Las fracturas de pilón son lesiones de alta energía que afectan a la tibia distal, que a menudo requieren intervención quirúrgica. Este estudio de caso ofrece una revisión en profundidad de una fractura del pilón del tobillo derecho tratada con reducción abierta y fijación interna (ORIF) y posterior retirada de hardware.
Antecedentes del paciente
Un paciente se presentó con dolor persistente en el tobillo derecho tras un procedimiento ORIF para fractura de la diáfise tibial distal, maléola medial, maléonica lateral y maléola posterior. La lesión se produjo debido a un traumatismo y fue necesaria intervención quirúrgica. El paciente experimentó dolor continuo, rigidez y movilidad limitada, lo que requirió una evaluación y tratamiento adicionales.

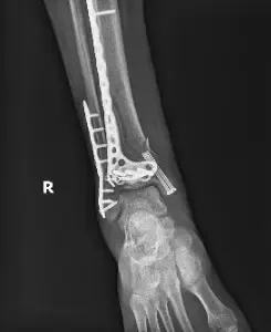
La fractura conminuta de la tibia, que ha sido fijada con pasadores quirúrgicos y puede determinarse en la posición de los instrumentos quirúrgicos, parece satisfactoria. La férula de yeso está en su sitio.
Presentación clínica
Queja principal: Dolor persistente en el tobillo derecho, rigidez e irritación del hardware.
Antecedentes de la enfermedad actual: Recuperación postoperatoria de ORIF con dolor persistente e irritación relacionada con el hardware. El paciente experimentó dificultades para caminar más allá de distancias cortas, con dolor intenso en la dorsiflexión y dolor peroné relacionado con la inversión.

Estado post-ORIF con placa y tornillos en el peroné distal y la tibia con 2 tornillos en la maléola medial. Una parte de la línea de fractura sigue siendo evidente en la tibia.
Examen físico:
Andar antálgico.
Dorsiflexión limitada al principio, mejorando con el tiempo.
Sensibilidad sobre el plafond tibial anterior y la fíbula lateral.
No hay eritema ni drenaje en los lugares quirúrgicos.
No hay signos de infección ni trauma secundario.
Hallazgos de imagen
Las radiografías y la tomografía computarizada confirmaron fracturas en cicatrización con una mortaforte congruente, pero pinzamiento de hardware en dorsiflexión y aversión.
No hay nuevas fracturas ni signos de osteomielitis.

Estado post-ORIF con placa y tornillos en el peroné distal y tibia distal con fractura cicatrizada del miembro distal de la tibia con deformidad leve y alineación anatómica mantenida. Fractura cicatrizada de la fíbula distal sin deformidad residual.
Fractura de la maléola medial cicatrizada sin deformidad.
Plan de tratamiento
Medidas conservadoras iniciales:
Se implementaron fisioterapia, AINEs y manejo del dolor.
A pesar de los tratamientos no quirúrgicos, el paciente informó de graves limitaciones en las actividades de la vida diaria (AVQ), el trabajo y la marcha.
Plan quirúrgico:
Dado el dolor continuo y las limitaciones funcionales, se recomendó retirar el hardware.
El procedimiento incluyó la retirada de hardware ORIF de plafond tibial derecho y la artrotomía con posible eliminación de cuerpos sueltos.
Se discutieron riesgos, beneficios y alternativas, incluyendo la posibilidad de dolor residual, rigidez y complicaciones como el síndrome de dolor regional complejo (SDRC), problemas en la cicatrización de heridas y lesiones neurológicas.
El paciente consintió el procedimiento.
Procedimiento quirúrgico
El paciente fue sometido a anestesia general.
Se realizó una incisión anterolateral y se extrajo cuidadosamente el material para minimizar la alteración de los tejidos blandos.
Se realizó una artrotomía y se retiraron los cuerpos sueltos.
La herida fue irrigada y el cierre se logró con suturas en capas.
Las radiografías postoperatorias confirmaron la retirada exitosa del hardware sin complicaciones agudas.
Curso postoperatorio
Una semana después de la operación: El paciente reportó reducción del dolor pero siguió cojeando.
Dos semanas postoperatorio: incisiones curadas sin indicios de drenaje, eritema o calor.
Cuatro semanas postoperatorias: El paciente mostró una mejora en el rango de movimiento.
La fisioterapia continuó con un enfoque en el entrenamiento de la marcha y el fortalecimiento.
El paciente fue seguido regularmente para una evaluación funcional.
Conclusión
Este caso destaca la importancia de abordar el dolor relacionado con el hardware y las limitaciones funcionales en fracturas de tobillo tras el ORIF. Aunque el ORIF inicial es esencial para la estabilización de fracturas, el impacto de hardware puede requerir la extracción para una recuperación óptima. Este paciente mostró una mejora significativa tras la extracción del hardware, subrayando la necesidad de un manejo postoperatorio individualizado.
Aviso legal: El nombre, edad, sexo, fechas y eventos del paciente han sido modificados para proteger la privacidad del paciente.

