Una rotura lateral del menisco afecta al cartílago semicircular que recubre el exterior de la articulación de la rodilla. A través de la torsión o una lesión traumática, recortar el amortiguador del cartílago se conoce como meniscectomía parcial. Condroplastia, o recorte del cartílago articular que recubre hueso.
Una conductora de 57 años acude a la oficina con dolor en la rodilla izquierda. Trabaja como conductora de autobús escolar y fuma. Fue al hospital de Brookhaven, donde le hicieron radiografías y la enviaron con medicación. Cojea. El paciente fue atendido en la consulta un par de veces como parte de la preparación de la cirugía.
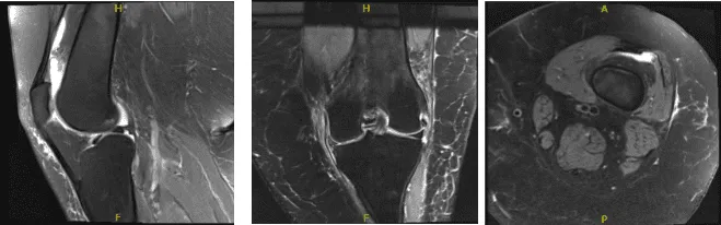
Las resonancias magnéticas fueron revisadas y comentadas por el médico; No hay fractura aguda ni osteonecrosis. Probablemente es reactivo un esguince moderado del ligamento colateral medial/desgarro parcial. Por lo demás, los ligamentos cruzados y colaterales están dentro de los límites normales.
El menisco lateral está intacto. Se identifica fisuración cartilágica de grosor total focal en la meseta tibial lateral posterior con edema subcondral leve. Hay un aumento de la anomalía intrasustancial en el cuerpo y en el cuerno posterior del menisco medial, con una rotura radial incompleta en la unión cuerpo-cuerno posterior.
No se ve ningún fragmento desplazado. La unión de la raíz posterior está intacta. Hay un adelgazamiento moderado del cartílago central que soporta el peso. Compartimento patelofemoral: Hay rótula alta e inclinación patuliana lateral. Se observa un ablandamiento del cartílago rotuliano sin defecto de grosor total.
Un edema leve en el músculo gastrocnemio lateral de la cabeza puede reflejar una leve tensión en la cabeza. No se observa atrofia muscular desproporcionada de alto grado. Los tendones imagados, incluido el mecanismo extensor, están intactos. Hay un pequeño derrame articular. No se agradece el quiste poplíteo.
No hay cuerpos sueltos intraarticulares y sueltos. El edema subcutáneo es inespecífico, las estructuras neurovasculares muestran una evolución normal. Desgarro del menisco medial y esguince/desgarro del ligamento colateral medial. En otros lugares, más pronunciados en el compartimento medial. Pequeño derrame articular.
Hablamos sobre las opciones de tratamiento. El paciente optó por el manejo quirúrgico en forma de cirugía artroscópica.
Hablamos sobre los riesgos y complicaciones, incluyendo infección, hemorragia, lesiones en nervios y vasos pequeños, necesidad de rehabilitación, desarrollo de artritis y posible necesidad de reemplazo de rodilla en el futuro, complicaciones del sistema como coágulos sanguíneos, complicaciones cardíacas o pulmonares, complicaciones neurovasculares incluyendo la muerte.
El paciente consintió y firmó el consentimiento informado.

Resonancia magnética de rodilla izquierda sin contraste
La paciente fue llevada al quirófano, donde la colocaron sobre una mesa de quirófano bien acolchada. Se indujo anestesia general. Se administró sedación al paciente.
Se inyectó una inyección intraarticular de 15 cc de lidocaína al 2% y 15 cc de marcaína al 1% mezclada con epinefrina en la rodilla para lograr un bloqueo local. Se aplicó torniquete. Se administraron antibióticos preoperatorios. Se había dado por terminado el momento. La pierna izquierda estaba preparada y colocada subcutículamente de la manera habitual.
Se realizó un portal anterior lateral e insertó el artroscopio. Se realizó una porta anterior medial utilizando una aguja espinal. El examen del compartimento tibial medial mostró una ruptura del radio de la parte posterior del cuerpo posterior del menisco medial.
La resección de los márgenes del desgarro se realizó mediante biters y afeitadoras, lo que logró márgenes equilibrados. También había un desgarro horizontal que fue desbordado. Se lograrían márgenes equilibrados. Había osteoartritis de grado III a grado IV del cóndilo femoral medial.
El examen de la muesca infrapatelara mostró un LCA intacto. El examen del compartimento femoral lateral mostró menisco y cartílago intactos del compartimento tibiofemoral lateral.
El examen del compartimento patelofemoral mostró un desgarro de grado I a grado II del cartílago de la rótula, que fue desbridado con el uso de una afeitadora. La rodilla estaba completamente irrigada. Se tomaron y guardaron las fotos finales.
El cierre se hizo con el uso de nylon 3-0. El vendaje se realizó con Xeroform 4 x 8, ABD, Webril y ACE wrap. El paciente despertó y se trasladó a la sala de recuperación en estado estable.

Imágenes intraoperatorias
El paciente está aquí hoy en el estado tras meniscectomía medial y condroplastia de rodilla izquierda. Tras discutir las opciones de tratamiento, hemos decidido proceder con fisioterapia formal así como con un programa de ejercicios en casa para la rehabilitación de la rodilla.
Quitamos los puntos durante la visita. Continuaremos con hielo y elevación de la rodilla para reducir la hinchazón y el dolor. Seguiremos utilizando la movilización temprana y la profilaxis mecánica para reducir las probabilidades de una trombosis venosa profunda.
Reduciremos poco a poco cualquier medicamento narcótico y avanzaremos a antiinflamatorios y paracetamol, siempre que no haya contraindicaciones para estos medicamentos. También hablamos sobre los riesgos, beneficios y efectos secundarios comunes de tomar estos medicamentos. El paciente volverá en tres semanas para evaluar su progreso.
Después de la cirugía siguió haciendo fisioterapia. Con visitas regulares a la consulta, el paciente se portó bien y continuó con la fisioterapia de la rodilla.
Aviso legal – El nombre, edad, sexo, fechas y eventos del paciente han sido modificados o modificados para proteger su privacidad.

