Un paciente de 68 años acudió a nuestra consulta con quejas de dolor bilateral en la rodilla. El paciente afirmó que el dolor comenzó de forma insidiosa hace dos años, sin ninguna caída o trauma evidente. El dolor era especialmente peor en la rodilla izquierda.
El dolor se describió como una molestia sorda que no se irradiaba. La intensidad fue de moderada a severa (mayor que derecha izquierda por encima de la derecha). Fue especialmente peor en actividades como caminar o estar de pie prolongadamente, agacharse, arrodillarse, girar o girar.
Expresó dificultad para subir escaleras y su tolerancia al caminar era inferior a una manzana debido al dolor. La patente también se quejaba de rigidez en las rodillas tras intentar levantarse de una silla.
Anteriormente había consultado a otro médico por el dolor, quien le recetó tres inyecciones de cortisona en la rodilla izquierda. También probó fisioterapia y almohadillas térmicas, pero con un alivio mínimo. Recientemente, el dolor en la rodilla izquierda era tan intenso que en ese momento no podía dormir.
El paciente trabajaba como editor para una revista y últimamente no había podido conducir ni sentarse durante largos periodos de tiempo. Le resultaba difícil realizar sus actividades diarias. Estaba bastante reticente a caminar y usaba un bastón como dispositivo de ayuda.
No fumaba ni bebía. Negó cualquier alergia conocida a los medicamentos. Su historial médico previo fue positivo en hipertensión y dislipidemia. Ambas condiciones médicas estaban bien controladas con medicación.
En el examen físico, su marcha era antálgica con una fase de postura reducida en el lado izquierdo. No había evidencia de ninguna deformidad en el genu valgum ni en el genu varus. Hay hinchazón leve con una punción rotuliana positiva.
Había sensibilidad en las líneas articulares mediales y laterales. La prueba de esfuerzo de varus y valgo fue negativa a 0 grados, 30 grados y 60 grados. El tendón rotuliano y del cuádriceps estaba intacto y no sensible. Las pruebas de cajón anterior y posterior y la prueba de Lachman dieron negativo para inestabilidad.
Dolor y crepitación estaban presentes a lo largo de todo el arco de movimiento. El rango de movimiento oscilaba entre 20 y 100 grados. Había una deformidad fija de flexión de 20 grados. El examen de la rodilla derecha reveló hallazgos similares. El examen de las caderas y tobillos bilaterales fue normal.
El volumen y el tono de los músculos bilaterales de las extremidades inferiores eran normales. El examen neurológico de las extremidades inferiores no reveló déficit. Los pulsos bilaterales en las extremidades inferiores fueron palpables y comparables.
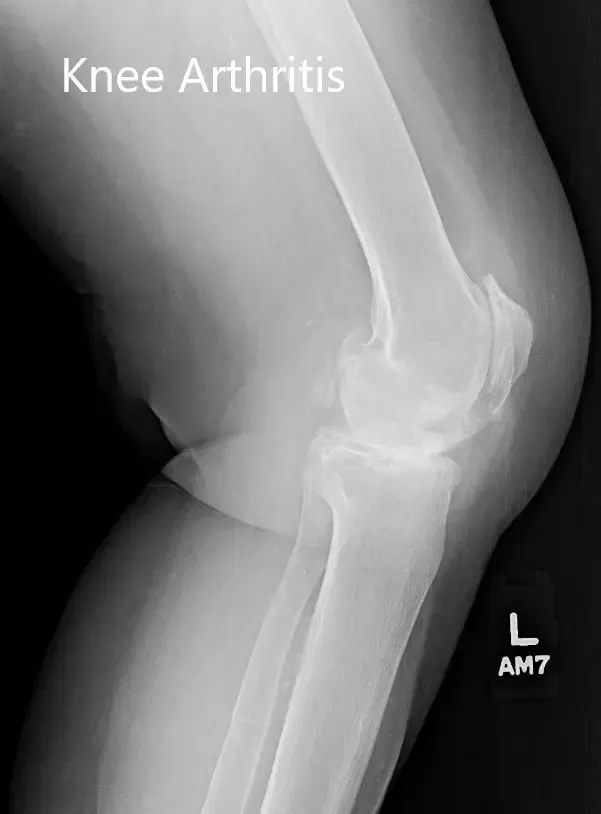
Los estudios de imagen revelaron osteoartritis bilateral severa. La rodilla izquierda estaba peor que la derecha. Teniendo en cuenta el dolor de rodilla limitante en el estilo de vida del paciente, se le recomendó un reemplazo total de rodilla izquierdo. Los riesgos, beneficios y alternativas se discutieron extensamente con el paciente y su hijo. Decidió seguir adelante con el procedimiento.


Radiografía preoperatoria de la rodilla izquierda que mostró osteoartritis severa en las vistas anteroposterior y lateral.

Radiografía preoperatoria que muestra la vista de la rótula con artritis patelofemoral severa
OPERACIÓN: Artroplastia total de rodilla izquierda.
IMPLANTES UTILIZADOS: rótula totalmente poli de 52 mm con fémur tamaño 6 y tibia tallada tamaño E con extensión de tallo de 14 mm.
DESCRIPCIÓN DEL PROCEDIMIENTO: El paciente fue llevado al quirófano tras obtener el consentimiento informado, firmando en el lugar quirúrgico correcto. Los riesgos, beneficios y alternativas se discutieron extensamente con el paciente y con el hijo antes del procedimiento.
El paciente fue llevado al quirófano y colocado el torniquete sobre el muslo izquierdo. La extremidad inferior izquierda se cubrió y preparó de forma estéril habitual tras obtener la anestesia. Se utilizó una incisión recta para la artrotomía. Luego se incisionaron la piel y los tejidos subcutáneos.
A continuación, se realizó una artrotomía parapatela medial. La rodilla quedó expuesta. El fémur quedó expuesto y la guía de corte distal se colocó en posición tras realizar agujeros en el canal femoral. A continuación, se realizó el corte distal. A continuación, se realizaron los cortes anterior, posterior y biselado.
Entonces la atención se centró en la tibia. A continuación, se realizó el corte tibial. Luego se rompió la tibia. Luego se resecó el fémur para obtener la muesca. El menisco se desbridó medial y lateralmente. Luego se desbridaron los cruciatos. A continuación, se realizaba el balanceo de brechas. El equilibrio de espacios era perfecto.
El fémur de prueba se colocó en su posición, seguido por la tibia y el poli de prueba. A continuación, se realizó la resección rotuliana. A continuación, se colocó la rótula de prueba y se probó la rodilla mediante un rango de movimiento. La deformidad fija de flexión de 20 grados ya no existía.
Se obtuvo la flexión completa. Luego se retiraron los componentes de la prueba. El cemento estaba mezclado. Se administró un lavado exhaustivo. Después, el hueso se secó. El fémur se cimentó en su posición, seguido por la tibia. Luego se colocó el poliureno en su sitio. Se retiró el exceso de cemento. La rodilla se redujo y se mantuvo en extensión total con un bulto bajo el tobillo.
La rótula se instrumentaba para colocarla y se sujetaba con una pinza rotuliana. Tras endurecer el cemento, se retiró la pinza rotuliana. Se usó Everstill. La inyección se administró para aliviar el dolor periarticular.
El compartimento parapateliano medial se cerró con Ethibond y Quill. Los tejidos subcutáneos se cerraron con O Vicryl. Los tejidos subcutáneos se cerraron con Vicryl 2-0. La piel se cerraba con grapas. Se aplicó un apósito estéril en la herida y el paciente fue trasladado a la unidad de cuidados postoperatorios en estado estable.
Se exsanguinó el miembro y el torniquete se elevó antes de la incisión, y tras la incisión, el torniquete fue bajado. El paciente fue trasladado entonces a la unidad de cuidados postoperatorios en estado estable.


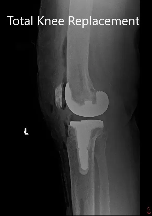
Radiografía postoperatoria que muestra la articulación de la rodilla izquierda con prótesis en vistas anteroposterior y lateral
La paciente tuvo una buena recuperación postoperatoria con constantes constantes. Pudo caminar con apoyo el mismo día de la cirugía. Sus pantorrillas estaban blandas y no sensibles, con signo Homan negativo. El dolor estaba bien controlado con medicación.
Le recetaron aspirina para la profilaxis de trombosis venosa profunda. Se inició fisioterapia para aumentar la fuerza y la flexibilidad. Las suturas se retiraron tras la operación al día 15 sin complicaciones. La herida estaba limpia, seca y había cicatrizado bien.
Doce semanas después de la operación, caminaba sin ningún apoyo y sin dolor. Tenía un rango completo de movimiento y continuó con un programa de ejercicio en casa. Volvió a su trabajo y expresó satisfacción con el resultado. Informó de una disminución del dolor en la rodilla derecha como resultado de la descarga de carga.
Aviso legal – El nombre, edad, sexo, fechas y eventos del paciente han sido modificados o modificados para proteger su privacidad.

