Un paciente acudió a nuestra clínica con signos y síntomas de estenosis lumbar severa. Se recomendó una cirugía para descomprimir la columna lumbar tras el fracaso de las medidas conservadoras de tratamiento.
Se les explicaron los riesgos, beneficios, alternativas y posibles complicaciones. Todas sus preguntas fueron respondidas hasta que no se plantearon más cuestiones y proporcionaron un consentimiento informado por escrito.

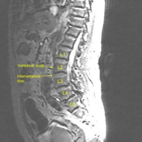
Vista sagital de la resonancia preoperatoria de la columna lumbar
El paciente fue llevado al quirófano. Su identidad fue verificada. Se indujo anestesia general. El paciente recibió antibióticos profilácticos intravenosos. Se colocaron electrodos de neuromonitorización para el potencial evocado somatosensorial y EMG. El paciente estaba colocado boca abajo sobre un armazón Wilson y todos los puntos de presión estaban acolchados. La zona lumbar se limpió con clorhexidina, se esterilizó con
Solución DuraPrep y cortinas estériles se colocaron de la manera habitual. La unidad C-arm se colocó de forma estéril, el microscopio se equilibró y cubrió de forma estéril, y el procedimiento se realizó utilizando instrumentos y técnicas microquirúrgicas.

Se utilizó la aguja espinal para localizar el nivel L4-L5 en el lado derecho. Se demarcó una incisión lineal de 1,8 cm que se infiltró con anestesia local. La piel se abría con un bisturí de 10 cuchillas. Se obtuvo hemostasia con Bovie y se utilizó Bovie para dividir bruscamente la fascia. Se usaban dilatadores secuenciales para acoplar un separador tubular de 18 mm x 5 cm que se fijaba rígidamente al marco de la cama.
El microscopio fue introducido en el campo. El tejido blando que cubre la lámina fue resecado con rongeurs de Bovie e hipófisis. La laminotomía L4 derecha se realizó con taladro eléctrico de alta velocidad con irrigación estéril continua infundida con Cefazolina.
Se usaba cera ósea para el sangrado óseo, pero había muy poca. El ligamento flavo se desprendió del punto cefálico y se reflejó caudalmente con cureta microangulada, para luego resecar de forma fragmentada con rongeurs de Kerrison.
El ligamento flavio estaba severamente hipertrofiado, correlacionado con la imagen preoperatoria. Una vez verificada que estaba terminada, la cama se cepilló al aire y el separador tubular se inclinó hacia el lado izquierdo contralateralmente sobre la parte superior. Se realizó laminotomía en el lado izquierdo en L4-L5. La duramadre fue cuidadosamente protegida con algodón mientras se resecaba el ligamento flavo hipertrofiado contralateral.
La hemostasia se confirmó con una matriz hemostática quirúrgica. La herida estaba completamente irrigada. No se identificó ninguna durotomía. Se retiró el microscopio y el separador tubular tras confirmar la hemostasis con electrocauterización bipolar.
La fascia se cerró de forma hermética con suturas interrumpidas de Vicryl 2-0 y luego se infundió anestesia Exparel en los tejidos blandos. La capa subdérmica se cerró con suturas interrumpidas de Vicryl 2-0 y la piel se reaproximó con la sutura subcuticular 4-0 Monocryl corrida, se limpió y secó de forma estéril, y se curó con pegamento Dermabond seguido de una tirita.
El paciente fue colocado boca arriba en el carro, extubado sin incidentes y trasladado a la sala de recuperación en estado estable. Al final del caso, todos los conteos de esponjas, agujas e instrumentos fueron correctos, y el paciente toleró bien el procedimiento con una pérdida estimada de sangre de 5 cc sin complicaciones.
El paciente hizo un seguimiento inicial 14 días después de la cirugía y luego continuó en nuestra consulta ambulatoria 4, 6 y 8 semanas después de la operación. El paciente mostró signos de mejoría gradual con síntomas de estenosis lumbar severa. El paciente ha vuelto a realizar actividades diarias con poco o ningún dolor.


