Una mujer de 71 años acudió a nuestra consulta con quejas de dolor en el hombro y la cadera izquierda. La paciente declaró que a principios de marzo de 2017 se cayó por las escaleras del Post Office Cafe, golpeándose la cara contra un coche y cayendo de costado izquierdo. Su médico de cabecera la derivó aquí.
El dolor se describió como una molestia sorda localizada en la ingle izquierda, en la parte anterior. El paciente informó que la intensidad era de moderada a grave (7/10). El dolor aumentó en intensidad de forma insidiosa desde el inicio. Actividades como caminar, subir y bajar escaleras, agacharse, levantarse de la silla agravaban el dolor. También se quejaba de un aumento de rigidez, especialmente después de estar sentada mucho tiempo.
El paciente inicialmente buscó tratamiento con otro médico durante un año. Probó el manejo conservador en forma de medicación, fisioterapia, almohadillas de calor y láser. Le pusieron inyecciones de cortisona de cadera guiadas por ecografía, pero con un alivio mínimo.
Era una transcriptora médica jubilada y actualmente vivía con su hijo y su familia. Expresó su consternación por no poder subir a su casa y caminar por la manzana. Ella dijo que le costaba atarse los cordones y levantarse de la cama después de mucho tiempo. Describió el dolor como constante pero sin alterar su sueño.
No fumaba ni bebía. Era alérgica a la penicilina. Su historial médico previo fue positivo en diabetes mellitus, hiperlipidemia, enfermedad coronaria (CAD) y varices. En el pasado, se sometió a una cirugía artroscópica del hombro izquierdo y a una terapia de ablación láser endovenosa. El año pasado le hicieron un cateterismo cardíaco que sugería una CAD no obstructiva.
En el examen físico, caminaba con un paso antiálgico. La fase de postura de la marcha se redujo en el lado izquierdo. Las espinas bilaterales del hombro, ilíacas anterior y posterior, la rótula y la maléola medial estaban al mismo nivel. No hay lordosis lumbar exagerada. No hubo escoliosis estructural ni funcional.
No hubo evidencia de discrepancia en la longitud de las piernas. La sensibilidad fue positiva en la línea anterior izquierda de la cadera. No había plenitud ni hinchazón en el triángulo de Scarpa. La piel que cubre la cadera izquierda y el glúteo era normal. No hubo ternura en el trocánter bilateral. No hubo engrosamiento o ensanchamiento anormal del trocánter.
El rango de movimiento estaba restringido, especialmente en la abducción y la rotación interna. No hubo aducción fija ni deformidad por flexión. No había ganglios linfáticos inguinales agrandados. El examen de la cadera derecha, la rodilla bilateral y los tobillos fue normal. No había déficit neurológico distal. Los pulsos bilaterales en las extremidades inferiores eran palpables y de buen volumen.
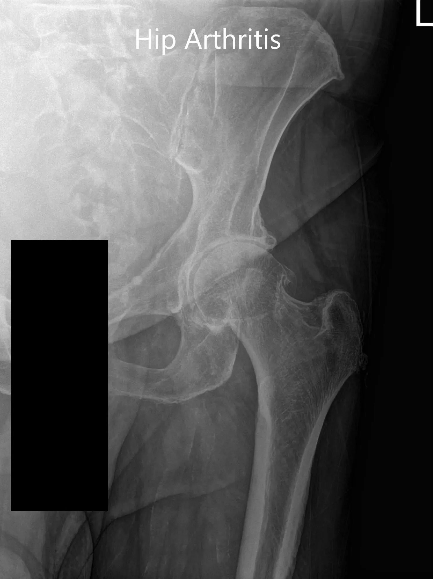
Las imágenes revelaron una osteoartritis severa en la cadera izquierda. Teniendo en cuenta las condiciones médicas de los pacientes y el dolor de cadera que limitan el estilo de vida, se le recomendó una prótesis total de cadera para la izquierda. Se discutieron extensamente los riesgos, beneficios y alternativas. Ella aceptó seguir adelante con el procedimiento.


Radiografía preoperatoria de la cadera izquierda que muestra visión AP y vista lateral con patas de rana
OPERACIÓN: Artroplastia total de cadera izquierda, asistida por robot.
IMPLANTES UTILIZADOS: Cabeza femoral cerámica de 36 mm más 5 con sistema de vástago de cuello de 127 grados tamaño 5 con un orificio de racimo de concha acetabular de 54 mm con inserto de polietileno y tornillo de 25 mm.
DESCRIPCIÓN DEL PROCEDIMIENTO: El paciente fue llevado al quirófano tras obtener el consentimiento informado, firmando el lugar quirúrgico correcto. Los riesgos, beneficios y alternativas se discutieron extensamente con el paciente y con su familiar,
Antes del procedimiento. Entienden que tiene un mayor riesgo de complicaciones médicas y quirúrgicas antes de la cirugía.
El paciente fue llevado al quirófano. El anestesiólogo obtuvo anestesia. El paciente fue colocado definitivamente con la cadera izquierda hacia arriba y la cadera izquierda fue colocada y preparada de forma estéril habitual. Para la artrotomía se utilizó una incisión curva centrada sobre el trocánter mayor. Se incisionaron la piel y los tejidos subcutáneos.
La fascia se dividió entonces. Las estructuras posteriores de tejido blando fueron luego retiradas y colocadas para su reparación futura. Se colocó una sonda sobre el trocánter mayor y se midió la longitud del miembro antes de la dislocación. Antes de realizar la incisión para la prótesis de cadera, se colocaron tres pasadores fijadores externos sobre la cresta ilíaca y la matriz se conectó con el robot.
La longitud de la extremidad se midió antes de la operación y luego se dislocó la cadera. Se tomó la medida menor del trocánter al centro y se comparó con la templación preoperatoria. La resección del cuello se realizó al nivel correcto. Luego se retiró la cabeza.
Entonces la atención se centró en la taza. El resto del labrum fue entonces desbridado. Se analizó el acetábulo y se colocó el marcador sobre la parte superior del acetábulo, y la matriz se conectó al robot. Se realizó la transformación ósea.
El brazo robótico se utilizaba para escariar el hueso y colocar la copa. La copa también se evaluaba manualmente para comprobar la correcta abducción y anteversión tras la colocación. El tornillo se utilizó para fijaciones adicionales. Se administró un lavado exhaustivo. Se colocó poliuretano sobre la taza.
Entonces la atención se centró en el fémur. El fémur se rompió secuencialmente. El último broche quedó en su posición. El trocánter y la cabeza se colocaron sobre el broche. Se tomó una medición de trocánter menor al centro y se comprobó que era correcta. Luego se reubicó la cadera y se probó en todo el rango fisiológico de movimiento, y la cadera quedó estable en todo el rango fisiológico.
Luego se dislocó la cadera. A continuación, se retiraron los componentes de la prueba. Los componentes finales se colocaron en su posición y se realizó nuevamente la evaluación de la extremidad en el robot, que resultó correcta. Posteriormente se eliminaron el hito trocánterico y el punto de referencia acetabular. Se volvió a aplicar un lavado exhaustivo.
Las estructuras posteriores de tejidos blandos se añadieron al trocánter mayor a través de túneles transóseos. La fascia se cerró con Vicryl y Ethibond. Los tejidos cutáneos se cerraron con Vicryl. En los tejidos subcutáneos nos cerramos con Vicryl 2-0. La piel se cerraba con grapas.
Luego se retiraron los pasadores externos del fijador y se cerró el sitio del pasador con 2-0 Vicryl y grapas. Se aplicó un apósito estéril sobre ambas heridas. El paciente fue trasladado entonces a la unidad de cuidados postoperatorios en estado estable.


Radiografía postoperatoria de la cadera izquierda que muestra visión AP y pata de rana lateral
Tras la operación , sus constantes vitales se mantuvieron estables. Se usó almohada antiabducción y se le enseñó en detalle las precauciones contra las caderas. Se inició la aspirina 325 mg para prevenir la trombosis venosa profunda. El dolor estaba bien controlado con medicación. Se le permitió apoyar peso según lo tolerara y con apoyo.
Se inició fisioterapia para fortalecer los músculos y aumentar la flexibilidad. Se impartió formación en la marcha y educación sobre la prevención de caídas al paciente. Tuvo una recuperación excelente y no reportó ningún dolor en tres meses de seguimiento. Podía caminar y realizar sus actividades diarias sin ninguna molestia. Quedó satisfecha con el resultado del procedimiento.
Aviso legal – El nombre, edad, sexo, fechas y eventos del paciente han sido modificados o modificados para proteger su privacidad.

