Una mujer de 50 años acudió a nuestra consulta con quejas de dolor empeorante en la cadera izquierda. El paciente no recordaba ningún evento desencadenante cuando comenzó el dolor hace siete años. El dolor fue empeorando gradualmente con los años. Vio a otro médico que le dijo que tenía necrosis avascular en la cadera izquierda.
Recibía tratamiento médico en forma de anticoagulantes, agentes para reducir el colesterol y bisfosfonatos. El dolor se controló bien al principio con paracetamol y AINEs, pero recientemente el alivio no fue sustancial.
Trabajaba como peluquera y había dejado de trabajar recientemente porque el dolor era insoportable al estar de pie durante mucho tiempo. El dolor se localizaba en la ingle izquierda, que en ocasiones se irradiaba hacia el lado interno de la rodilla izquierda. El dolor se describió como agudo y de intensidad moderada a severa.
El dolor se agravaba en actividades como subir escaleras, caminar, agacharse, agacharse o levantarse de una silla. El dolor perturbaba su sueño y estaba angustiada por la falta de sueño adecuado. Al principio sentía que la terapia médica le ayudaba pero ahora el dolor limitaba sus actividades diarias.
No fumaba ni bebeba. Negó cualquier alergia conocida a los medicamentos. Su historial médico dio positivo para dislipidemia y prediabetes. Hace cinco años se sometió a una tumorectomía de pecho derecho y una cirugía artroscópica del hombro izquierdo.
En el examen físico, su marcha era antálgica con una fase de postura reducida en el lado izquierdo. Los hombros bilaterales, las espinas ilíacas, la rótula y la maléola estaban al mismo nivel. No hubo exageraciones sobre la lordosis lumbar. No había evidencia de escoliosis funcional o estructural.
La piel que cubre la ingle izquierda era normal, sin indicios de cicatrices ni de sinusitos. No hubo hinchazón en la ingle izquierda ni linfadenopatía inguinal. Había sensibilidad en la línea anterior de la articulación izquierda. No hubo ensanchamiento ni engrosamiento del trocánter.
En la palpación digital, ambos trocánteres mayores estaban al mismo nivel. La pelvis estaba cuadrada y no había evidencia de discrepancia en la longitud de las piernas. El rango de movimiento estaba restringido en la rotación interna y la abducción. No hubo evidencia de deformidades fijas en los planos coronal, sagital y axial. Hubo una rotación diferencial de la cadera izquierda en flexión.
La potencia, el volumen y el tono de los músculos de ambas extremidades inferiores eran normales. No había evidencia de ningún déficit neurológico distal. El examen de la columna baja, la cadera derecha, la rodilla bilateral y los tobillos fue normal. Los pulsos bilaterales en las extremidades inferiores fueron palpables y comparables.
Se obtuvo una radiografía que sugería una pérdida severa de espacio articular con cambios en acetábulo en la cadera izquierda. Se perdió el contorno esférico de la cadera izquierda. Esclerosis y quistes subcondrales estaban presentes en la cadera izquierda con colapso.

Radiografía preoperatoria de la pelvis con ambas caderas en vista anteroposterior que muestra cambios en el AVN en la cadera izquierda.

Radiografía preoperatoria de la pelvis con ambas caderas en la vista lateral de patas de rana que muestra cambios en el AVN en la cadera izquierda.
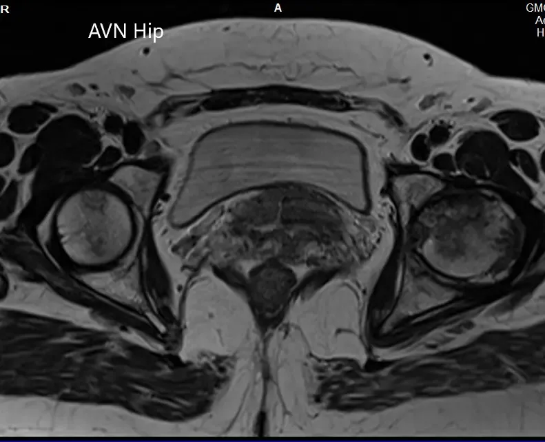
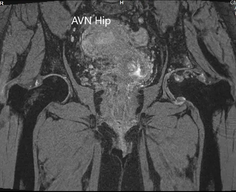
Se realizó una resonancia magnética que mostró una intensidad de señal alterada tanto en T1WI como en T2WI. Hubo un colapso sutil de la cabeza femoral izquierda. Se observó una línea sérpinosa e hiperintensa en T2WI que delimitaba una zona de osteonecrosis en la cabeza femoral izquierda. Esta zona afectaba al compartimento lateral y medial y cubría más del 50% de la superficie de la cabeza.
Se visualizaron cambios osteoartríticos secundarios en forma de reducción del espacio articular anterosuperior y formación de osteófitos. Se observó una pequeña cantidad de líquido en la cavidad articular.

Imagen T1WI de la resonancia magnética que muestra la sección coronal.

Imagen de resonancia magnética T2WI mostrando la sección coronal.


T1WI y T2WI de la resonancia magnética muestran una sección axial de la cabeza femoral bilateral.
Tenía una necrosis avascular idiopática idiopática unilateral izquierda de la cabeza izquierda con cambios en acetábulo. Le recomendaron una prótesis total de cadera izquierda. Se discutieron extensamente con el paciente los riesgos, beneficios y alternativas. Ella aceptó seguir adelante con el procedimiento.
Se realizó un reemplazo total de cadera izquierda al paciente. Tras la operación, sus constantes vitales se mantuvieron estables. El dolor se controló bien con medicación y le administraron aspirina para la profilaxis de trombosis venosa profunda.
Se permitía la carga de peso tolerada con soporte. Las suturas se retiraron sin incidentes. Cumplió con las precauciones de cadera y la fisioterapia. Tres meses después de la operación caminaba sin el soporte y no reportó dolor en la cadera izquierda.
Volvió a sus actividades habituales y volvió a su trabajo de peluquera. Estaba extremadamente feliz y aliviada de estar libre del dolor. Hace un seguimiento regular para vigilar cualquier cambio avascular en la cadera derecha.

