de cemento.
Luego se colocó poliuretano sobre la tibia y se redujo la rodilla y se mantuvo en extensión total con un bulto bajo el tobillo. La rótula se fijó en su posición y se sujetó con una pinza rotuliana. La artrotomía patuliana medial se cerró con Vicryl y Stratafix. La herida estaba cerrada en capas. Luego se aplicó un apósito estéril sobre la herida. Luego se bajó el torniquete y el paciente fue trasladado a la unidad de cuidados postoperatorios en estado estable.


Radiografía postoperatoria del paciente que mostró visión AP y lateral de la rodilla derecha
La recuperación postoperatoria fue excelente, solo con quejas de dolor, que se controló bien con medicación para el dolor. Pudo caminar con apoyo el mismo día de la cirugía. El día 15 postoperatorio le quitaron las grapas y la herida quedó seca, limpia y curada. Siguió motivada sin fumar y estaba satisfecha con el resultado de la cirugía.
Se inició fisioterapia para recuperar la fuerza muscular y mejorar la flexibilidad. Se quejó de cierta rigidez para la que se inició la terapia de frío y la terapia de movimiento pasivo continuo. Tras tres meses, había concluido con éxito su fisioterapia y no reportó dolor en la rodilla derecha. Desde entonces había vuelto a hacer voluntariado en el hospital y estaba más activa socialmente debido a su mayor movilidad.

