Un ingeniero de software de 59 años se presentó en nuestra consulta con quejas de crepitación en la articulación de la rodilla derecha asociada al dolor. El paciente afirmó que el dolor empezó de forma insidiosa hace 4 años y que había empeorado significativamente. No podía realizar sus actividades diarias y el dolor interfería con su sueño.
El paciente describe el dolor como una molestia sorda localizada en el lado interno derecho de la articulación de la rodilla. El dolor mejoraba con el descanso y se acentuaba con actividades como caminar, girar, girar, subir y bajar escaleras, arrodillarse o agacharse. Describió una rigidez asociada en la articulación de la rodilla, que empeoraba especialmente tras estar sentado durante largos periodos de tiempo.
El dolor era de intensidad moderada a intensa. El paciente negó cualquier radiación del dolor. Anteriormente había probado almohadillas térmicas y recibió 3 inyecciones de cortisona de un médico externo. También informó que había probado fisioterapia y un programa de ejercicio en casa sin alivio significativo.
Secundario a un dolor en la rodilla derecha, había cambiado recientemente su horario de trabajo. Le resultaba difícil sentarse en una silla durante mucho tiempo. No había jugado al golf en los últimos 7 meses y se sentía triste por no poder unirse a sus amigos al partido. Hoy estaba consultando para hablar sobre opciones de cirugía.
Tenía un sobrepeso moderado, estaba bien alimentado y bien formado. Su historial médico previo fue positivo para diabetes bien controlada con agentes hipoglucémicos orales. También estaba medicado para la dislipidemia y la hipertrofia benigna de la próstata. Había sido fumador de puros y bebía alcohol ocasionalmente.
Su examen físico reveló sensibilidad en las líneas articulares mediales y laterales y en las facetas rotulianas. No había hinchazón, eritema ni aumento local de temperatura. El rango de movimiento estaba terminalmente restringido como consecuencia del dolor. El examen de la rodilla contralateral reveló cambios osteoartríticos leves.
El examen de la cadera y los tobillos bilaterales fue normal. Las pruebas de cajón anterior y posterior, la prueba de Lachman, la prueba de esfuerzo de valgo y varo, el desplazamiento de pivote y la prueba de dial fueron negativas. El examen de potencia y sensorial de las extremidades inferiores bilaterales no fue nada destacable.
Las imágenes revelaron osteoartritis bilateral severa de rodilla. El paciente presentaba síntomas principalmente en la rodilla derecha, por lo que se le recomendó un reemplazo total personalizado. Se discutieron en detalle con el paciente los riesgos, beneficios y posibles complicaciones. Estaba muy motivado para volver a su estado habitual y optó por una artroplastia total personalizada.
Como parte de la preparación de los implantes personalizados, se realizó un TAC preoperatorio unas semanas antes de la cirugía. Los resultados se utilizaron para crear imágenes 3D de la anatomía única del paciente. Luego se fabricaron implantes personalizados junto con instrumentos desechables a medida. Se formalizó un plan preoperatorio para facilitar la cirugía en cortes y alineaciones precisos.

Radiografía preoperatoria que muestra la vista panorámica de las articulaciones bilaterales de la rodilla.
OPERACIÓN: Artroplastia total de rodilla derecha.
IMPLANTES UTILIZADOS: Componente femoral remodelado personalizado con un componente tibial personalizado con polietileno tamaño 6.
DESCRIPCIÓN DEL PROCEDIMIENTO: El paciente fue llevado al quirófano. Tras obtener el consentimiento informado, firmar el lugar quirúrgico correcto, se discutieron extensamente con el paciente los riesgos, beneficios y alternativas antes del procedimiento.
Luego se anestesió al paciente y se cubrió y preparó la extremidad inferior derecha de la manera habitual y estéril. Se utilizó un Esmarch para exsangrepar el miembro y la incisión recta para la artromía. Se incisionaron la piel y los tejidos subcutáneos. A continuación, se realizó la artrotomía parapatelara medial.
La disección tibial se realizó después utilizando la guía tibial personalizada. La guía de corte distal femoral se utilizaba para realizar el corte distal y los cortes biselados se hacían usando la guía de corte biselado. A continuación, se realizó el corte de muesca.
La atención se centró entonces en la rótula. A continuación, se realizó la resección rotuliana y se hicieron los agujeros de perforación en la rótula. A continuación, se colocó la rótula de prueba en su lugar. El separador laminar se utilizaba tanto media como lateralmente, y el resto del menisco y los cruces se dividían.
Luego se revisaron los espacios de flexión y extension. A continuación, se hizo el punzón tibial y los orificios de las tapas en la tibia. El fémur de prueba se colocó en su posición seguido de la tibia de prueba. El poliuretano se colocó en su sitio. La rodilla se probó entonces en un rango completo de movimiento. La ampliación fue excelente. Se obtuvo la flexión completa. El seguimiento de la rótula fue excelente. 
Plan quirúrgico completo de Orthopedics específico para un reemplazo de rodilla personalizado adecuado en un hombre de 59 años.

Plan quirúrgico completo de Ortopedia específico para paciente para un reemplazo de rodilla personalizado derecho en un hombre de 59 años (escaneo 2)

Luego se retiraron los componentes de la prueba. Se realizó un lavado exhaustivo. Se le administró una inyección. El fémur estaba cementado en su posición. Se retiró el exceso de cemento.
La tibia estaba cementada en su posición. Se retiró el exceso de cemento. Luego se colocó Poly en posición. La rodilla se redujo y se mantuvo con extensión total con un bulto bajo el tobillo.
La rótula se cementaba en su posición y se mantenía en su posición con una pinza rotuliana.
Después de que el cemento se endureció, se retiró la abrazadera de rótula. La artrotomía parapatelara medial fue cerrada.
‘El tejido cutáneo estaba cerrado. El tejido subcuticular estaba cerrado. La piel se cerraba con grapas.
Luego se aplicó un apósito estéril sobre la herida y se liberó el torniquete. El paciente fue trasladado a la unidad de cuidados postoperatorios en condición estable.


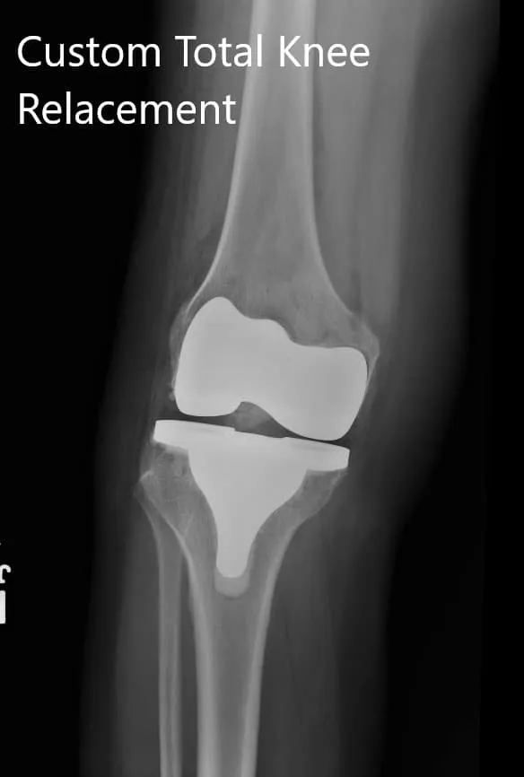
Imágenes postoperatorias que muestran vistas AP y oblicuas de la rodilla derecha.
El paciente pudo soportar peso en la pierna derecha el mismo día de la cirugía. El dolor se controló con oxicodona y paracetamol. Se administró aspirina para la profilaxis de la trombosis venosa profunda. El paciente cumplió con el programa de fisioterapia y ejercicio en casa.
Concluyó con éxito su fisioterapia en 3 meses. Caminaba sin ningún apoyo y demostró un rango de movimiento completo sin dolor. Trajo una foto suya jugando al golf. Había vuelto a su rutina anterior y estaba satisfecho con el resultado del procedimiento.
Aviso legal – El nombre, edad, sexo, fechas y eventos del paciente han sido modificados o modificados para proteger su privacidad.

