El paciente fue operado en L4-5 por espondilolistesis de grado 1 debido a síntomas de radiculopatía que no se aliviaron con un manejo conservador. El paciente se recuperó bien tras la cirugía y tuvo un buen alivio del dolor hasta un par de meses después, cuando empezó a tener dolor en ambas extremidades inferiores, que había ido empeorando.
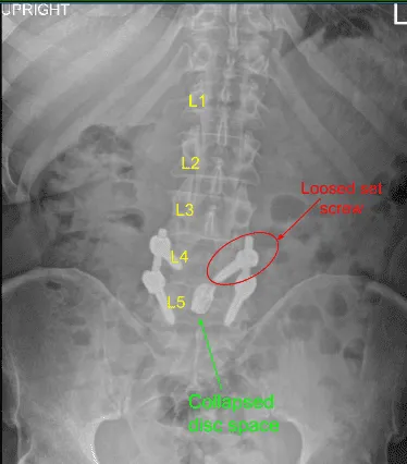
Empezaron a tener síntomas de claudicación. Los observamos y se realizaron nuevas imágenes que mostraron el colapso del espacio interdisco L4-L5 junto con el afloja del tornillo de ajuste de la L4 izquierda.
Hablamos sobre opciones de tratamiento, incluyendo quirúrgica y no quirúrgica. El paciente optó por el manejo quirúrgico, pero querían retrasarla. Volvieron de nuevo por el empeoramiento del dolor y fueron ingresados en urgencias del Hospital St. Catherine debido al empeoramiento del dolor y la debilidad en ambas extremidades inferiores debido al dolor.

Hicimos pruebas de imagen que mostraron estenosis de L4-5 junto con posible infección por la acumulación de líquidos. Hablamos sobre riesgos y beneficios, incluyendo infección, sangrado, lesiones en nervios y vasos adyacentes, fuga de LCR y necesidad de reparación, posibilidad de repetir cirugías, incapacidad para aliviar el dolor, complicaciones sistémicas como coágulos sanguíneos, complicaciones cardíacas, pulmonares y neurológicas, incluyendo la muerte. El paciente comprendió y firmó un plan de consentimiento informado para revisar la descompresión de L4-L5.
El paciente fue trasladado al quirófano, donde se le indujo anestesia general. Se estableció la neuromonitorización. Se pasó el catéter de Foley. El paciente fue colocado en posición prona sobre una mesa Jackson de cuatro postes.
Todas las prominencias óseas estaban bien acolchadas. La zona quirúrgica se acordonó con cortinas de 10 x 10 y se preparó con un 70% de alcohol seguido de DuraPrep. El drapeado de la parte trasera se hizo de la manera habitual y aséptica. Se pidió tiempo muerto.
La incisión se realizó junto a la misma incisión anterior. La incisión se extendió proximalmente. Se realizó una disección profunda a lo largo de la línea de incisión. El proceso espinoso de L3 y L5 estuvo expuesto para encontrar territorio normal. La disección se realizó en profundidad y lateralmente sobre los tornillos.
El tornillo de ajuste de la izquierda L4 se encontró desplazado en el tejido blando. Fue retirado. Se realizó una disección adicional en el proceso transversal de la L4 en el lado derecho. Había callo blando presente. La decorticación de los procesos transversales L4 y L5 y el pars se realizó con la intención de lograr la fusión en la región.
Se abrió una pequeña BMP en preparación para la fusión. La descompresión de revisión de L4-5 se realizó con laminectomía inferior de L3. El hueso se utilizaba para autoinjertos locales. Se realizó una descompresión completa de las L4 y L5 de la izquierda y derecha con curettes seguidas de punzón Kerrison. Se podía lograr una descompresión completa. Se colocó un nuevo tornillo de ajuste en la L4 izquierda y se apretó de la manera habitual.
Se tomaron y guardaron las fotos finales. La herida estaba completamente irrigada. Se utilizó una cuarta parte de la pequeña tira de BMP y se colocó en el lado derecho, seguida de autoinjerto y chips de cancello para lograr la fusión. La herida fue completamente irrigada y drapeada. La hemostasia se logró con el uso de Bovie,

El cierre bipolar se realizó con el uso de Vicryl #0. Se espolvoreó 1 g de vancomicina. La fascia se cerró con el uso de Vicryl #0, el tejido subcutáneo se cerró con el uso de Vicryl #2-0, y la piel se usó con el uso de Monocryl #2-0.
El apuesto se hizo con el uso de Aquacel. El paciente fue puesto boca arriba en la cama y extubado. Movían las cuatro extremidades y estaban extubadas. El paciente fue trasladado a recuperación en estado estable.
La siguiente visita al consultorio del paciente fue una semana después de la descompresión L3-5 y la PSF en L4-5 con mejora de la afectación neurológica (incontinencia urinaria). El paciente fue seguido en nuestra consulta a intervalos regulares de 2 semanas, 6 semanas, 3 meses y 6 meses después, con un retorno gradual de la función. También se inició la fisioterapia. El paciente se portó bien en la postoperatoria

Aviso legal – El nombre, edad, sexo, fechas y eventos del paciente han sido modificados o modificados para proteger su privacidad.

