Una mujer de 54 años fue derivada a nuestra consulta por su médico de cabecera con molestias de dolor bilateral en la cadera (más en la izquierda que en la derecha) y dificultad para caminar. La paciente afirmó que sufrió una lesión laboral en la cadera izquierda hace 2 años. Siente que el dolor ha avanzado y ha afectado su cadera derecha.
El paciente trabaja como conductor de UPS pero actualmente no trabaja. Su trabajo requería que saltara dentro y fuera del camión, caminara a gran velocidad, se agachara y levantara pesos pesados. Ella afirma que no ha podido continuar con sus tareas laborales durante los últimos 4 meses debido al dolor. Le resultaba cada vez más difícil realizar sus actividades diarias en casa. Usaba un bastón como ayuda para caminar.
El paciente describió el inicio del dolor como insidioso situado anteriormente en la ingle izquierda. La intensidad del dolor se describió como moderada (5/10), que era un dolor sordo de carácter. Actividades como caminar rápido o subir escaleras agravaban el dolor. También se quejaba de rigidez en la cadera izquierda tras estar sentada durante largos periodos de tiempo. Negó cualquier radiación del dolor.
El paciente afirmó que la frecuencia del dolor de cadera aumentaba, lo que provocaba alteraciones en el sueño. Estaba estresada por el hecho de que no podía realizar sus actividades diarias y no podía volver al trabajo. Había probado el manejo conservador en forma de fisioterapia, almohadillas térmicas, uso de bastón e inyecciones en la cadera, pero sin ningún alivio significativo.
El paciente no fumaba, no bebía y no tenía antecedentes médicos significativos. Sus medicamentos actuales incluían vitaminas y suplementos de venta libre. Negó cualquier historial de ingesta de esteroides, dolor articular múltiple, dolor lumbar y rigidez en el cuello, epilepsia o traumatismos significativos. En su madre el historial familiar dio positivo para osteoartritis de la rodilla bilateral. No tenía alergias a drogas conocidas.
En su visita a la consulta, estuvo tranquila, consciente, cooperativa y bien orientada hacia el tiempo, el lugar y la persona. Era deambulante con una marcha bípeda, estable, coordinada y antálgica (fase de postura disminuida en el lado izquierdo).
En su examen físico, no hubo discrepancia en la longitud de las piernas. Ambas espinas ilíacas anterosuperiores estaban al mismo nivel, sin lordosis lumbar exagerada. No había cicatriz, senos nasales ni hinchazón en el triángulo de Scarpa. No hubo linfadenopatía ni masa o induración.
El volumen muscular era normal y la fuerza estaba completa en las extremidades inferiores bilaterales. No hubo engrosamiento ni ensanchamiento de los trocánteres bilaterales. El rango de movimiento de la cadera izquierda estaba lleno, con dolorosa rotación interna y externa. La cadera derecha y la rodilla y tobillos bilaterales estaban normales. No hubo déficit neurológico distal y ambas extremidades presentaban palpables 2+ dorsalis pedis y arteria tibial posterior.
Sus estudios de imagen revelaron cambios de artritis en ambas caderas. Teniendo en cuenta que su dolor de cadera limita el estilo de vida, se le aconsejó someterse a un reemplazo total bilateral de cadera. También se discutieron extensamente con ella y con su marido los riesgos, beneficios y alternativas. Ella aceptó seguir adelante con la prótesis de cadera izquierda.


Radiografía preoperatoria de la vista de la pelvis y la vista lateral de la cadera izquierda.
Funcionamiento: Artroplastia total de cadera izquierda mediante un abordaje posterolateral.
Implante utilizado: Carcasa hemisférica de titanio de 60 mm con tornillo de 6,5 mm de diámetro, 35 mm de longitud y cabeza femoral cerámica de 36 mm, polietileno de 0 grados con ángulo de cuello de 127 grados y talla de cadera tamaño 5.
Descripción del procedimiento: El paciente fue llevado al quirófano tras obtener el consentimiento informado y firmar el lugar quirúrgico correcto. Los riesgos, beneficios y alternativas se discutieron extensamente con el paciente antes del procedimiento. El paciente fue llevado al quirófano y el anestesista le obtuvo la anestesia.
El paciente fue colocado definitivamente con la cadera izquierda hacia arriba y luego la cadera izquierda fue colocada y preparada de forma estéril habitual. La incisión recta centrada sobre el trocánter mayor se utilizó para la artrotomía.
Luego se incisionaron la piel y los tejidos subcutáneos. La fascia se dividió entonces. Las imágenes del brazo robótico se utilizaron para la planificación de la cirugía.
El acetábulo quedó entonces expuesto. El resto del labrum fue entonces desbridado. El acetábulo se escariaba y la concha final se colocaba en su posición en la correcta abducción y anteversión.
La carcasa se colocaba sobre la copa tras colocar el tornillo. Entonces la atención se centró en el fémur. El resto del tejido en la superficie inferior del trocánter mayor fue entonces extraído. El fémur se rompía secuencialmente y el broche final se dejaba en su posición.
El muñón se colocaba entonces sobre la concha y la cabeza se colocaba sobre el muñón. El plan previo a la robótica se utilizó para la evaluación de la altura. La distancia menor del trocánter al centro también se midió preoperatoriamente antes de realizar la resección del cuello y se comparó tras la colocación del componente del ensayo. Luego se redujo la cadera y se probó en todo el rango de movimiento, y la cadera quedó estable en todos los rangos fisiológicos.
La cadera estaba dislocada. A continuación, se retiraron los componentes de la prueba. Los componentes finales se colocaron entonces en su posición. La cadera se volvió a reducir. Se le dio un lavado exhaustivo. Las estructuras posteriores de tejidos blandos se fijaron entonces al trocánter mayor a través de túneles transóseos. Se administró un lavado exhaustivo.
La fascia estaba cerrada, los tejidos cutáneos cerrados, los tejidos subcutáneos cerrados. La piel se cerraba con grapas. A continuación, se aplicó un apósito estéril sobre la herida y el paciente fue trasladado a la unidad de cuidados postoperatorios en estado estable.


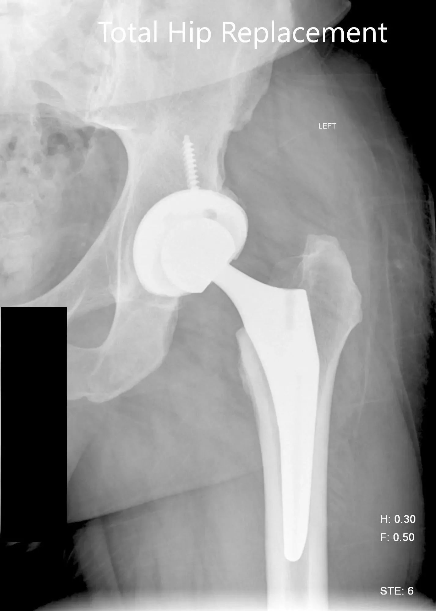
Imágenes de radiografías postoperatorias que muestran la vista AP y la vista lateral con patas de rana.
La paciente tuvo una recuperación poco destacada tras la operación. Le retiraron las grapas de la incisión quirúrgica de la cadera izquierda. La incisión estaba intacta y no presentaba signos ni síntomas de infección. Se informó al paciente sobre las precauciones de cadera para evitar la luxación. Le recomendaron fisioterapia.
La fisioterapia se dirigió al entrenamiento de la marcha, la seguridad en el hogar y la prevención de caídas, y el fortalecimiento muscular. Le aconsejaron que caminara como se tolerara. Le recetaron aspirina 325 mg de difusión intravenosa para profilaxis de trombosis venosa profunda.
Después de 3 meses, caminaba sin dolor. Le aconsejaron dejar la aspirina y continuar con el programa de ejercicios en casa con una reducción gradual de las precauciones de cadera. Volvió felizmente a conducir su coche y realizar sus actividades diarias, y volvió a trabajar con tareas ligeras. Estaba contenta de estar usando el bastón y comentó que su forma de andar ha mejorado significativamente. Según se informa, experimentó menos dolor en la cadera derecha. Ella hace un seguimiento cuando es necesario.

