Una mujer de 77 años se presentó con quejas de dolor en la cadera izquierda que empeoraba durante el último año. Ella afirmó que trabajó como peluquera durante los últimos 65 años y se jubiló hace 2 años. Notó el dolor al estar de pie durante mucho tiempo, lo cual era insidioso y sin ninguna lesión precipitante.
El dolor se describió como un dolor agudo localizado en la ingle izquierda que variaba en intensidad desde moderada hasta intensa (6/10). El dolor era constante y especialmente peor al subir escaleras, estar de pie durante mucho tiempo, levantarse de la silla, agacharme y agacharse. Su tolerancia al caminar se limitaba a solo 2 bloques debido al dolor en la ingle. Usaba un bastón como dispositivo de ayuda. Ocasionalmente, el dolor se irradiaba hacia el muslo izquierdo y el glúteo.
Vivía con su marido y expresó angustia por su incapacidad para realizar las actividades diarias debido al dolor. Dijo que su sueño se veía alterado por el dolor y que tenía somnolencia diurna. No podía soportar cocinar ni ir a una charcutería cercana. Estaba aprensiva por viajar por estar sentada tanto tiempo.
No fumaba ni bebía. Su historial médico incluía hipertensión, dislipidemia y asma. Todas sus condiciones médicas estaban bien controladas con medicación. Su historial quirúrgico incluyó una resección por cáncer rectal y una fibroidectomía uterina realizada hace quince años. Negó cualquier alergia conocida a los medicamentos.
El paciente probó el manejo conservador en forma de fisioterapia. También le pusieron una inyección en la cadera hace 6 meses con un alivio mínimo. También había probado con AINEs, pero el alivio fue solo temporal. Recientemente, escuchó hablar de la artroplastia de cadera y quiso explorar la opción de una posible prótesis de cadera.
En el examen físico, su paso era antiálgico y sin tirones. La fase de postura de la marcha se redujo en el lado izquierdo. No hubo lordosis lumbar ni escoliosis exagerada. Tanto las espinas ilíacas anteriores como posteriores, la rótula y la maléola medial estaban al mismo nivel.
En el examen supino no hubo discrepancia en la longitud de las piernas. La piel que cubría la ingle izquierda era normal, no había cicatrices ni sinusitos. No había plenitud en el triángulo de Scarpa ni ganglios linfáticos inguinales agrandados. No hubo aumento local de temperatura ni ternura del trocánter mayor. Había una leve sensibilidad en la ingle anterior izquierda.
El rango de movimiento estaba moderadamente restringido, especialmente en la rotación interna y la extensión. El volumen y el tono muscular eran normales. La prueba de pierna recta dio positivo con dolor en la ingle. No había deformidad fija en la cadera izquierda. El examen neurológico distal de las extremidades inferiores bilaterales fue normal.
El examen de la cadera contralateral, rodillas bilaterales y tobillos fue normal. Los reflejos tendinosos profundos y superficiales estaban presentes y eran simétricos. No hubo ninguna anomalía en la vejiga intestinal. Los pulsos bilaterales en las extremidades inferiores fueron de buen volumen y comparables.
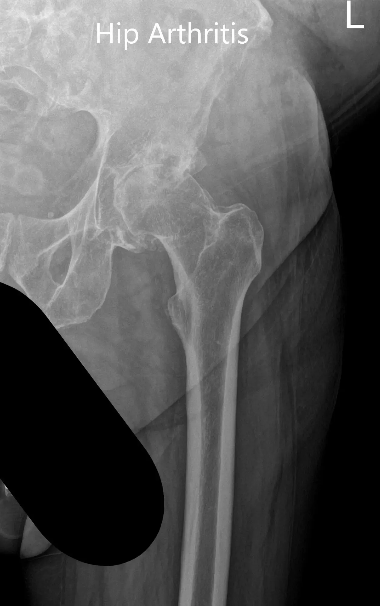
Las imágenes revelaron cambios osteoartríticos en la articulación izquierda de la cadera con reducción del espacio articular, quiste subcondral, esclerosis y osteófito. Tras agotar las opciones de manejo conservador, se recomendó al paciente una prótesis total de cadera. Se discutieron extensamente con el paciente los riesgos, beneficios y alternativas. Ella aceptó seguir adelante con el procedimiento.

Radiografía preoperatoria que muestra la vista Judet de la pelvis.


Radiografía preoperatoria que muestra la vista lateral en forma de rana y la vista en ángulo de la cadera izquierda.
OPERACIÓN: Artroplastia total de cadera izquierda.
IMPLANTE UTILIZADO: Carcasa de acetábulo de 54 mm con inserto de polietileno de 0 grados, diámetro interior de 36 mm con cabeza femoral, 36 mm más 5 con tornillo de 6,5 mm x 30 mm.
DESCRIPCIÓN DEL PROCEDIMIENTO: El paciente fue llevado al quirófano tras obtener un consentimiento informado y firmar el lugar quirúrgico correcto. Los riesgos, beneficios y alternativas se discutieron extensamente con el paciente antes del procedimiento.
El paciente fue llevado al quirófano, donde el anestesiólogo le obtuvo anestesia. El paciente fue colocado definitivamente con la cadera izquierda hacia arriba, y la cadera izquierda fue colocada y preparada de la manera estéril habitual.
La incisión cutánea se realizó centrada sobre el trocánter mayor, y luego se incisionaron la piel y los tejidos subcutáneos. La fascia se dividió entonces. La cadera se colocó en rotación interna y las estructuras posteriores de los tejidos blandos se desmontaron y etiquetaron para su reparación futura.
Luego se dislocó la cadera. Se tomó una medida de trocánter menor al centro y luego se realizó una resección del cuello. Luego se retiró la cabeza. Entonces la atención se centró en el acetábulo. El resto del labrum fue entonces desbridado y el acetábulo se escarió secuencialmente.
La concha final se colocó en su posición en la abducción y anteversión correctas tras la extracción del quiste y el injerto de los defectos. Se utilizó un tornillo adicional para
fijación. Luego se colocó el poliuretano sobre la carcasa. Se confirmaron la anteversión y el secuestro.
Entonces la atención se centró en el fémur. El resto del tejido en la superficie inferior del trocánter mayor fue entonces extraído. El fémur se rompió secuencialmente. El último broche quedó en su posición. El muñón y la cabeza se colocaban entonces sobre el broche.
Se tomó la medida de trocánter menor al centro, y se construyó la longitud adicional para compensar el acortamiento. Luego se probó la cadera para el rango de movimiento de prueba y se comprobó estable. Luego se retiraron los componentes de la prueba. Los componentes finales se colocaron entonces en su posición.
Se realizó un riego exhaustivo. Se hicieron agujeros de perforación en el trocánter mayor, y las estructuras posteriores de tejidos blandos se clavaron al trocánter mayor a través de túneles transversales. Se administró un lavado exhaustivo. La fascia sí. cerró con Ethibond.
Los tejidos cutáneos se cerraron con Vicryl 2-0, la piel se cerró en capas. Se aplicó un apósito estéril sobre la herida y el paciente fue trasladado a la unidad de cuidados postoperatorios en estado estable.


Radiografía postoperatoria de la pelvis y vista lateral de la cadera izquierda.
La recuperación del paciente se aceleró con el manejo del dolor con medicación. Después de la operación no hubo discrepancia en la longitud de las piernas ni déficit neurovascular distal. Sus constantes vitales se mantuvieron estables y se permitió apoyar el peso según se tolerara con soporte.
La rehabilitación comenzó con un enfoque en el entrenamiento de marcha y transferencia, prevención de caídas y fisioterapia. Se continuó con la aspirina durante 6 semanas y se suspendieron los analgésicos con cinta. Cumplió con las precauciones de cadera y continuó con la almohada de abducción por la noche. Tres meses después de la operación mostró un rango de movimiento completo y sin dolor. Podía caminar sin apoyo y volvió felizmente a las actividades que disfrutaba.
Aviso legal – El nombre, edad, sexo, fechas y eventos del paciente han sido modificados o modificados para proteger su privacidad.

