Una mujer de 56 años se presentó en nuestra consulta con quejas de dolor en la ingle izquierda y cojera que empeoran. Ella afirmó que había tenido dolor en la cadera desde niña y que fue tratada con escayola y férula en la República Dominicana.
El dolor era mejor de niña, pero cojeaba, para lo que usaba un elevador de zapatos. Con los años, empezó a notar dolor en la ingle izquierda, pero no buscó atención médica. En los últimos cinco años, el dolor empeoró y no pudo caminar más de 5 manzanas. Usaba un bastón para deambular.
Fue a diferentes médicos que le recomendaron una prótesis de cadera, pero le dijeron que era demasiado joven para someterse a una cirugía. Recibió inyecciones de cortisona en la cadera y recibió fisioterapia, pero con un alivio mínimo.
El dolor era intenso (8/10), localizado en la ingle izquierda y irradiando hacia la rodilla izquierda. Describió el dolor como una molestia sorda. El dolor era especialmente peor en actividades como levantarse de una silla, caminar, agacharme y subir escaleras. La cojera empeoraba con la intensidad creciente del dolor.
Trabajaba como asistente de un podólogo y actualmente estaba desempleada por causa del dolor. Fue la primogénita y contó una historia de parto difícil. No tenía antecedentes familiares de trastornos de cadera. Sufría estrés debido a su movilidad limitada y a la creciente rigidez de las caderas que interferían en sus actividades diarias.
No fumaba ni bebía. No tenía alergias a drogas conocidas. Ella ya tenía antecedentes de tratamiento para psoriasis en el pasado. Actualmente tomaba Lipitor para la dislipidemia y Toprol XL para la hipertensión. Hace 15 años se sometió a una histerectomía por miomas uterinos.
En el examen físico, tenía una marcha antálgica con un giro brusco hacia el lado izquierdo. La fase de postura disminuyó en el lado izquierdo. No hubo lordosis lumbar exagerada. Hubo una escoliosis funcional leve con convexidad hacia el lado derecho que desapareció al inclinarme hacia adelante.
La columna ilíaca anterosuperior derecha estaba a un nivel inferior al estar de pie con ambos pies en el suelo. Había una leve atrofia en el glúteo del lado izquierdo. Tanto la rótula como la maléola medial estaban al mismo nivel.
En el examen supino, la columna ilíaca anterosuperior izquierda estaba a un nivel superior superior que el derecho. Al cuadrar la pelvis, tanto el acortamiento aparente como el verdadero eran similares a 2 cm. No hubo una aducción fija ni deformidad por flexión, pero la abducción, extensión y rotación interna estaban moderadamente restringidas.
La piel que cubre la ingle izquierda era normal, sin cicatrices ni sinusitos. No había hinchazón en la ingle izquierda ni ninguna hinchazón ósea en la nalga izquierda. El trocánter izquierdo estaba a un nivel más alto que el derecho en la palpación digital. No hubo ensanchamiento ni engrosamiento del trocánter.
La prueba telescópica de la cadera izquierda fue negativa y el levantamiento de la pierna recta fue positivo con dolor en la cadera izquierda. El examen de la cadera derecha, la rodilla bilateral y los tobillos fue normal. No hubo déficit neurológico distal y los pulsos bilaterales eran palpables y comparables.
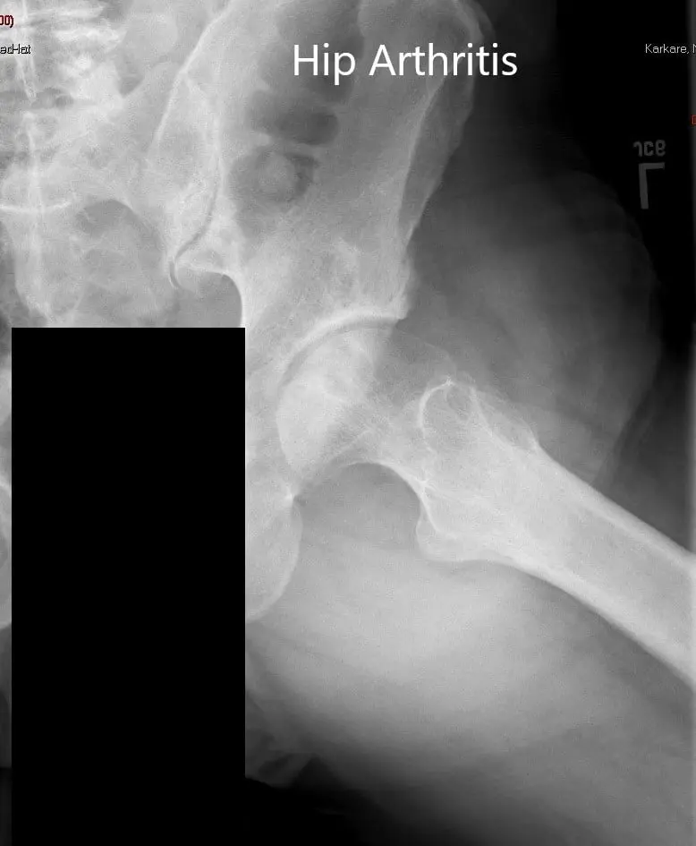
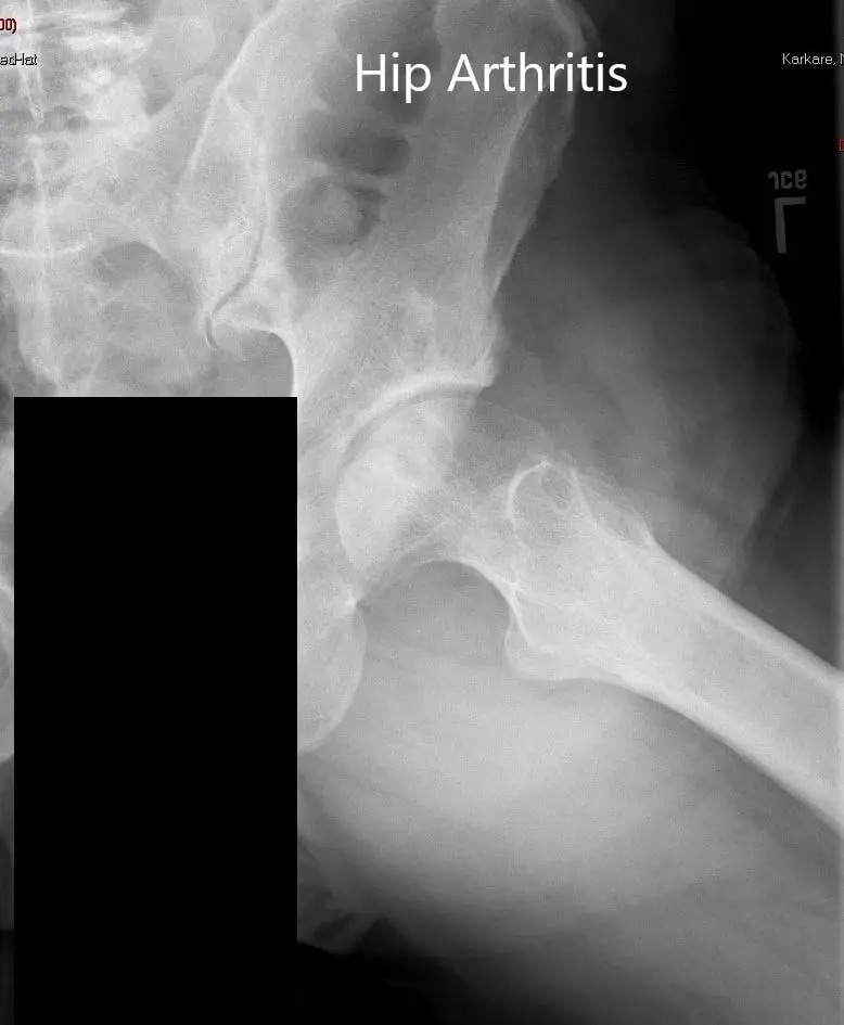
Las imágenes revelaron osteoartritis severa en la cadera izquierda con quistes subcondrales, esclerosis y osteófitos. El acetábulo izquierdo era poco profundo con el cuello femoral izquierdo acortado.
Tras una cuidadosa consideración del estado de la paciente, se le recomendó un reemplazo total de cadera izquierda robótico. Se discutieron extensamente con el paciente los riesgos, beneficios y alternativas. Negó cualquier ingesta reciente de inmunosupresores y anticoagulantes. Ella aceptó seguir adelante con el procedimiento.

Radiografía preoperatoria de la pelvis que muestra una vista AP de la pelvis con ambas caderas.


Radiografía preoperatoria de la cadera izquierda en vistas AP y laterales con patas de rana.
OPERACIÓN: Artroplastia total robótica de cadera izquierda.
IMPLANTES UTILIZADOS: Carcasa acetabular de 62 mm con poliuretano de 10 grados y 36 mm con talla de 127 grados tamaño 6 y cabeza cerámica, 36 mm +O.
DESCRIPCIÓN DEL PROCEDIMIENTO: El paciente fue llevado al quirófano tras obtener el consentimiento informado, encontrar el lugar quirúrgico correcto. Los riesgos, beneficios y alternativas se discutieron extensamente con el paciente y con su esposa antes del procedimiento.
El paciente fue llevado al quirófano y el anestesista le obtuvo la anestesia. El paciente fue colocado definitivamente con la cadera izquierda hacia arriba y la cadera izquierda fue colocada y preparada de forma estéril habitual. Para la artrotomía se utilizó una incisión curva centrada sobre el trocánter mayor.
Se incisionaron la piel y los tejidos subcutáneos. La fascia se dividió entonces. Las estructuras posteriores de tejidos blandos fueron luego retiradas y etiquetadas para su reparación futura. Luego se dislocó la cadera. Se medía un trocánter menor a la distancia central y se realizaba la resección del cuello al nivel correcto.
La cabeza fue retirada. Entonces la atención se centró en el acetábulo. Se obtuvo exposición acetabular. Al diseccionar la parte inferior del acetábulo, se detectó sangrado. Debido a la hemorragia significativa, se llamó a la cirugía vascular. El cirujano vascular ligó el sangrado y se logró controlar el sangrado.
Tras controlar la hemorragia, se desbridó el resto del labrum. Luego se escariaba el acetábulo y la concha final se colocaba en su posición en la correcta abducción y anteversión usando el brazo robótico.
Antes de iniciar el procedimiento, se colocaron tres pines en la cresta ilíaca y los sensores robóticos se colocaron sobre los pines de la cresta ilíaca. También había un electrodo de EKG colocado sobre la parte anterior de la rótula para el registro. Antes de la dislocación, se colocaba una sonda sobre el trocánter mayor y, tras la disección acetabular, se colocaba una sonda sobre el acetábulo superior para su registro.
Tras insertar la copa, se logró una excelente estabilidad. No era necesario usar un tornillo. Luego se colocó un poliuretano sobre la copa. Entonces la atención se centró en el fémur. El fémur se rompió secuencialmente. El broche final se dejó en su posición junto con la cabeza. Se tomó la medida del trocánter menor al centro y se comprobó correcta.
Luego se reubicó la cadera, se probó en todo el rango de movimiento y se logró una excelente estabilidad. Las mediciones robóticas se compararon con las intraoperatorias y estuvieron en una alineación y longitud aceptables. Luego se dislocó la cadera. Los componentes finales se colocaron entonces en su posición.
Se comprobó que la distancia menor del trocánter era correcta. La punta del trocánter mayor hacia el centro de la cabeza también se encontró correcta según la evaluación preoperatoria. Se daba a través del lavado.
Tras el lavado, se hicieron los agujeros de perforación en el trocánter mayor y las estructuras posteriores de tejidos blandos se tacharon al trocánter mayor a través de túneles transóseos. La fascia se cerró con Ethibond. Los tejidos cutáneos se cerraron con 0 Vicryl. Los tejidos subcutáneos se cerraron con Vicryl 2-0. La piel se cerraba con grapas.
El fijador externo se clava sobre la cresta ilíaca dentro de la herida. El tejido profundo se cerró con 0 Vicryl. Los tejidos subcutáneos se cerraron con Vicryl 2-0. La piel se cerraba con grapas. Luego se aplicaban apósitos estériles sobre la herida. El paciente fue trasladado entonces a la unidad de cuidados preoperatorios en estado estable.


Radiografía postoperatoria de la cadera izquierda que muestra la visión AP y lateral.
Tuvo una recuperación excelente tras la operación. Sus constantes vitales se mantuvieron estables y no presentaba déficit neurológico distal. Le recomendaron precauciones de cadera y le administraron aspirina para la profilaxis de la trombosis venosa profunda.
Se permitió apoyar peso según se toleró y se retiraron las suturas tras la operación al día 14 sin incidentes. Se inició fisioterapia para fortalecer los músculos. Tres meses después de la operación recuperó el movimiento completo y no reportó ningún dolor. Caminaba sin apoyo y estaba muy contenta con el resultado. Ella hace un seguimiento cuando es necesario.
Aviso legal – El nombre, edad, sexo, fechas y eventos del paciente han sido modificados o modificados para proteger su privacidad.

