Una mujer de 76 años acudió a nuestra consulta con quejas de dolor bilateral en la rodilla. Ella afirma que el dolor de rodilla es especialmente peor en la rodilla derecha. No recordaba el inicio exacto del dolor de rodilla. Ella dijo que el dolor empezó hace 4-5 años.
El dolor era leve al principio, pero fue progresando gradualmente hasta una intensidad intensa. Anteriormente había recibido inyecciones de gel en ambas rodillas, pero el alivio inicial no duró mucho. También recibió inyecciones de cortisona en la rodilla, con alivio reportado solo durante una semana.
También asistió a una terapia física ambulatoria y a un programa de ejercicio en casa. Siente que el dolor empeoró tras algunos ejercicios que hizo en terapia. Siente alivio con hielo y descanso. Toma Advil y Tylenol SOS para el dolor.
El dolor se describió como una molestia sorda localizada en lo profundo de la rodilla. No había radiación del dolor. Se quejaba de un aumento del dolor con actividades como caminar, ponerse de pie, levantarse de una silla, subir escaleras, agacharse, arrodillarse y girarse.
Era profesora jubilada y estaba bastante angustiada por la limitación de su estilo de vida debido al dolor. No puede caminar más de una manzana debido al dolor. Usaba un bastón como dispositivo de ayuda. Dijo que subió escaleras paso a paso y usó la barandilla.
No fumaba y negaba cualquier alergia conocida a los medicamentos. Actualmente estaba tomando Lipitor e Hidroclorotiazida para la hipercolesterolemia y la hipertensión. Ambas condiciones médicas estaban bien controladas con medicación.
En el examen físico, había crepitación en todo el rango de movimiento de ambas rodillas. Había sensibilidad en las líneas articulares mediales y laterales derechas. Había ternura en las facetas rotulianas. El rango de movimiento de la rodilla derecha iba de 10 a 110 grados. La rodilla izquierda se comportaba mejor con un rango de movimiento de 0 a 120 grados.
El arco de movimiento de ambas rodillas era doloroso. No había evidencia de laxitud o inestabilidad articular en todos los planos. El examen de las caderas y tobillos bilaterales fue normal.
No había déficit neurológico distal. El volumen y el tono de las extremidades inferiores bilaterales fueron normales. Los pulsos bilaterales en las extremidades inferiores tuvieron buen volumen. No había disfunción intestinal ni de vejiga.
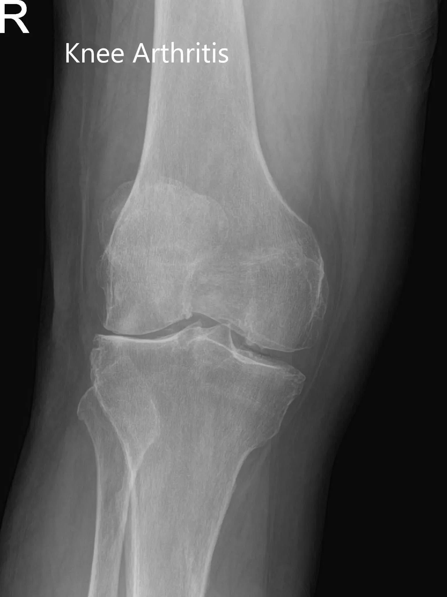
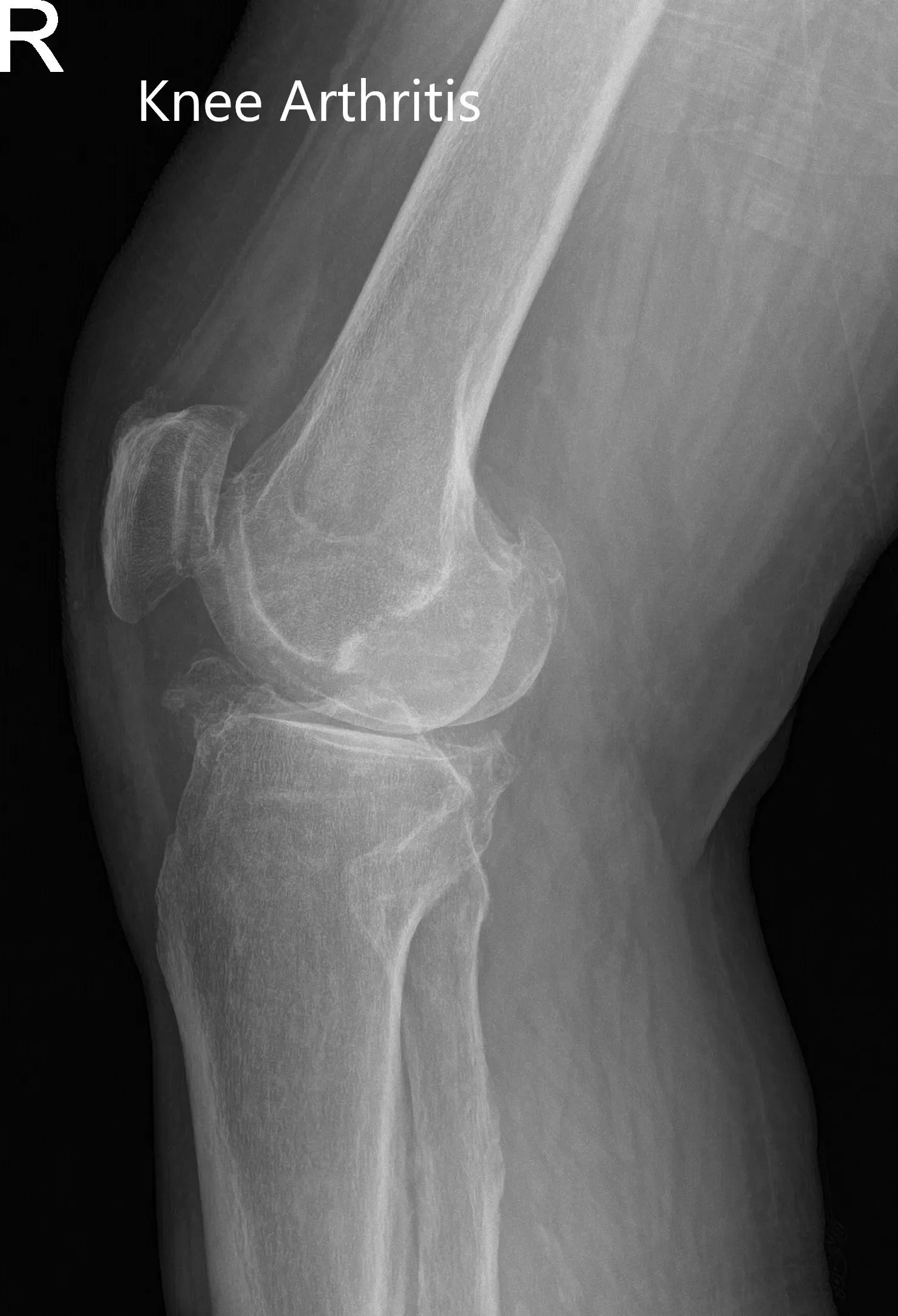
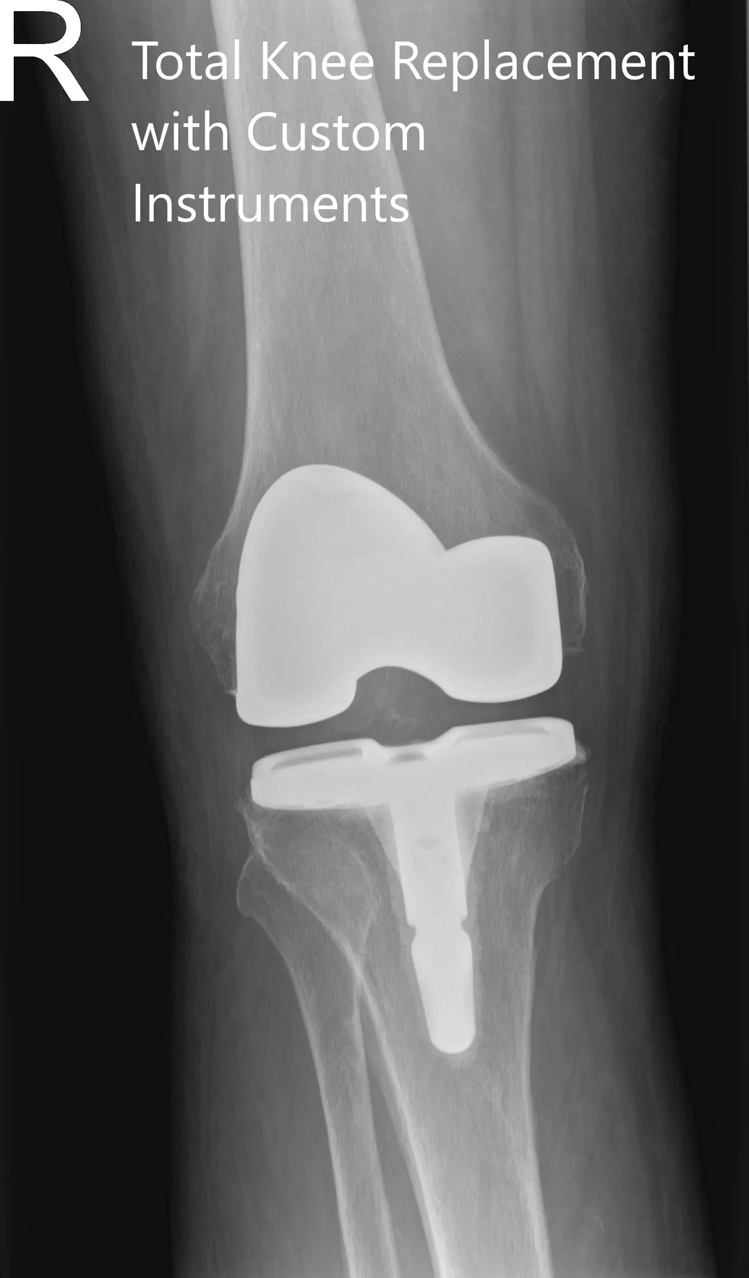
Los estudios de imagen revelaron una artritis bilateral severa de rodilla. La rodilla derecha estaba peor que la izquierda. Le recomendaron un reemplazo total de rodilla con instrumentos personalizados. Se discutieron extensamente con ella riesgos, beneficios y alternativas. Ella estuvo de acuerdo con el plan.
Como parte de la preparación de los instrumentos personalizados, se realizó una resonancia magnética preoperatoria unas semanas antes del procedimiento. Los implantes personalizados aseguraron menos daño tisular y cortes óseos precisos para el procedimiento.


Radiografía de la rodilla derecha en vistas anteroposterior y lateral.
OPERACIÓN: Prótesis total de rodilla derecha.
IMPLANTES UTILIZADOS: Estabilización posterior, 10 componentes femorales estándar derecho lado derecho con tibia F izquierda cementada con tallo de 14 x 30 y poli de 16 mm y una rótula polirótula de 32 x 8,5 mm de diámetro.
DESCRIPCIÓN DEL PROCEDIMIENTO: El paciente fue llevado al quirófano tras obtener el consentimiento informado, firmando el lugar quirúrgico correcto. Los riesgos, beneficios y alternativas se discutieron extensamente con el paciente antes del procedimiento.
El anestesiólogo obtuvo anestesia. El paciente fue entonces definitivamente colocado, y la rodilla derecha fue colocada y preparada de la manera habitual y estéril. Para la artrotomía se utilizó una incisión recta centrada sobre la rótula.
Luego se incisionaron la piel y los tejidos subcutáneos. A continuación, se realizó una artrotomía parapatuliana medial. La rodilla quedó expusa y la guía de corte femoral se colocó en su posición. A continuación, se realizó el corte distal. A continuación, se realizaban los cortes anterior, posterior y luego los biselados.
Entonces la atención se centró en la tibia. A continuación, se realizó el corte tibial. Se usaron separadores de lámina tanto en la medial como en la lateral, y el resto del menisco fue desbridado. A continuación, se realizó el corte de la muesca y se colocó el fémur en su posición, seguido de la tibia.
Luego se rompió la tibia y se colocó el poliureto de prueba en su posición. El equilibrio de huecos se realizó antes del broching final y se comprobó correcto. Luego se resecó la rótula. Se hicieron los agujeros de perforación en la rótula y luego se colocó la rótula de prueba en su posición.
Luego se redujo la rodilla. A continuación, la rodilla se ajustó en un rango completo de movimiento y se comprobó que el seguimiento rotuliano era normal, y se comprobó de nuevo el equilibrio de espacios y se comprobó que era satisfactorio.
Luego se retiraron los componentes de la prueba. Se administró un lavado exhaustivo. El fémur estaba cementado en su posición. Luego se retiró el exceso de cemento. La tibia se fijó entonces en su posición. Luego se retiró el exceso de cemento. Luego se colocó poliuretano sobre la tibia. Luego se redujo la rodilla.
La rodilla se mantenía en extensión total y después se cementaba la rótula y se sujetaba con una pinza rotuliana. El exceso de cemento se retiraba después de que el cemento se endurecía. Se inyectó la rodilla con inyección intraarticular y se administró un lavado exhaustivo.
La artrostomía parapatela medial se cerró con Ethibond, los tejidos cutáneos se cerraron con 0 Vicryl, los subcutáneos se cerraron con 2-0 Vicryl y la piel se cerró con grapas. A continuación, se aplicó un apósito estéril y el paciente fue trasladado a la unidad de cuidados postoperatorios en estado estable.


Radiografía postoperatoria de la rodilla derecha en vistas anteroposterior y lateral.
Después de la operación su recuperación se aceleró. Ella estaba de pie y caminando el mismo día de la cirugía. Se administró aspirina para la profilaxis de la trombosis venosa profunda. El dolor se controló con medicación.
Comenzó fisioterapia ambulatoria para aumentar la flexibilidad y mejorar el rango de movimiento. Dos meses después de la operación mostró un rango completo de movimiento sin dolor. Caminaba sin un dispositivo de ayuda. Reportó menos dolor en la rodilla izquierda como resultado de la descarga del peso. Estaba satisfecha con el resultado del procedimiento.
Aviso legal – El nombre, edad, sexo, fechas y eventos del paciente han sido modificados o modificados para proteger su privacidad.

