Un hombre de 74 años presenta dolor crónico en la cadera derecha que comenzó aproximadamente en mayo de 2017. El paciente se queja de que el dolor afecta a su marcha y su peso, y que perjudica su calidad de vida.
La intensidad del dolor le impide caminar, ponerse de pie o sentarse durante un periodo prolongado. El paciente ha pasado por largos periodos de fisioterapia, inyecciones y masajes sin alivio sustancial ni prolongado.

El paciente goza de buena salud en general, salvo por un soplo cardíaco en el pasado. Las imágenes preoperatorias muestran artritis severa en el lado derecho. Hablé con la paciente sobre opciones quirúrgicas; la mejor opción era someterse a una artroplastia total de cadera derecha; En general, el paciente estaba entusiasmado por someterse al procedimiento para poder volver a una vida sin dolor. El paciente estaba jubilado y, aunque no tuvo que trasladarse de ida y vuelta al trabajo, sí tenía 4 nietos a los que cuidaba activamente. Estaba muy motivado para poder moverse con ellos.

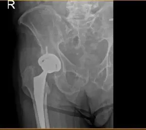
Radiografía postoperatoria de cadera
El paciente fue sometido a una artroplastia total de cadera derecha; para la artrotomía se utilizó una incisión curva centrada sobre el trocánter mayor. Se incisionaron la piel y los tejidos subcutáneos. La fascia se dividió entonces. La cadera se colocó en rotación interna y las estructuras posteriores de los tejidos blandos se desmontaron y etiquetaron para su reparación futura.
Luego se dislocó la cadera. Se tomó la medida del trocánter menor al centro y se realizó la resección del cuello al nivel correcto. Luego se le retiró la cabeza. Entonces la atención se centró en el acetábulo.
El resto del labrum fue entonces desbridado. El acetábulo se escariaba secuencialmente. La última granada se colocó entonces en su posición en la correcta abducción y anteversión. Se usó un tornillo para fijación adicional. Posteriormente se extirparon más osteófitos.
El poliuretano se colocó sobre la carcasa. La atención se centró en el fémur y se sacó el fémur de forma secuencial. El último broche quedó en su posición. La cabeza se colocaba entonces sobre el muñón. Luego se reubicó la cadera y se probó a través de un rango fisiológico completo de movimiento. La cadera estaba estable en todo el rango fisiológico de movimiento. Luego se dislocó la cadera.
La anteversión combinada era correcta. Luego se dislocó la cadera. Se retiraron los componentes de la prueba. Los componentes finales se colocaron entonces en su posición.

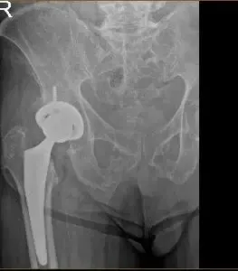
Radiografía de un reemplazo de cadera
Luego se reubicó la cadera y se desmontaron las estructuras posteriores de los tejidos blandos para su reparación futura. Se le dio un lavado exhaustivo. Se le aplicó la inyección. Luego se cerró la fascia con Eithibond.
Los tejidos cutáneos se cerraron con Vicryl. Los tejidos subcutáneos se cerraron con Vicryl 2-0. La piel se cerró usando Monoderm. A continuación, se aplicó un apósito estéril sobre la herida y el paciente fue trasladado a la unidad de cuidados postoperatorios en estado estable.
Las imágenes postoperatorias muestran artroplastia total de cadera derecha, en buena alineación, cambios degenerativos sacroilíacos leves. El paciente volvió para una cita postoperatoria para la extracción de la grapa y el pronóstico es bueno, gracias a una cirugía sencilla. El paciente cumple con el programa de fisioterapia ambulatoria y soporta peso completamente bilateralmente.
Los servicios de fisioterapia de los pacientes se concluyeron con excelentes resultados. Los pacientes afirmaron que su calidad de vida había mejorado significativamente y ahora puede moverse mucho mejor que él incluso después de su procedimiento original. Las actividades en casa del paciente se completan con facilidad. El paciente está disfrutando de su vida y ahora puede realizar actividades con sus nietos.
