Un hombre de 80 años que antes era muy activo y sano acude a urgencias con un deterioro neurológico que comenzó 2-3 semanas antes, con un deterioro rápido tras dos caídas un día antes. La debilidad está principalmente en las manos y el brazo y no es capaz de realizar actividades de la vida diaria ni de recreación.
La debilidad está asociada a dolor de cuello e incapacidad para moverse con estabilidad. Al examinarla había debilidad en el agarre de la mano y en los brazos. No había debilidad en las piernas, pero el paciente estaba gravemente desequilibrado. También había cierto déficit sensorial en su brazo izquierdo. También se incrementó el tono de los músculos de las cuatro extremidades.

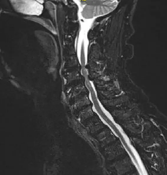
Imagen de la resonancia magnética T2 Corte sagital medio que muestra estenosis y compresión severa de la médula espinal en C3-4 y C 5-6 con enfermedad degenerativa de la articulación cervical
Imagen de resonancia magnética T2 Corte axial que muestra estenosis y compresión severa de la médula espinal en C3-4
Imagen de resonancia magnética T2 Corte axial que muestra estenosis y compresión severa de la médula espinal en C3-4
Radiografías Vista lateral de la columna cervical que muestra enfermedad degenerativa avanzada de la columna cervical
Se realizó discectomía cervical anterior y fusión para aliviar la presión de la médula espinal, con limpieza a disco y fusión utilizando injerto óseo y placas y tornillos desde la parte frontal.
La cirugía se realizó desde la parte frontal del cuello. El espacio del disco se limpia hasta la parte trasera y se elimina toda la presión que se aplica sobre la médula espinal. El paciente experimentó mejoría en el periodo postoperatorio y esa mejoría continuó durante los meses siguientes. Fue enviado al centro de rehabilitación, desde donde fue dado de alta a domicilio

