Yo había visto al paciente varias veces en la consulta con quejas de dolor en la parte baja de la espalda que irradiaba hacia la extremidad inferior izquierda. El paciente tiene antecedentes de discectomía en 2011.
Habían sido tratados de forma conservadora mediante fisioterapia y inyecciones epidurales que aliviaron a corto plazo el dolor de espalda y los síntomas en las piernas.
Me hicieron una resonancia magnética que mostró cambios degenerativos de L2 a S1 con retrolistesis en L2-L3, anterolistesis de grado 1 en L3-L4, fenómenos de vacío en L4-5 y L5-S1 con pérdida de espacio discal en L4-L5 y L5-S1.
Hablamos sobre las opciones de tratamiento y, tras no haber superado ningún manejo conservador, el paciente aceptó el manejo quirúrgico en forma de descompresión lumbar de L2 a S1 y fusión.
Hablamos sobre riesgos y complicaciones, incluyendo infección, sangrado, lesiones en nervios y vasos adyacentes, fallo de la cirugía y fallo de implantes, necesidad de repetir la cirugía, fuga de LCR y posible necesidad de repetir la cirugía, no resolver el dolor, empeoramiento de los síntomas, entre otros.
Hablamos de complicaciones sistémicas, incluyendo coágulos sanguíneos, cardíacas, pulmonares, neurológicas, entre otras. El paciente lo entendió y firmó un consentimiento informado.

El paciente fue trasladado al quirófano, donde se le indujo anestesia general. Se estableció la neuromonitorización. Se pasó el catéter de Foley. El paciente fue colocado boca abajo sobre una mesa Jackson de cuatro postes. Todas las prominencias óseas estaban bien acolchadas. La pierna inferior estaba preparada y colgada de forma aséptica de la manera habitual. Se pidió un tiempo muerto. Me administraron antibióticos preoperatorios.
Se realizó una incisión a lo largo de la misma incisión. Con una disección aguda, se podía alcanzar el proceso espinal. Con la disección de Bovie y roma, los procesos espinosos de L2 a S1 quedaron expuestos bilateralmente sobre la articulación facetaria, con la exposición de los TPs en L2, L3, L4, L5 y el ala sacro en ambos lados. Se colocó pinza Allis en las L2 y L5 derechas y se realizó la localización mediante rayos X y se comprobó que estaba en la posición correcta.

Se introdujo la navegación y se realizó una tomografía computarizada. Tras verificar la navegación, se colocaron tornillos pediculares a ambos lados de L2 a S1 secuencialmente bajo guía de navegación tras usar el cambio de marchas, que se golpeaban y comprobaban cada vez con una sonda de punta de bola.
Se lograron posiciones aceptables en todos los niveles. La punta del destornillador estaba rota en el tornillo derecho S1, pero se dejó en su sitio porque era difícil sacarla y habría provocado aflojamiento.
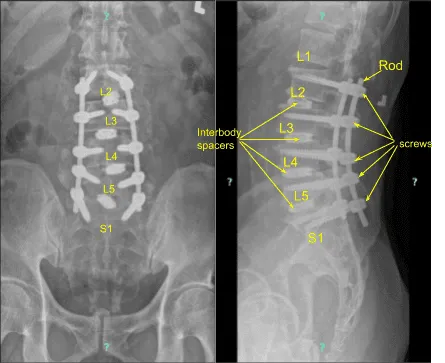
Se realizaron osteotomías posteriores de la lámina y de la faceta inferior y superior, así como en la faceta derecha L5-S1, izquierda L4-5, derecha L2-3 y bilateral L3-4. Se realizó laminectomía completa sobre L3-4 junto con una foraminotomía bilateral de L3-4, seguida de laminotomía y foraminotomía de L5-S1 derecha, L4-5 izquierda y L2-3 derecha.
Se realizó una anulotomía y discectomía exhaustiva en L2-3 desde la derecha, L3-4 desde la izquierda, L4-5 desde la izquierda y L5-S1 de forma secuencial, utilizando palas y curettes.
Se realizó una discectomía exhaustiva y se extirpó el disco con una hipófisis. El espacio interdiscal fue irrigado y drenado y rellenado con hueso autoinjerto local y jaulas expansibles rellenas de hueso, insertado espacio discal a la vez y expandido en posición aceptable bajo guía fluoroscópica.
Las varillas se colocaban sobre los tornillos pediculares y se apretaban en su lugar con tornillos de fijación, y finalmente se aprietaban con un destornillador de elevación de torque. Se tomaron las fotos finales y se encontró en una posición aceptable.

La herida fue completamente irrigada y drenada. Se colocó injerto óseo autoeléctrico local mezclado con actifuse en las canaletas del lado derecho e izquierdo entre la L2 y la S1. Se logró la hemostasia. El cierre lo realizó el equipo de cirugía plástica y se dictará por separado.
La neuromonitorización se mantuvo intacta durante todo el procedimiento. También se realizó un TAC final para comprobar la posición de las jaulas y los tornillos, y se encontró que estaban en una posición aceptable. Tras el cierre, el paciente fue extubado y trasladado a recuperación en estado estable.
El paciente hizo un seguimiento 14 días después de la cirugía. Siguieron haciendo seguimiento 4, 6 y 8 semanas después de la cirugía y mostraron signos de mejora gradual.
En su última visita al consultorio, el paciente dijo que estaba muy bien después de la cirugía. El paciente está mucho mejor con el dolor de espalda. Han retomado actividades habituales como jugar al tenis.


