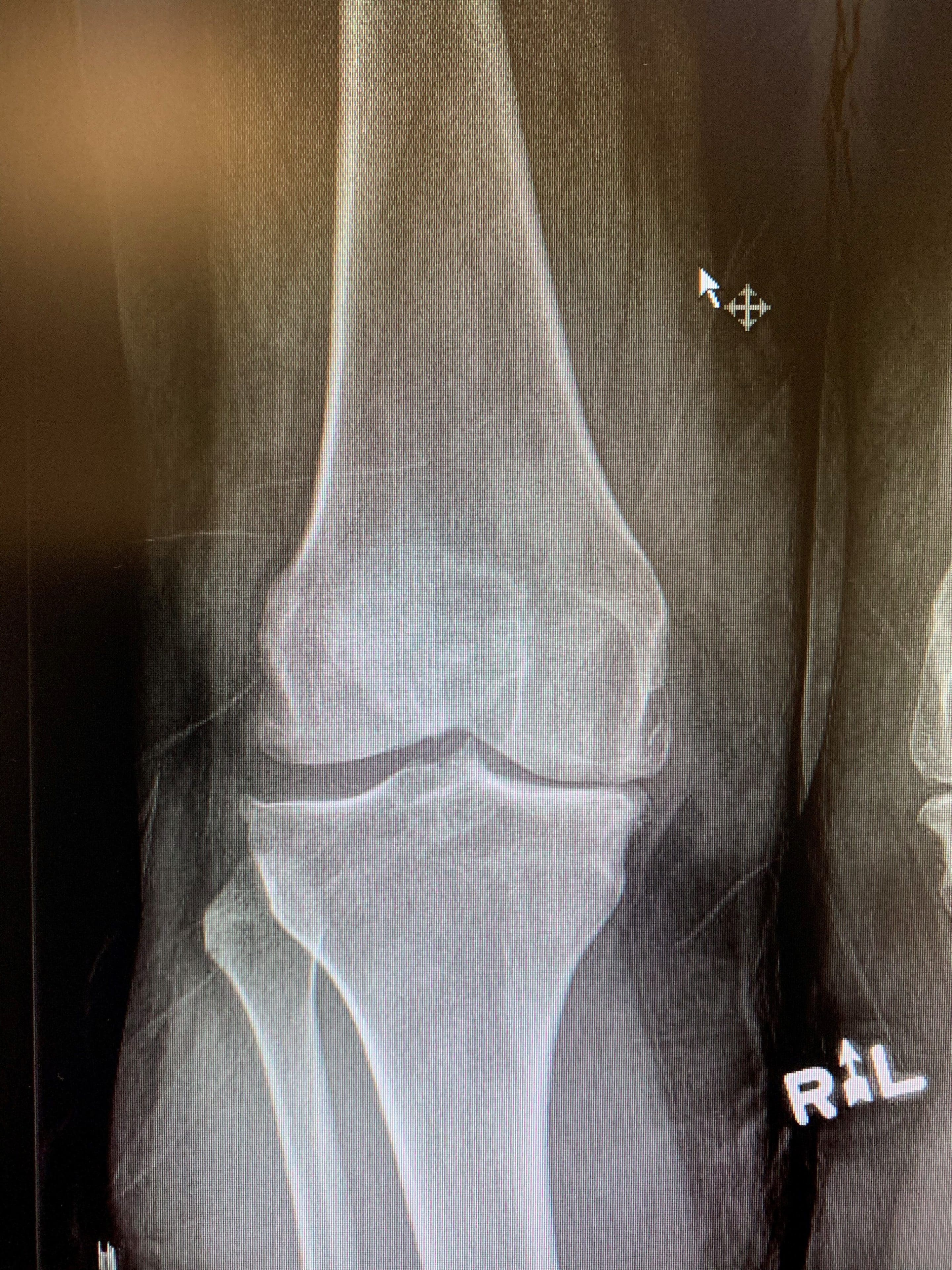
Un hombre de 63 años que fue derivado a nuestra clínica con artritis terminal de rodilla izquierda para su consideración para un reemplazo total de rodilla. Lo evaluamos en nuestra clínica, incluyendo su historial médico y su idoneidad para el manejo quirúrgico de su artritis.
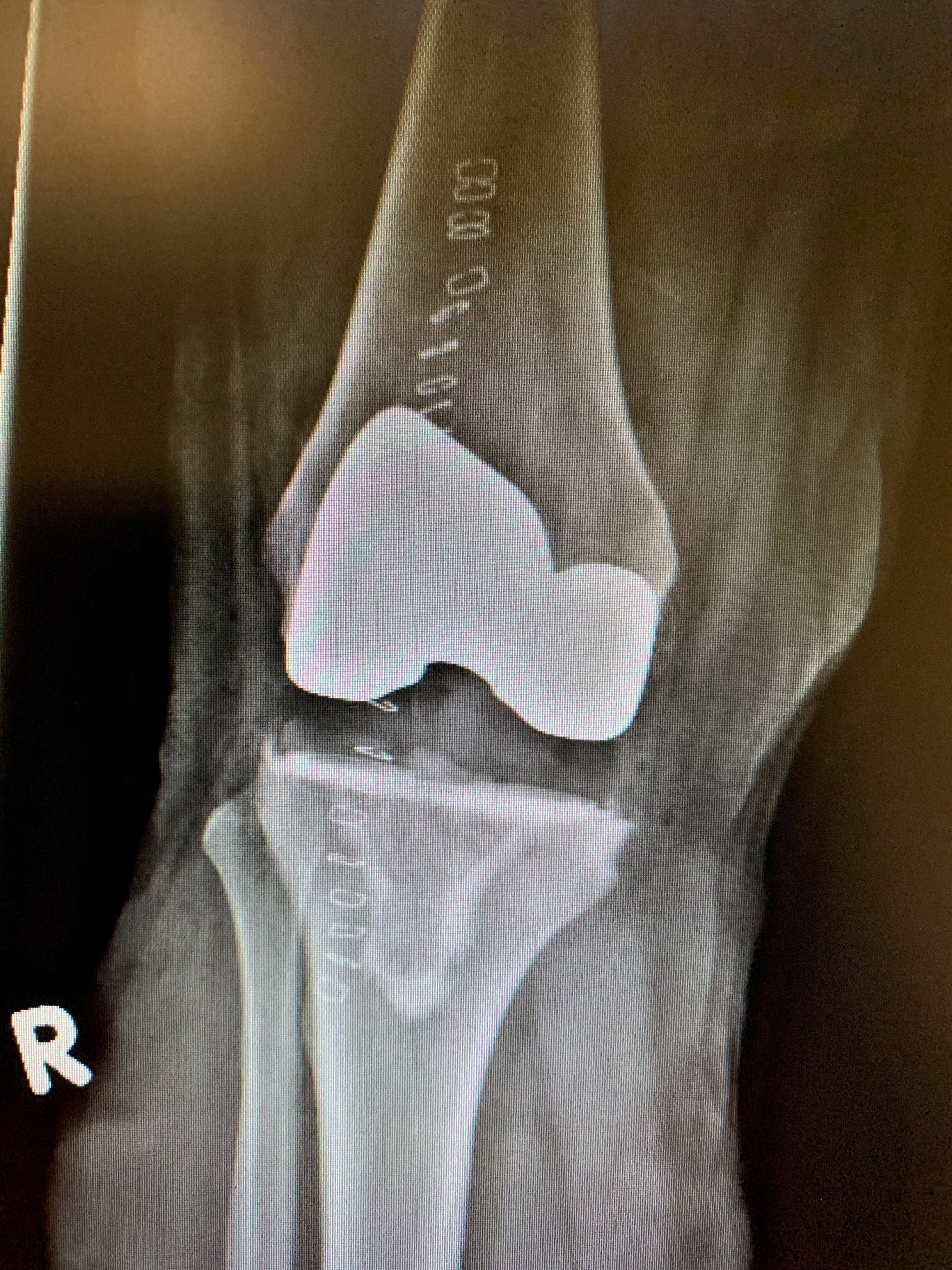
Finalmente lo consideramos candidato para la cirugía de artroplastia de rodilla y también pudimos ofrecerle una cirugía de instrumentación de rodilla específica para cada paciente. Esto implicó enviar al Sr. TF a una resonancia magnética de rodilla que de otro modo no habría recibido si estuviera recibiendo una cirugía estándar de instrumentación de rodilla. Esta exploración se envió luego a la empresa de implantes, que la utilizó para crear instrumentos específicos para la anatomía de rodilla del Sr. TF.
Estos instrumentos personalizados nos permitieron realizar cortes óseos específicos que coincidían con la superficie interna de la prótesis de rodilla. La ventaja de estos cortes es que resultan en la extracción mínima de hueso para completar el procedimiento. Los pasos del procedimiento en sí no cambian, y los componentes implantados coinciden con la geometría de la superficie externa de los implantes estándar para replicar una biomecánica optimizada.
El Sr. TF se recuperó muy bien de su procedimiento y fue dado de alta del hospital al día siguiente de la operación. Está bien un año después de la cirugía, y está satisfecho de haber tenido la oportunidad de beneficiarse de instrumentación específica para su anatomía, y la recomendaría a cualquiera que tenga una oportunidad similar.
Preoperatorio

Postoperatorio


