A 42-year-old male presented with persistent right ankle pain and instability following a work-related injury. The patient recalled tripping and twisting his right ankle on 2022, while at work. Initially, he managed the pain with rest and over-the-counter medications, but over the following weeks, he experienced worsening instability, difficulty walking downstairs, and frequent “rolling” episodes of the ankle.
He had no prior history of ankle injuries, and his symptoms were new since the accident. Conservative management, including physical therapy, bracing, and anti-inflammatory medications, was attempted for three months but yielded minimal improvement. His primary concerns were the inability to bear weight comfortably, instability during daily activities, and the fear of falling.
Due to continued functional limitations, he underwent MRI imaging, which revealed:
Partial tears of the anterior talofibular ligament and calcaneofibular ligament
A grade 2 peroneal brevis tendon tear
Achilles and plantar fascia inflammation
Given the failure of non-operative treatments and ongoing ankle instability, he was advised to proceed with surgical intervention to restore stability and prevent further deterioration.

Preoperative Planning and Surgery
The patient was thoroughly counseled on both non-operative and operative options, including continued physical therapy, bracing, and surgical repair. Given his active lifestyle and progressive symptoms, he opted to proceed with surgery. The risks and benefits of surgery, including potential complications such as nerve damage, chronic pain, infection, and recurrence of instability, were discussed in detail.
On 2023 he underwent:
Right peroneal tendon tenolysis
Right peroneal tendon repair
Right lateral ligament repair using the modified Brostrom-Gould procedure
Repair of dislocating peroneals
Application of a short-leg splint
Intraoperatively, significant attenuation and instability of the lateral ligament complex were noted, along with a longitudinal tear in the peroneal brevis tendon and dislocating peroneal tendons. The surgical approach ensured stability, and the procedure was completed successfully with minimal blood loss.
Postoperative Course and Recovery
First Follow-Up
At his first post-op visit, the patient reported controlled pain managed with oxycodone and gabapentin but noted stiffness and swelling in the ankle. His incisions were clean with no signs of infection. He was transitioned from his splint into a CAM boot and referred to physical therapy for gentle range-of-motion exercises.

Physical Therapy and Rehabilitation Progress
Early Rehabilitation
The patient began physical therapy . His primary complaints were persistent pain and mild swelling, but he remained compliant with his regimen. Therapy focused on manual therapy, strengthening exercises, and neuromuscular re-education to improve balance and ankle control.
Weight-Bearing Progression
By early August, he had discontinued the CAM boot and progressed to full weight-bearing as tolerated. While his pain had improved, he still experienced residual swelling and stiffness. Therapy introduced gait training, proprioceptive drills, single-leg strengthening exercises, and progressive loading of the ankle joint.
Improvement in Strength and Function
By this stage, the patient reported that his ankle felt stronger, though he still had occasional pain and some difficulty with balance exercises. Therapy sessions included single-leg stance drills, cone taps, balance training, and proprioceptive neuromuscular facilitation techniques. He was encouraged to continue at-home strengthening exercises to further enhance joint stability.
Final Stages of Recovery
By mid-September, the patient had achieved near full function, with only mild discomfort after prolonged standing or walking. His pain remained mild post-therapy, but he was now fully weight-bearing, walking without assistive devices, and regaining full ankle mobility and strength.
Final Follow-Up and Outcome
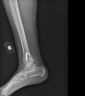
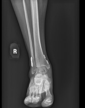
At his four-month follow-up, the patient was fully weight-bearing and had returned to work at full duty. He no longer required a brace and had full ankle stability with minimal pain. Follow-up X-rays showed complete healing with no hardware complications.
While he continued to experience occasional mild irritation along the peroneal nerve, it was manageable with stretching and activity modification.
Rehabilitation Plan and Long-Term Outcome
The patient was prescribed a structured rehabilitation program, including:
full Strengthening exercises to improve ankle stability and mobility.
Gradual return to weight-bearing activities over the next 4-6 weeks.
Balance training to enhance proprioception and reduce the risk of reinjury.
Monitoring for potential complications such as persistent stiffness or instability.
Despite early challenges, the patient’s commitment to physical therapy contributed to his successful recovery. He continues to follow up as needed for long-term monitoring.
Conclusion
This case highlights the successful surgical repair of a complex ankle injury, followed by a structured rehabilitation program. At the four-month postoperative mark, the patient:
Returned to full-duty work
Achieved full weight-bearing ability
Improved balance and proprioception
Experienced only occasional mild discomfort
His dedication to rehabilitation and adherence to post-operative protocols were crucial in achieving an excellent functional outcome. The case reinforces the importance of timely surgical intervention and progressive rehabilitation in restoring function and preventing long-term instability.
Disclaimer: Patient’s name, age, sex, dates, and events have been modified to protect patient privacy.


