Una mujer de 47 años se presentó con dolor en el pie derecho tras una lesión aguda. Ella reportó un traumatismo directo en el pie en el trabajo. Al principio, el dolor era leve pero fue empeorando progresivamente, lo que dificultaba soportar peso. Describió hinchazón y sensibilidad localizadas a lo largo de los primeros y segundos metatarsianos. El paciente negó cualquier entumecimiento, hormigueo o síntomas sistémicos como fiebre o escalofríos.
Tiene un historial de altos niveles de actividad física debido a su ocupación, lo que requiere estar mucho tiempo de pie y caminar. Negó lesiones previas en los pies o condiciones ortopédicas. Sin embargo, admitió haber seguido caminando con el pie lesionado durante varios días antes de buscar atención médica, lo que podría agravar las fracturas.
Examen y diagnóstico
Al examinarse físicamente, se observó hinchazón moderada y sensibilidad en la parte dorsal del pie derecho. Se observaron moretones en el primer y segundo metatarso. El paciente mostró un rango de movimiento activo y pasivo limitado debido al dolor. El relleno capilar estaba intacto y no había signos de compromiso neurovascular. La extremidad contralateral mostró un rango normal de movimiento, estabilidad y fuerza.
Hallazgos radiográficos
Fracturas desplazadas de los primeros y segundos metatarsianos
Alteración de la alineación de la articulación metatarsofalangélgica
No hay luxaciones agudas ni fracturas adicionales
Dada la gravedad y el riesgo de la malunión, se recomendó la reducción abierta y la fijación interna (ORIF) para restaurar la alineación y la estabilidad.
Imagen preoperatoria
Una radiografía del pie derecho confirmó fracturas en el primer y segundo metatarsiano.

Gestión quirúrgica
Tras obtener el consentimiento informado, el paciente se sometió a ORIF de los primeros y segundos metatarsianos bajo anestesia regional. El procedimiento se realizó de la siguiente manera:
Se realizó una incisión dorsal sobre los diágenes metatarsianos, con disección subcutánea hasta los lugares de fractura.
Las fracturas se redujeron y estabilizaron temporalmente con cables K.
La fijación definitiva se logró usando placas y tornillos de titanio.
Las imágenes fluoroscópicas confirmaron alineación anatómica y fijación estable.
El sitio quirúrgico fue irrigado y el cierre se realizó en capas utilizando suturas absorbibles para tejidos profundos y suturas no absorbibles para la piel.
Se aplicó un vendaje bien acolchado y el pie quedó inmovilizado en una férula posterior.
Curso postoperatorio
El paciente fue monitorizado en la unidad de recuperación y reportó un dolor bien controlado. Fue dada de alta con una bota neumática para caminar y se le indicó que no apoyara el peso en el pie afectado. El manejo del dolor incluyó hidromorfona 2 mg, naproxeno 500 mg y paracetamol 500 mg. Se proporcionaron estrictas instrucciones de cuidado postoperatorio, incluyendo elevación, colocación de hielo y evitación prematura de cargar peso.
Primera revisión (3 semanas postoperatoria)
En el seguimiento inicial, el paciente informó de dolor persistente pero admitió no cumplir con las restricciones de carga de peso. Se había quitado la férula y los puntos en casa, en contra del consejo médico, y expresó un fuerte deseo de retirar el segundo pasador metatarsiano antes de tiempo.
El examen físico reveló hinchazón leve y sensibilidad, pero sin eritema ni signos de infección. Las radiografías repetidas mostraron una cicatrización temprana de la fractura pero una consolidación incompleta del segundo metatarsiano.
Dado el riesgo de curación retrasada, se reforzaron instrucciones estrictas de no apoyar peso y se aconsejó al paciente continuar usando la bota neumática. Se inició fisioterapia para mantener la movilidad de pies y dedos y prevenir la rigidez.
Segunda revisión (6 semanas postoperatoria)
A las seis semanas postoperatorias, el paciente seguía teniendo dificultades para la adherencia debido a dificultades laborales. Sin embargo, informó de una reducción significativa del dolor. El examen mostró una cicatrización continua, sin eritema, drenaje ni infección. Dadas las limitaciones del estilo de vida del paciente, se le pasó a apoyar parcialmente el peso según lo toleraba, continuando el uso de la bota neumática.
Las radiografías de seguimiento demostraron una cicatrización progresiva de las fracturas.
Seguimiento final (3 meses postoperatorio)
A los tres meses, el paciente mostró una mejoría sustancial. Ella reportó un dolor mínimo, soporte total de peso sin molestias y ya no necesitaba medicación para el dolor. Las radiografías repetidas confirmaron una excelente formación de callos y mantuvieron la alineación de los metatarsianos.
En esta etapa, se le autorizó a apoyar peso completo sin restricciones y se le aconsejó continuar con los ejercicios de fortalecimiento. Reanudó con éxito las actividades diarias, incluido el trabajo, sin limitaciones.

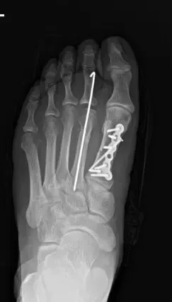
Fijación interna postoperatoria con placa y tornillos de una fractura del primer metatarsiano.
Plan de rehabilitación y resultados a largo plazo
Al paciente se le prescribió un programa de rehabilitación estructurado, que incluía:
Ejercicios de fortalecimiento para mejorar la estabilidad y movilidad del pie.
Regreso gradual a actividades con carga de peso completo durante las siguientes 4-6 semanas.
Monitorización de posibles complicaciones, como dolor no sindical o persistente.
A pesar de la falta de adherencia temprana, el compromiso de la paciente con la fisioterapia en las etapas avanzadas contribuyó a su recuperación exitosa. Sigue haciendo seguimiento según sea necesario para el seguimiento a largo plazo.
Conclusión
Este caso destaca la importancia de la adherencia postoperatoria en la cicatrización de fracturas. A pesar de la falta de adherencia temprana, el tratamiento estructurado, la educación del paciente y la rehabilitación progresiva condujeron a una recuperación exitosa. La monitorización a largo plazo garantizará la estabilidad y el funcionamiento continuos.
Aviso legal: El nombre, edad, sexo, fechas y eventos del paciente han sido modificados para proteger la privacidad del paciente.

