Una mujer de 84 años con múltiples comorbilidades acudió a nuestra consulta con quejas de un dolor empeorante en la cadera derecha. Fue una contable jubilada que trabajó en el World Trade Center hace 25 años. Estaba casada y vivía con su marido. Era activa socialmente y asistía regularmente a un club de lectura interactuando con lectores y escritores.
Ella notó el dolor por primera vez hace 2 años, que desde entonces había ido a peor intensidad (7/10). El dolor se localizó en la ingle derecha, descrito como un dolor sordo sin radiación. El dolor se agravaba en actividades como caminar, subir escaleras o levantarse de la posición sentada.
Últimamente el dolor ha interferido con sus actividades diarias. Ella informó de la incapacidad para ponerse calcetines y zapatos, de hacer la colada y de que la rigidez aumentó tras estar sentada durante mucho tiempo. Había dejado su rutina de ir al club de lectura y se sentía estresada por ello.
Había consultado a médicos externos que le diagnosticaron artritis. Desde entonces había probado inyecciones de cadera y fisioterapia, pero con alivio limitado. Empezó a usar un bastón como ayuda para caminar. Su marido la acompañó a la consulta y ambos expresaron angustia por su movilidad reducida y el dolor.
Tenía antecedentes médicos de fibrilación auricular, asma, apnea del sueño, dolor lumbar y hipertensión. Su historial quirúrgico anterior incluyó una histerectomía hace 5 años y múltiples inyecciones caudales epidurales por dolor lumbar. Estaba tomando anticoagulantes en forma de Xarelto. Sus otros medicamentos incluían bomba de albuterol, Bystolic y Lopressor.
No fumaba, tenía alergias estacionales y ninguna alergia a drogas conocida. En su examen físico, su marcha era antálgica con una fase de postura reducida en el lado derecho. Había discrepancia en la longitud de las piernas y no había exageraciones en la lordosis lumbar.
No había plenitud en el triángulo derecho de Scarpa. No hubo linfadenopatía ni sensibilidad superficial. La palpación profunda reveló sensibilidad en la línea de la articulación anterior derecha. No había ninguna ternura trocantérica.
El rango de movimiento se limitó en abducción y rotación externa con dolor en los movimientos finales. La cadera izquierda, los tobillos bilaterales y las rodillas estaban normales. No hubo déficit neurológico distal y los pulsos bilaterales en las extremidades inferiores fueron 2+ y palpables. Negó cualquier abuso prolongado de esteroides o alcohol.
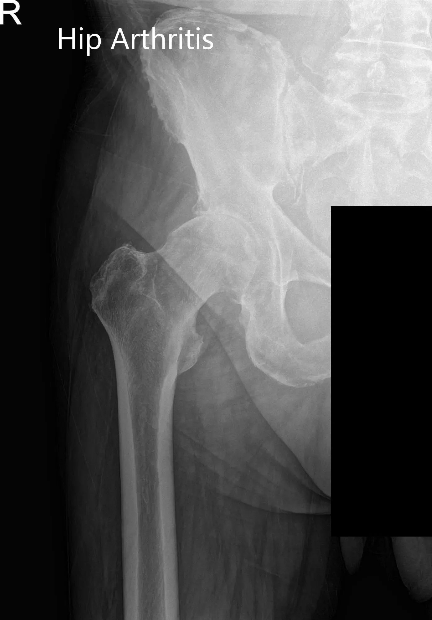
Las radiografías de la pelvis revelaron cambios osteoartríticos en la cadera derecha. Teniendo en cuenta sus comorbilidades y el dolor de cadera que limitaba el estilo de vida, le recomendaron una cirugía de reemplazo total de cadera. Se le informó del riesgo añadido de la cirugía debido a la fibrilación auricular y la hipertensión.


Imágenes de rayos X preoperatorias que muestran la visión lateral de la pata de rana y la pata de rana de la cadera derecha
Los riesgos, beneficios y alternativas, incluyendo el manejo no quirúrgico y quirúrgico, se discutieron en detalle con la paciente y su marido. Ella aceptó seguir adelante con la prótesis total de cadera adecuada. Le aconsejaron obtener el alta médica y cardíaca. Dejó Xarelto 3 días antes de la cirugía.
OPERACIÓN: Artroplastia total de cadera derecha.
IMPLANTES UTILIZADOS: copa de 52 mm con tornillo de 6,5 mm, 25 mm de longitud con polietileno de 0 grados con tallo de 127 grados y cabeza femoral cerámica de 36 mm menos 2,5.
DESCRIPCIÓN DEL PROCEDIMIENTO: El paciente fue llevado al quirófano tras obtener el consentimiento informado, encontrando el lugar quirúrgico correcto. Los riesgos, beneficios y alternativas se discutieron extensamente con el paciente antes del procedimiento. Tras la anestesia, el paciente fue colocado definitivamente en posición lateral y la cadera derecha se colocó y preparó de la manera habitual y estéril.
Para la artrotomía se utilizó una incisión curva centrada sobre el trocánter mayor. Se incisionaron la piel y los tejidos subcutáneos. La fascia se dividió entonces. Después, la cadera se colocó en rotación interna y las estructuras posteriores de los tejidos blandos se retiraron y se etiquetaron para su reparación futura. Luego se dislocó la cadera. Se tomó una medida de trocánter menor al centro.
La resección del cuello se realizó en el nivel correcto. Entonces la atención se centró en el acetábulo. El resto del labrum fue entonces desbridado. El acetábulo se escariaba secuencialmente. La última granada se colocó entonces en su posición en la correcta abducción y anteversión. Se utilizaba un tornillo para fijaciones adicionales. Luego se colocó un poliuretano sobre la concha y se centró la atención en el fémur.
El fémur se rompió secuencialmente. El último broche quedó en su posición. El muñón y la cabeza se colocaban entonces sobre el tallo. Se midió la distancia menor del trocánter y se comprobó correcta. Luego se reubicó la cadera. Probado para un rango fisiológico de movimiento.
No hubo ningún impacto. La estabilidad era buena. Luego se dislocó la cadera. Luego se retiraron los componentes de la prueba. Los componentes finales se colocaron entonces en su posición. Luego se redujo la cadera. Se realizó un riego exhaustivo. Las estructuras posteriores de tejidos blandos se marcaron entonces al trocánter mayor a través de túneles transóseos. La fascia se cerró con Vicryl y Ethibond.
Los tejidos cutáneos se cerraron con Vicryl. Los tejidos subcutáneos se cerraron con Vicryl. La piel se cerraba usando grapas para piel. Luego se aplicó un apósito estéril sobre la herida. El paciente fue trasladado a la unidad de cuidados postoperatorios en estado estable


Radiografía postoperatoria que muestra vistas laterales de la cadera derecha y de la pata de rana
Se reanudó la Xarelto tras la operación y se le recomendó usar medias disuasoras tromboembólicas (TED). Se le permitió apoyar peso según lo tolerara y con apoyo. El dolor se controló bien con medicación. Las grapas de la piel se retiraron sin incidentes. Se le recomendó que se impartiera entrenamiento para la marcha y educación sobre prevención de caídas al paciente.
Cumplió con las precauciones de cadera para evitar la luxación. Se inició fisioterapia para fortalecer los músculos y aumentar la flexibilidad. Tres meses después de haber iniciado la recuperación, con terapia y precauciones, pudo caminar sin ayuda y sin dolor. Le aconsejaron que fuera reduciendo gradualmente las precauciones sobre la cadera.
Ahora había vuelto felizmente a sus actividades habituales y había retomado su rutina de visitar el club de lectura. Afirmó que los resultados habían superado todas sus expectativas.

