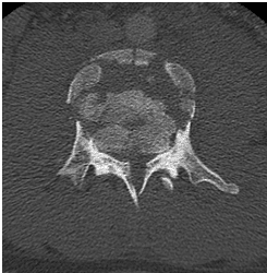
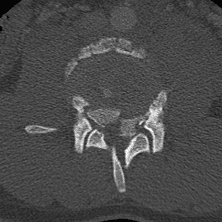
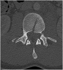
Un chico de 18 años se cayó desde tres pisos. Pérdida casi total de todas las funciones neurológicas por debajo del nivel de lesión con afectación casi total del intestino y la vejiga





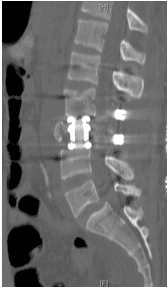
Cirugía
El paciente fue operado y el conducto espinal limpiado de todos los fragmentos óseos. La columna vertebral se fijó de lado y la parte trasera para eliminar la inestabilidad.


La paciente fue enviada a un centro de rehabilitación tras la cirugía y se recuperó rápida y completamente en 5-6 meses.


